Skip to main content

Podoplanin Antibody (LF3/B7/D5B27) - Azide and BSA Free

Novus Biologicals, part of Bio-Techne | Catalog # NBP2-80915

Novus Biologicals, part of Bio-Techne
Catalog #
Availability
Size / Price
Qty
Loading...
NBP2-80915

Key Product Details

Species Reactivity

Rat

Applications

Immunohistochemistry, Immunohistochemistry-Paraffin, Western Blot, Immunocytochemistry/ Immunofluorescence

Label

Unconjugated

Antibody Source

Monoclonal Mouse IgG1 Clone # LF3/B7/D5B27

Format

Azide and BSA Free

Concentration

1 mg/ml

Product Specifications

Immunogen

Membrane protein fraction of isolated rat glomeruli

Clonality

Monoclonal

Host

Mouse

Isotype

IgG1

Description

Novus Biologicals Mouse Podoplanin Antibody (LF3/B7/D5B27) - Azide and BSA Free (NB110-96423) is a monoclonal antibody validated for use in IHC, WB and ICC/IF. All Novus Biologicals antibodies are covered by our 100% guarantee.

Scientific Data Images for Podoplanin Antibody (LF3/B7/D5B27) - Azide and BSA Free

Western Blot: Podoplanin Antibody (LF3/B7/D5B27)Azide and BSA Free [NBP2-80915]

Western Blot: Podoplanin Antibody (LF3/B7/D5B27)Azide and BSA Free [NBP2-80915]

Western Blot: Podoplanin Antibody (LF3/B7/D5B27) - Azide and BSA Free [NBP2-80915] - analysis with recombinant human, mouse and rat soluble Podolanin. There is no cross reaction with human and mouse Podoplanin. Image from the standard format of this antibody.
Immunocytochemistry: Podoplanin Antibody (LF3/B7/D5B27) - Azide and BSA Free [NBP2-80915]

Immunocytochemistry: Podoplanin Antibody (LF3/B7/D5B27) - Azide and BSA Free [NBP2-80915]

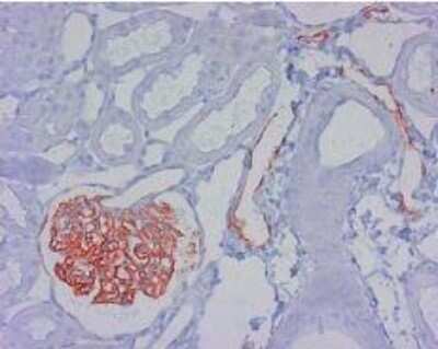
Immunocytochemistry: Podoplanin Antibody (LF3/B7/D5B27) - Azide and BSA Free [NBP2-80915] - staining of lymphatic endothelial cells and podocytes in normal rat renal corpusle. Image from the standard format of this antibody.
Immunohistochemistry: Podoplanin Antibody (LF3/B7/D5B27) - Azide and BSA Free [NBP2-80915]

Immunohistochemistry: Podoplanin Antibody (LF3/B7/D5B27) - Azide and BSA Free [NBP2-80915]

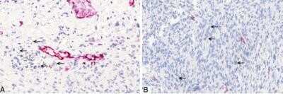
Immunohistochemistry: Podoplanin Antibody (LF3/B7/D5B27) - Azide and BSA Free [NBP2-80915] - Non-neoplastic histopathological findings in the abdominal cavity. A: High-power view of anti-podoplanin immunohistochemistry showing single MWCNT A (high dose) nanotubes in the tissue (arrows). B: High-power view of anti-podoplanin immunohistochemistry

Applications for Podoplanin Antibody (LF3/B7/D5B27) - Azide and BSA Free

Application
Recommended Usage

Immunocytochemistry/ Immunofluorescence

1-2 ug/ml

Immunohistochemistry

6-30 ug/ml

Immunohistochemistry-Paraffin

6-30 ug/ml

Western Blot

1-2 ug/ml

Formulation, Preparation, and Storage

Purification

Protein G purified

Formulation

PBS

Format

Azide and BSA Free

Preservative

No Preservative

Concentration

1 mg/ml

Shipping

The product is shipped with polar packs. Upon receipt, store it immediately at the temperature recommended below.

Stability & Storage

Store at 4C short term. Aliquot and store at -20C long term. Avoid freeze-thaw cycles.

Background: Podoplanin

Podoplanin is specifically expressed in the endothelium of lymphatic capillaries but not in the blood vasculature. In normal skin and kidney, podoplanin colocalized with VEGFR3/FLT4, another marker for lymphatic endothelial cells.

Long Name

Lung Type-I Cell Membrane-associated Glycoprotein, Isoform A

Alternate Names

Aggrus, Gp38, PDPN, RANDAM-2, T1A-2

Gene Symbol

PDPN

Additional Podoplanin Products

Product Documents for Podoplanin Antibody (LF3/B7/D5B27) - Azide and BSA Free

Certificate of Analysis

To download a Certificate of Analysis, please enter a lot number in the search box below.

Product Specific Notices for Podoplanin Antibody (LF3/B7/D5B27) - Azide and BSA Free

This product is for research use only and is not approved for use in humans or in clinical diagnosis. Primary Antibodies are guaranteed for 1 year from date of receipt.

Loading...
Loading...
Loading...
Loading...