Skip to main content

PPHLN1 Antibody - BSA Free

Novus Biologicals, part of Bio-Techne | Catalog # NBP2-81775

Novus Biologicals, part of Bio-Techne

Key Product Details

Species Reactivity

Human, Mouse

Applications

Immunohistochemistry, Immunohistochemistry-Paraffin, Western Blot, ELISA, Immunocytochemistry/ Immunofluorescence

Label

Unconjugated

Antibody Source

Polyclonal Rabbit IgG

Format

BSA Free

Concentration

1 mg/ml

Product Specifications

Immunogen

PPHLN1 antibody was raised against a 16 amino acid synthetic peptide near the center of human PPHLN1. The immunogen is located within amino acids 160 - 210 of PPHLN1. Amino Acid Squence: SYKRQNEGNPERDKER

Clonality

Polyclonal

Host

Rabbit

Isotype

IgG

Description

Novus Biologicals Rabbit PPHLN1 Antibody - BSA Free (NBP2-81775) is a polyclonal antibody validated for use in IHC, WB, ELISA and ICC/IF. All Novus Biologicals antibodies are covered by our 100% guarantee.

Scientific Data Images for PPHLN1 Antibody - BSA Free

Western Blot: PPHLN1 AntibodyBSA Free [NBP2-81775]

Western Blot: PPHLN1 AntibodyBSA Free [NBP2-81775]

Western Blot: PPHLN1 Antibody [NBP2-81775] - Analysis of PPHLN1 in mouse colon tissue lysate with PPHLN1 Antibody at 1 ug/ml in (A) the absence and (B) the presence of blocking peptide.
PPHLN1 Antibody - BSA Free

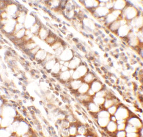
Immunohistochemistry: PPHLN1 Antibody - BSA Free [NBP2-81775] -

Immunohistochemistry: PPHLN1 Antibody - BSA Free [NBP2-81775] - Immunohistochemistry of PPHLN1 in human colon tissue with PPHLN1 antibody at 2.5 ug/mL.
PPHLN1 Antibody - BSA Free

Immunocytochemistry/ Immunofluorescence: PPHLN1 Antibody - BSA Free [NBP2-81775] -

Immunocytochemistry/ Immunofluorescence: PPHLN1 Antibody - BSA Free [NBP2-81775] - Immunofluorescence of PPHLN1 in human colon tissue with PPHLN1 antibody at 5 ug/mL.

Applications for PPHLN1 Antibody - BSA Free

Application
Recommended Usage

Immunocytochemistry/ Immunofluorescence

5 ug/ml

Immunohistochemistry

2.5 ug/ml

Western Blot

1 ug/ml

Formulation, Preparation, and Storage

Purification

Peptide affinity purified

Formulation

PBS

Format

BSA Free

Preservative

0.02% Sodium Azide

Concentration

1 mg/ml

Shipping

The product is shipped with polar packs. Upon receipt, store it immediately at the temperature recommended below.

Stability & Storage

Store at 4C short term. Aliquot and store at -20C long term. Avoid freeze-thaw cycles.

Background: PPHLN1

PPHLN1 is encoded by this gene is one of the several proteins that become sequentially incorporated into the cornified cell envelope during the terminal differentiation of keratinocyte at the outer layers of epidermis. This protein interacts with periplakin, which is known as a precursor of the cornified cell envelope. The cellular localization pattern and insolubility of this protein suggest that it may play a role in epithelial differentiation and contribute to epidermal integrity and barrier formation. Multiple alternatively spliced transcript variants encoding distinct isoforms have been observed. [provided by RefSeq]

Alternate Names

Gastric cancer antigen Ga50, HSPC232, MGC48786, periphilin 1, periphilin-1

Gene Symbol

PPHLN1

Additional PPHLN1 Products

Product Documents for PPHLN1 Antibody - BSA Free

Certificate of Analysis

To download a Certificate of Analysis, please enter a lot number in the search box below.

Product Specific Notices for PPHLN1 Antibody - BSA Free

This product is for research use only and is not approved for use in humans or in clinical diagnosis. Primary Antibodies are guaranteed for 1 year from date of receipt.

Loading...
Loading...
Loading...
Loading...