PPAN Antibody - BSA Free
Novus Biologicals, part of Bio-Techne | Catalog # NBP1-88525
Key Product Details
Species Reactivity
Human
Applications
Immunohistochemistry, Immunohistochemistry-Paraffin, Western Blot
Label
Unconjugated
Antibody Source
Polyclonal Rabbit IgG
Format
BSA Free
Concentration
Concentrations vary lot to lot. See vial label for concentration. If unlisted please contact technical services.
Product Specifications
Immunogen
This antibody was developed against Recombinant Protein corresponding to amino acids: RWEMDRGRGRLCDQKFPKTKDKSQGAQARRGPRGASRDGG
Clonality
Polyclonal
Host
Rabbit
Isotype
IgG
Scientific Data Images for PPAN Antibody - BSA Free
Immunohistochemistry-Paraffin: PPAN Antibody - BSA Free [NBP1-88525]
Staining of human tonsil shows strong positivity in nucleoli in germinal and non-germinal center cells.Immunohistochemistry-Paraffin: PPAN Antibody - BSA Free [NBP1-88525]
Staining of human colon shows moderate positivity in nucleoli in glandular cells.Immunohistochemistry-Paraffin: PPAN Antibody - BSA Free [NBP1-88525]
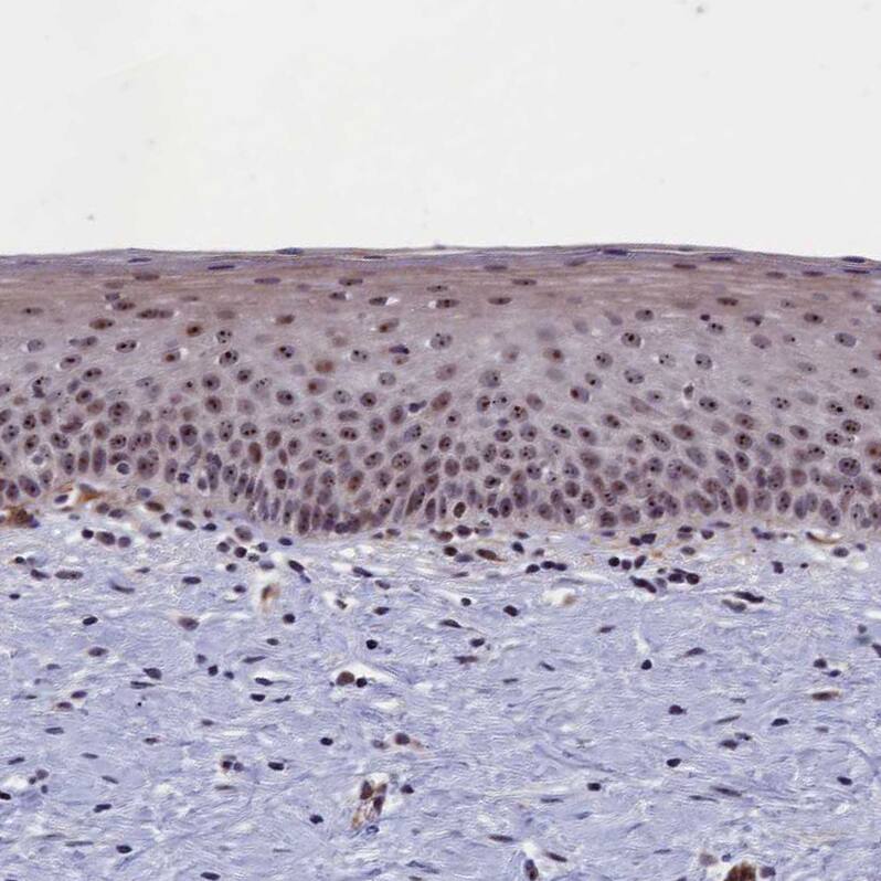
Staining of human cervix shows strong positivity in nucleoli in squamous epithelial cells.Applications for PPAN Antibody - BSA Free
Application
Recommended Usage
Immunohistochemistry
1:200 - 1:500
Immunohistochemistry-Paraffin
1:200 - 1:500
Western Blot
0.04-0.4 ug/ml
Application Notes
For IHC-Paraffin, HIER pH 6 retrieval is recommended.
Formulation, Preparation, and Storage
Purification
Affinity purified
Formulation
PBS (pH 7.2) and 40% Glycerol
Format
BSA Free
Preservative
0.02% Sodium Azide
Concentration
Concentrations vary lot to lot. See vial label for concentration. If unlisted please contact technical services.
Shipping
The product is shipped with polar packs. Upon receipt, store it immediately at the temperature recommended below.
Stability & Storage
Store at 4C short term. Aliquot and store at -20C long term. Avoid freeze-thaw cycles.
Background: PPAN
Alternate Names
Brix domain-containing protein 3, homolog of S. cerevisiae SSF1, MGC14226, MGC45852, peter pan (Drosophila) homolog, Peter Pan homolog, peter pan homolog (Drosophila), second-step splicing factor 1, SSF, Ssf-1, SSF1BXDC3SSF-1, SSF2, suppressor of sterile four 1, suppressor of SWI4 1 homolog
Gene Symbol
PPAN
Additional PPAN Products
Product Documents for PPAN Antibody - BSA Free
Product Specific Notices for PPAN Antibody - BSA Free
This product is for research use only and is not approved for use in humans or in clinical diagnosis. Primary Antibodies are guaranteed for 1 year from date of receipt.
Loading...
Loading...
Loading...
Loading...