Skip to main content

POLR2J Antibody - BSA Free

Novus Biologicals, part of Bio-Techne | Catalog # NBP2-93617

Novus Biologicals, part of Bio-Techne
Catalog #
Availability
Size / Price
Qty
Loading...
NBP2-93617-0.02ml
NBP2-93617-0.1ml

Key Product Details

Species Reactivity

Human, Mouse

Applications

Western Blot, ELISA, Immunocytochemistry/ Immunofluorescence

Label

Unconjugated

Antibody Source

Polyclonal Rabbit IgG

Format

BSA Free

Concentration

Please see the vial label for concentration. If unlisted please contact technical services.

Product Specifications

Immunogen

Recombinant fusion protein containing a sequence corresponding to amino acids 1-117 of human POLR2J (NP_006225.1). MNAPPAFESFLLFEGEKKITINKDTKVPNACLFTINKEDHTLGNIIKSQLLKDPQVLFAGYKVPHPLEHKIIIRVQTTPDYSPQEAFTNAITDLISELSLLEERFRVAIKDKQEGIE

Clonality

Polyclonal

Host

Rabbit

Isotype

IgG

Theoretical MW

13 kDa.
Disclaimer note: The observed molecular weight of the protein may vary from the listed predicted molecular weight due to post translational modifications, post translation cleavages, relative charges, and other experimental factors.

Description

Novus Biologicals Rabbit POLR2J Antibody - BSA Free (NBP2-93617) is a polyclonal antibody validated for use in WB, ELISA and ICC/IF. All Novus Biologicals antibodies are covered by our 100% guarantee.

Scientific Data Images for POLR2J Antibody - BSA Free

Western Blot: POLR2J AntibodyBSA Free [NBP2-93617]

Western Blot: POLR2J AntibodyBSA Free [NBP2-93617]

Western Blot: POLR2J Antibody [NBP2-93617] - Analysis of extracts of various cell lines, using POLR2J at 1:1000 dilution. Secondary antibody: HRP Goat Anti-Rabbit IgG (H+L) at 1:10000 dilution. Lysates/proteins: 25ug per lane. Blocking buffer: 3% nonfat dry milk in TBST.
Immunocytochemistry/ Immunofluorescence: POLR2J Antibody - BSA Free [NBP2-93617]

Immunocytochemistry/ Immunofluorescence: POLR2J Antibody - BSA Free [NBP2-93617]

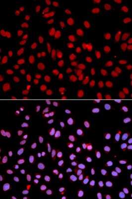
Immunocytochemistry/Immunofluorescence: POLR2J Antibody [NBP2-93617] - Analysis of U2OS cells using POLR2J . Blue: DAPI for nuclear staining.
Immunocytochemistry/ Immunofluorescence: POLR2J Antibody - BSA Free [NBP2-93617]

Immunocytochemistry/ Immunofluorescence: POLR2J Antibody - BSA Free [NBP2-93617]

Immunocytochemistry/Immunofluorescence: POLR2J Antibody [NBP2-93617] - Analysis of A549 cells using POLR2J .

Applications for POLR2J Antibody - BSA Free

Application
Recommended Usage

Immunocytochemistry/ Immunofluorescence

1:50-1:200

Western Blot

1:500-1:2000

Formulation, Preparation, and Storage

Purification

Affinity purified

Formulation

PBS (pH 7.3), 50% glycerol

Format

BSA Free

Preservative

0.02% Sodium Azide

Concentration

Please see the vial label for concentration. If unlisted please contact technical services.

Shipping

The product is shipped with polar packs. Upon receipt, store it immediately at the temperature recommended below.

Stability & Storage

Store at -20C. Avoid freeze-thaw cycles.

Background: POLR2J

The POLR2J gene encodes a subunit of RNA polymerase II, the polymerase responsible for synthesizing messenger RNA in eukaryotes. The product of this gene exists as a heterodimer with another polymerase subunit; together they form a core subassembly unit of the

Alternate Names

DNA-directed RNA polymerase II subunit J-1, DNA-directed RNA polymerase II subunit RPB11-a, hRPB14, MGC71910, POLR2J1RNA polymerase II subunit B11-a, polymerase (RNA) II (DNA directed) polypeptide J (13.3kD), polymerase (RNA) II (DNA directed) polypeptide J, 13.3kDa, RNA polymerase II 13.3 kDa subunit, RPB11, RPB11A, RPB11m

Gene Symbol

POLR2J

Additional POLR2J Products

Product Documents for POLR2J Antibody - BSA Free

Certificate of Analysis

To download a Certificate of Analysis, please enter a lot number in the search box below.

Product Specific Notices for POLR2J Antibody - BSA Free

This product is for research use only and is not approved for use in humans or in clinical diagnosis. Primary Antibodies are guaranteed for 1 year from date of receipt.

Loading...
Loading...
Loading...
Loading...