Skip to main content

PPP3R2 Antibody - BSA Free

Novus Biologicals, part of Bio-Techne | Catalog # NBP3-46910

Novus Biologicals, part of Bio-Techne
Catalog #
Availability
Size / Price
Qty
Loading...
NBP3-46910

Key Product Details

Species Reactivity

Human, Mouse, Rat

Applications

Immunohistochemistry, Western Blot, ELISA

Label

Unconjugated

Antibody Source

Polyclonal Rabbit IgG

Format

BSA Free

Concentration

Please see the vial label for concentration. If unlisted please contact technical services.

Product Specifications

Immunogen

protein phosphatase 3(formerly 2B), regulatory subunit B, beta isoform. (Uniprot# Q96LZ3)

Clonality

Polyclonal

Host

Rabbit

Isotype

IgG

Theoretical MW

20 kDa.
Disclaimer note: The observed molecular weight of the protein may vary from the listed predicted molecular weight due to post translational modifications, post translation cleavages, relative charges, and other experimental factors.

Description

Novus Biologicals Rabbit PPP3R2 Antibody - BSA Free (NBP3-46910) is a polyclonal antibody validated for use in IHC, WB and ELISA. All Novus Biologicals antibodies are covered by our 100% guarantee.

Scientific Data Images for PPP3R2 Antibody - BSA Free

PPP3R2 Antibody - BSA Free

Western Blot: PPP3R2 Antibody - BSA Free [NBP3-46910] -

Western Blot: PPP3R2 Antibody - BSA Free [NBP3-46910] - Mouse testis tissue were subjected to SDS PAGE followed by western blot with (PPP3R2 antibody) at dilution of 1:500
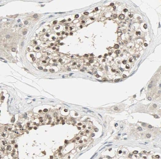
PPP3R2 Antibody - BSA Free

Immunohistochemistry: PPP3R2 Antibody - BSA Free [NBP3-46910] -

Immunohistochemistry: PPP3R2 Antibody - BSA Free [NBP3-46910] - Immunohistochemistry of paraffin-embedded human testis tissue slide using (PPP3R2 Antibody) at dilution of 1:200

Applications for PPP3R2 Antibody - BSA Free

Application
Recommended Usage

Immunohistochemistry

1:20-1:200

Western Blot

1:500-1:2000

Formulation, Preparation, and Storage

Purification

Immunogen affinity purified

Formulation

PBS, 50% Glycerol, pH (7.3)

Format

BSA Free

Preservative

0.02% Sodium Azide

Concentration

Please see the vial label for concentration. If unlisted please contact technical services.

Shipping

The product is shipped with polar packs. Upon receipt, store it immediately at the temperature recommended below.

Stability & Storage

Store at -20C. Avoid freeze-thaw cycles.

Background: PPP3R2

PPP3R2 also known as Calcineurin subunit B type 2, is a 170 amino acid protein that is 20 kDa, is testis-specific, is a regulatory subunit of calcineurin, a calcium-dependent, calmodulin stimulated protein phosphatase, and confers calcium sensitivity. This protein is being studied for its involvement in amyotrophic lateral sclerosis (als), amyotrophic lateral sclerosis, lateral sclerosis, tuberculosis, malaria, and neuronitis. PPP3R2 protein is involved is several pathways including MAPK signaling pathway, Alzheimer's Disease, Energy Metabolism, Calcium signaling pathway, Oocyte meiosis, Apoptosis, Wnt signaling pathway, Tacrolimus/Cyclosporine Pathway, Pharmacodynamics, 14-3-3 Induced Apoptosis, Intracellular Calcium Signaling, PI3K Signaling in B-Lymphocyte, IL-2 Pathway, and ITK and TCR Signaling Pathway where it interacts with TBC1D10C, PLCG1, PLCG2, ANAPC1, ANAPC10, and approx. 30 other proteins.

Long Name

Calcineurin subunit B type 2

Alternate Names

Calcineurin BII, CBLP, CNBII, PPP3R1-like, PPP3RL

Gene Symbol

PPP3R2

Additional PPP3R2 Products

Product Documents for PPP3R2 Antibody - BSA Free

Certificate of Analysis

To download a Certificate of Analysis, please enter a lot number in the search box below.

Product Specific Notices for PPP3R2 Antibody - BSA Free

This product is for research use only and is not approved for use in humans or in clinical diagnosis. Primary Antibodies are guaranteed for 1 year from date of receipt.

Loading...
Loading...
Loading...
Loading...