Skip to main content

PRC1 Antibody - BSA Free

Novus Biologicals, part of Bio-Techne | Catalog # NBP3-17008

Novus Biologicals, part of Bio-Techne
Catalog #
Availability
Size / Price
Qty
Loading...
NBP3-17008-100ul
NBP3-17008-25ul

Key Product Details

Species Reactivity

Human

Applications

Immunohistochemistry, Immunohistochemistry-Paraffin, Western Blot

Label

Unconjugated

Antibody Source

Polyclonal Rabbit IgG

Format

BSA Free

Concentration

Concentrations vary lot to lot. See vial label for concentration. If unlisted please contact technical services.

Product Specifications

Immunogen

This antibody was developed against Recombinant Protein corresponding to amino acids: DMMIAEEESLKERLIKSISVCQKELNTLCSELHVEPFQEEGETTILQLEKDLRTQVELMRKQKKERKQELKLLQEQDQELCEILCMP

Clonality

Polyclonal

Host

Rabbit

Isotype

IgG

Description

Novus Biologicals Rabbit PRC1 Antibody - BSA Free (NBP3-17008) is a polyclonal antibody validated for use in IHC and WB. All Novus Biologicals antibodies are covered by our 100% guarantee.

Scientific Data Images for PRC1 Antibody - BSA Free

Western Blot: PRC1 Antibody [NBP3-17008]

Western Blot: PRC1 Antibody [NBP3-17008]

Western Blot: PRC1 Antibody [NBP3-17008] - Lane 1: Marker [kDa] 250, 130, 95, 72, 55, 36, 28, 17, 10; Lane 2: RT4; Lane 3: U-251 MG; Lane 4: Human Plasma; Lane 5: Liver; Lane 6: Tonsil
Immunocytochemistry/ Immunofluorescence: PRC1 Antibody [NBP3-17008]

Immunocytochemistry/ Immunofluorescence: PRC1 Antibody [NBP3-17008]

Immunocytochemistry/Immunofluorescence: PRC1 Antibody [NBP3-17008] - Analysis in human testis and liver tissues using Anti-PRC1 antibody. Corresponding PRC1 RNA-seq data are presented for the same tissues.
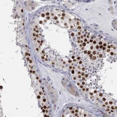
Immunohistochemistry-Paraffin: PRC1 Antibody [NBP3-17008]

Immunohistochemistry-Paraffin: PRC1 Antibody [NBP3-17008]

Immunohistochemistry-Paraffin: PRC1 Antibody [NBP3-17008] - Staining of human testis shows high expression.

Applications for PRC1 Antibody - BSA Free

Application
Recommended Usage

Immunohistochemistry

1:500 - 1:1000

Immunohistochemistry-Paraffin

1:500 - 1:1000

Western Blot

0.04-0.4 ug/ml
Application Notes
For IHC-Paraffin, HIER pH 6 retrieval is recommended.

Formulation, Preparation, and Storage

Purification

Affinity purified

Formulation

PBS, pH 7.2, 40% glycerol

Format

BSA Free

Preservative

0.02% Sodium Azide

Concentration

Concentrations vary lot to lot. See vial label for concentration. If unlisted please contact technical services.

Shipping

The product is shipped with polar packs. Upon receipt, store it immediately at the temperature recommended below.

Stability & Storage

Store at 4C short term. Aliquot and store at -20C long term. Avoid freeze-thaw cycles.

Background: PRC1

Novel human protein Protein regulator of cytokinesis 1 (PRC1) is involved in cytokinesis. PRC1 is a good substrate for several CDKs in vitro and is phosphorylated in vivo at sites that are phosphorylated by CDK in vitro, strongly suggesting that PRC1 is an in vivo CDK substrate. PRC1 protein levels are high during S and G2/M and drop dramatically after cells exit mitosis and enter G1. PRC1 is a nuclear protein in interphase, becomes associated with mitotic spindles in a highly dynamic manner during mitosis, and localizes to the cell mid-body during cytokinesis (1). PRC1, a mitotic spindle-associated Cdk substrate that is essential to cell cleavage, is a microtubule binding and bundling protein both in vivo and in vitro. Over expression of PRC1 extensively bundles interphase microtubules, but does not affect early mitotic spindle organization (2). PRC1 has been shown to down-regulate the GAP activity of MgcRac-GAP during the metaphase and thereby contributes to the correct formation of the spindle (3).

Alternate Names

anaphase spindle elongation 1 homolog, ASE1, MGC1671, MGC3669, protein regulating cytokinesis 1, protein regulator of cytokinesis 1

Gene Symbol

PRC1

Additional PRC1 Products

Product Documents for PRC1 Antibody - BSA Free

Certificate of Analysis

To download a Certificate of Analysis, please enter a lot number in the search box below.

Product Specific Notices for PRC1 Antibody - BSA Free

This product is for research use only and is not approved for use in humans or in clinical diagnosis. Primary Antibodies are guaranteed for 1 year from date of receipt.

Loading...
Loading...
Loading...
Loading...