Skip to main content

PRAME Antibody (PRAME/6928R) - BSA Free

Novus Biologicals, part of Bio-Techne | Catalog # NBP3-20841

Recombinant Monoclonal Antibody
Novus Biologicals, part of Bio-Techne
Catalog #
Availability
Size / Price
Qty
Loading...
NBP3-20841
Conjugate
Catalog #

Key Product Details

Species Reactivity

Human

Applications

Immunohistochemistry-Paraffin

Label

Unconjugated

Antibody Source

Recombinant Monoclonal Rabbit IgG Kappa Clone # PRAME/6928R

Format

BSA Free

Concentration

1 mg/ml

Product Specifications

Immunogen

Recombinant fragment (around aa100-509) of human PRAME protein (exact sequence is proprietary)

Localization

Nucleus. Chromosome. Cytoplasm. Golgi apparatus. Cell membrane

Clonality

Monoclonal

Host

Rabbit

Isotype

IgG Kappa

Description

Positive Controls: Human testis or melanoma.

Antibody with azide - store at 2 to 8C. Non-hazardous. No MSDS required.

Scientific Data Images for PRAME Antibody (PRAME/6928R) - BSA Free

PRAME Antibody (PRAME/6928R) - BSA Free

PRAME Antibody (PRAME/6928R)

Formalin-fixed, paraffin-embedded human testis stained with PRAME antibody (PRAME/6928R). Inset: PBS instead of primary antibody; secondary only negative control.
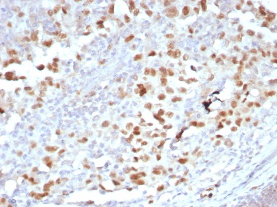
PRAME Antibody (PRAME/6928R) - BSA Free

PRAME Antibody (PRAME/6928R)

Formalin-fixed, paraffin-embedded human melanoma stained with PRAME antibody (PRAME/6928R). HIER: Tris/EDTA, pH9.0, 45min. Secondary: HRP-polymer, 30min. DAB, 5min.

Applications for PRAME Antibody (PRAME/6928R) - BSA Free

Application
Recommended Usage

Immunohistochemistry-Paraffin

1-2 ug/ml
Application Notes
Immunohistochemistry (Formalin-fixed): 1-2ug/ml for 30 minutes. at RT. Staining of formalin-fixed tissues requires heating tissue sections in 10mM Tris with 1mM EDTA, pH 9.0, for 45 min at 95C followed by cooling at RT for 20 minutes.

Optimal dilution for a specific application should be determined.

Formulation, Preparation, and Storage

Purification

Protein A or G purified

Formulation

10mM PBS

Format

BSA Free

Preservative

0.05% Sodium Azide

Concentration

1 mg/ml

Shipping

The product is shipped with polar packs. Upon receipt, store it immediately at the temperature recommended below.

Stability & Storage

Store at 4C. Do not freeze.

Background: PRAME

PRAME encodes an antigen that is predominantly expressed in human melanomas and that is recognized by cytolytic T lymphocytes. It is not expressed in normal tissues, except testis. This expression pattern is similar to that of other CT antigens, such as MAGE, BAGE and GAGE. However, unlike these other CT antigens, this gene is also expressed in acute leukemias. Recent data from Epping et.al., (Cell, Vol. 122: 835) suggest that overexpression of PRAME frequently observed in human cancers confers growth or survival advantages by antagonizing RAR signaling.

Alternate Names

cancer/testis antigen 130, MAPEOIP4CT130, melanoma antigen preferentially expressed in tumors, OIP-4, Opa-interacting protein 4, Opa-interacting protein OIP4, preferentially expressed antigen in melanoma, Preferentially expressed antigen of melanoma

Gene Symbol

PRAME

Additional PRAME Products

Product Documents for PRAME Antibody (PRAME/6928R) - BSA Free

Certificate of Analysis

To download a Certificate of Analysis, please enter a lot number in the search box below.

Product Specific Notices for PRAME Antibody (PRAME/6928R) - BSA Free

This product is for research use only and is not approved for use in humans or in clinical diagnosis. Primary Antibodies are guaranteed for 1 year from date of receipt.

Loading...
Loading...
Loading...
Loading...