Skip to main content

PPIL2 Antibody - BSA Free

Novus Biologicals, part of Bio-Techne | Catalog # NBP1-85360

Novus Biologicals, part of Bio-Techne
Catalog #
Availability
Size / Price
Qty
Loading...
NBP1-85360-25ul
NBP1-85360

Key Product Details

Species Reactivity

Human

Applications

Immunohistochemistry, Immunohistochemistry-Paraffin, Western Blot, Immunocytochemistry/ Immunofluorescence

Label

Unconjugated

Antibody Source

Polyclonal Rabbit IgG

Format

BSA Free

Concentration

Concentrations vary lot to lot. See vial label for concentration. If unlisted please contact technical services.

Product Specifications

Immunogen

This antibody was developed against Recombinant Protein corresponding to amino acids: MENVESDPKTDRPKEEIRIDATTVFVDPYEEADAQIAQERKTQLKVAPETKVKSSQPQAGSQGPQTFRQGVGKYINPAATKRAAEEEPSTSATVPMSKKKPSRGFGDFSS

Clonality

Polyclonal

Host

Rabbit

Isotype

IgG

Description

Novus Biologicals Rabbit PPIL2 Antibody - BSA Free (NBP1-85360) is a polyclonal antibody validated for use in IHC, WB and ICC/IF. All Novus Biologicals antibodies are covered by our 100% guarantee.

Scientific Data Images for PPIL2 Antibody - BSA Free

Western Blot: PPIL2 Antibody [NBP1-85360]

Western Blot: PPIL2 Antibody [NBP1-85360]

Western Blot: PPIL2 Antibody [NBP1-85360] - Lane 1: NIH-3T3 cell lysate (Mouse embryonic fibroblast cells). Lane 2: NBT-II cell lysate (Rat Wistar bladder tumor cells).
Immunocytochemistry/ Immunofluorescence: PPIL2 Antibody [NBP1-85360]

Immunocytochemistry/ Immunofluorescence: PPIL2 Antibody [NBP1-85360]

Immunocytochemistry/Immunofluorescence: PPIL2 Antibody [NBP1-85360] - Immunofluorescent staining of human cell line U-2 OS shows localization to nucleoplasm.
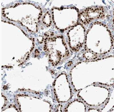
Immunohistochemistry-Paraffin: PPIL2 Antibody [NBP1-85360]

Immunohistochemistry-Paraffin: PPIL2 Antibody [NBP1-85360]

Immunohistochemistry-Paraffin: PPIL2 Antibody [NBP1-85360] - Staining of human thyroid gland shows strong nuclear positivity in glandular cells.

Applications for PPIL2 Antibody - BSA Free

Application
Recommended Usage

Immunocytochemistry/ Immunofluorescence

0.25-2 ug/ml

Immunohistochemistry

1:200 - 1:500

Immunohistochemistry-Paraffin

1:200 - 1:500

Western Blot

0.04-0.4 ug/ml
Application Notes
For IHC-Paraffin, HIER pH 6 retrieval is recommended. ICC/IF Fixation Permeabilization: Use PFA/Triton X-100.

Formulation, Preparation, and Storage

Purification

Affinity purified

Formulation

PBS (pH 7.2) and 40% Glycerol

Format

BSA Free

Preservative

0.02% Sodium Azide

Concentration

Concentrations vary lot to lot. See vial label for concentration. If unlisted please contact technical services.

Shipping

The product is shipped with polar packs. Upon receipt, store it immediately at the temperature recommended below.

Stability & Storage

Store at 4C short term. Aliquot and store at -20C long term. Avoid freeze-thaw cycles.

Background: PPIL2

PPIL2 is a member of the cyclophilin family of peptidylprolyl isomerases. The cyclophilins are a highly conserved ubiquitous family, members of which play an important role in protein folding, immunosuppression by cyclosporin A, and infection of HIV-1 virions. This protein interacts with the proteinase inhibitor eglin c and is localized in the nucleus. Multiple transcript variants encoding different isoforms have been found for this gene. [provided by RefSeq]

Alternate Names

CYC4, cyclophilin, 60kDa, Cyclophilin-60, Cyclophilin-like protein Cyp-60, CYP60, Cyp-60, EC 5.2.1.8, FLJ39930, hCyP-60, MGC33174, MGC787, peptidylprolyl cis-trans isomerase, peptidyl-prolyl cis-trans isomerase-like 2, peptidylprolyl isomerase (cyclophilin)-like 2, PPIase, Rotamase PPIL2

Gene Symbol

PPIL2

Additional PPIL2 Products

Product Documents for PPIL2 Antibody - BSA Free

Certificate of Analysis

To download a Certificate of Analysis, please enter a lot number in the search box below.

Product Specific Notices for PPIL2 Antibody - BSA Free

This product is for research use only and is not approved for use in humans or in clinical diagnosis. Primary Antibodies are guaranteed for 1 year from date of receipt.

Loading...
Loading...
Loading...
Loading...