Skip to main content

PMP70 Antibody (CL2524) - BSA Free

Novus Biologicals, part of Bio-Techne | Catalog # NBP2-36770

Novus Biologicals, part of Bio-Techne
Catalog #
Availability
Size / Price
Qty
Loading...
NBP2-36770

Key Product Details

Validated by

Orthogonal Validation

Species Reactivity

Human

Applications

Immunohistochemistry, Immunohistochemistry-Paraffin, Immunocytochemistry/ Immunofluorescence

Label

Unconjugated

Antibody Source

Monoclonal Mouse IgG1 Clone # CL2524

Format

BSA Free

Concentration

Concentrations vary lot to lot. See vial label for concentration. If unlisted please contact technical services.

Product Specifications

Immunogen

This antibody was developed using a recombinant protein derived from P28288, with the exact immunogen sequence remaining proprietary.

Clonality

Monoclonal

Host

Mouse

Isotype

IgG1

Description

Novus Biologicals Mouse PMP70 Antibody (CL2524) - BSA Free (NBP2-36770) is a monoclonal antibody validated for use in IHC and ICC/IF. Anti-PMP70 Antibody: Cited in 2 publications. All Novus Biologicals antibodies are covered by our 100% guarantee.

Scientific Data Images for PMP70 Antibody (CL2524) - BSA Free

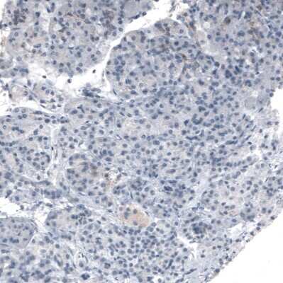
Immunohistochemistry-Paraffin: PMP70 Antibody (CL2524) [NBP2-36770]

Immunohistochemistry-Paraffin: PMP70 Antibody (CL2524) [NBP2-36770]

Immunohistochemistry-Paraffin: PMP70 Antibody (CL2524) [NBP2-36770] - Staining in human liver and pancreas tissues. Corresponding ABCD3 RNA-seq data are presented for the same tissues.
Immunocytochemistry/ Immunofluorescence: PMP70 Antibody (CL2524) [NBP2-36770]

Immunocytochemistry/ Immunofluorescence: PMP70 Antibody (CL2524) [NBP2-36770]

Immunocytochemistry/Immunofluorescence: PMP70 Antibody (CL2524) [NBP2-36770] - Staining in U251 cell line showing specific staining of peroxisomes in green. Microtubule-staining and nuclear probes are visualized in red and blue respectively (where available). Antibody staining is shown in green.
Immunocytochemistry/ Immunofluorescence: PMP70 Antibody (CL2524) [NBP2-36770]

Immunocytochemistry/ Immunofluorescence: PMP70 Antibody (CL2524) [NBP2-36770]

Immunocytochemistry/Immunofluorescence: PMP70 Antibody (CL2524) [NBP2-36770] - Staining in HeLa cell line showing specific staining of peroxisomes in green. Microtubule-staining and nuclear probes are visualized in red and blue respectively (where available). Antibody staining is shown in green.

Applications for PMP70 Antibody (CL2524) - BSA Free

Application
Recommended Usage

Immunocytochemistry/ Immunofluorescence

2-10 ug/ml

Immunohistochemistry

1:200 - 1:500

Immunohistochemistry-Paraffin

1:200 - 1:500
Application Notes
For IHC-Paraffin, HIER pH 6 retrieval is recommended. ICC/IF Fixation Permeabilization: Use PFA/Triton X-100.

Formulation, Preparation, and Storage

Purification

Protein A purified

Formulation

PBS (pH 7.2) and 40% Glycerol

Format

BSA Free

Preservative

0.02% Sodium Azide

Concentration

Concentrations vary lot to lot. See vial label for concentration. If unlisted please contact technical services.

Shipping

The product is shipped with polar packs. Upon receipt, store it immediately at the temperature recommended below.

Stability & Storage

Store at 4C short term. Aliquot and store at -20C long term. Avoid freeze-thaw cycles.

Background: PMP70

PMP70 is encoded by this gene is a member of the superfamily of ATP-binding cassette (ABC) transporters. ABC proteins transport various molecules across extra- and intra-cellular membranes. ABC genes are divided into seven distinct subfamilies (ABC1, MDR/TAP, MRP, ALD, OABP, GCN20, White). This protein is a member of the ALD subfamily, which is involved in peroxisomal import of fatty acids and/or fatty acyl-CoAs in the organelle. All known peroxisomal ABC transporters are half transporters which require a partner half transporter molecule to form a functional homodimeric or heterodimeric transporter. This peroxisomal membrane protein likely plays an important role in peroxisome biogenesis. Mutations have been associated with some forms of Zellweger syndrome, a heterogeneous group of peroxisome assembly disorders. Alternative splicing results in multiple transcript variants encoding distinct isoforms.

Alternate Names

70 kDa peroxisomal membrane protein, ABC43, ATP-binding cassette, sub-family D (ALD), member 3, peroxisomal membrane protein 1 (70kD, Zellweger syndrome), Peroxisomal membrane protein-1 (70kD), PMP70ATP-binding cassette sub-family D member 3, PXMP1dJ824O18.1 (ATP-binding cassette, sub-family D (ALD), member 3 (PMP70, PXMP1)), ZWS2

Gene Symbol

ABCD3

UniProt

Additional PMP70 Products

Product Documents for PMP70 Antibody (CL2524) - BSA Free

Certificate of Analysis

To download a Certificate of Analysis, please enter a lot number in the search box below.

Product Specific Notices for PMP70 Antibody (CL2524) - BSA Free

This product is for research use only and is not approved for use in humans or in clinical diagnosis. Primary Antibodies are guaranteed for 1 year from date of receipt.

Loading...
Loading...
Loading...
Loading...