Skip to main content

POMC Antibody

Novus Biologicals, part of Bio-Techne | Catalog # NB100-1533

Novus Biologicals, part of Bio-Techne
Catalog #
Availability
Size / Price
Qty
Loading...
NB100-1533

Key Product Details

Species Reactivity

Validated:

Human, Mouse, Rat, Porcine, Sheep

Cited:

Mouse, Rat, Porcine, Ovine

Applications

Validated:

Immunohistochemistry, Immunohistochemistry-Paraffin, Western Blot, Peptide ELISA, Flow Cytometry, Immunocytochemistry/ Immunofluorescence

Cited:

Western Blot, Immunocytochemistry/ Immunofluorescence, IF/IHC

Label

Unconjugated

Antibody Source

Polyclonal Goat IgG

Concentration

0.5 mg/ml

Product Specifications

Immunogen

Peptide with sequence C-NAIIKNAYKKGE corresponding to C-Terminus according to NP_000930.1, NP_001030333.1.

Epitope

C Terminus

Reactivity Notes

Porcine reactivity reported in scientific literature (PMID: 28250970). Sheep reactivity reported in scientific literature (PMID:15661821). Rat reactivity reported in scientific literature (PMID: 23358747).

Clonality

Polyclonal

Host

Goat

Isotype

IgG

Theoretical MW

29.4 kDa.
Disclaimer note: The observed molecular weight of the protein may vary from the listed predicted molecular weight due to post translational modifications, post translation cleavages, relative charges, and other experimental factors.

Description

Novus Biologicals Goat POMC Antibody (NB100-1533) is a polyclonal antibody validated for use in IHC, WB, ELISA, Flow and ICC/IF. Anti-POMC Antibody: Cited in 11 publications. All Novus Biologicals antibodies are covered by our 100% guarantee.

Scientific Data Images for POMC Antibody

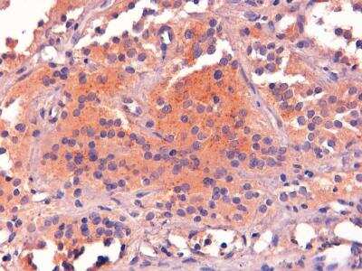
Immunohistochemistry: POMC Antibody [NB100-1533]

Immunohistochemistry: POMC Antibody [NB100-1533]

POMC-Antibody-Immunohistochemistry-NB100-1533-img0008.jpg
Flow Cytometry: POMC Antibody [NB100-1533]

Flow Cytometry: POMC Antibody [NB100-1533]

Flow Cytometry: POMC Antibody [NB100-1533] - Flow cytometric analysis of paraformaldehyde fixed A431 cells (blue line), permeabilized with 0.5% Triton. Primary incubation 1hr (10 ug/mL) followed by Alexa Fluor 488 secondary antibody (1 ug/mL). IgG control: Unimmunized goat IgG (black line) followed by Alexa Fluor 488 secondary antibody.
Immunohistochemistry-Paraffin: POMC Antibody [NB100-1533]

Immunohistochemistry-Paraffin: POMC Antibody [NB100-1533]

Immunohistochemistry-Paraffin: POMC Antibody [NB100-1533] - Staining of paraffin embedded Human Pituitary Gland. Antibody at 2 ug/mL. Steamed antigen retrieval with Tris/EDTA buffer pH 9, HRP-staining.

Applications for POMC Antibody

Application
Recommended Usage

Flow Cytometry

10 ug/mL

Immunohistochemistry-Paraffin

2 - 4 ug/mL

Peptide ELISA

1:128000
Application Notes
ICC/IF reactivity reported in the literature (PMID: 30709906). Use in WB reported in the literature (PMID: 22249165). WB: Preliminary testing showed a band at approx 30kDa in A431 cell lysate after 1ug/ml antibody staining (calculated MW of 29.4kDa according to NP_000930.1). Primary incubation 1 hour at room temperature.

Formulation, Preparation, and Storage

Purification

Immunogen affinity purified

Formulation

Tris saline (20 mM Tris pH 7.3, 150 mM NaCl), 0.5% BSA

Preservative

0.02% Sodium Azide

Concentration

0.5 mg/ml

Shipping

The product is shipped with polar packs. Upon receipt, store it immediately at the temperature recommended below.

Stability & Storage

Store at -20C. Avoid freeze-thaw cycles.

Background: POMC

This gene encodes a polypeptide hormone precursor that undergoes extensive, tissue-specific, post-translational processing via cleavage by subtilisin-like enzymes known as prohormone convertases. There are eight potential cleavage sites within the polypeptide precursor and, depending on tissue type and the available convertases, processing may yield as many as ten biologically active peptides involved in diverse cellular functions. The encoded protein is synthesized mainly in corticotroph cells of the anterior pituitary where four cleavage sites are used; adrenocorticotrophin, essential for normal steroidogenesis and the maintenance of normal adrenal weight, and lipotropin beta are the major end products. In other tissues, including the hypothalamus, placenta, and epithelium, all cleavage sites may be used, giving rise to peptides with roles in pain and energy homeostasis, melanocyte stimulation, and immune modulation. These include several distinct melanotropins, lipotropins, and endorphins that are contained within the adrenocorticotrophin and beta-lipotropin peptides. Mutations in this gene have been associated with early onset obesity, adrenal insufficiency, and red hair pigmentation. Alternatively spliced transcript variants encoding the same protein have been described.

Long Name

Proopiomelanocortin

Alternate Names

ACTH, adrenocorticotropic hormone, adrenocorticotropin, alpha-melanocyte-stimulating hormone, alpha-MSH, beta-endorphin, beta-LPH, beta-melanocyte-stimulating hormone, beta-MSH, CLIP, corticotropin-like intermediary peptide, Corticotropin-lipotropin, gamma-LPH, gamma-MSH, lipotropin beta, lipotropin gamma, LPH, melanotropin alpha, melanotropin beta, melanotropin gamma, met-enkephalin, MSH, NPP, POC, pro-ACTH-endorphin, proopiomelanocortin, pro-opiomelanocortin, proopiomelanocortin preproprotein

Entrez Gene IDs

5443 (Human); 18976 (Mouse)

Gene Symbol

POMC

UniProt

Additional POMC Products

Product Documents for POMC Antibody

Certificate of Analysis

To download a Certificate of Analysis, please enter a lot number in the search box below.

Product Specific Notices for POMC Antibody

This product is for research use only and is not approved for use in humans or in clinical diagnosis. Primary Antibodies are guaranteed for 1 year from date of receipt.

Loading...
Loading...
Loading...
Loading...
Loading...