Skip to main content

PLZF Antibody - BSA Free

Novus Biologicals, part of Bio-Techne | Catalog # NBP1-80894

Novus Biologicals, part of Bio-Techne
Catalog #
Availability
Size / Price
Qty
Loading...
NBP1-80894
NBP1-80894-25ul

Key Product Details

Species Reactivity

Validated:

Human

Cited:

Human

Predicted:

Mouse (98%), Rat (97%). Backed by our 100% Guarantee.

Applications

Validated:

Immunohistochemistry, Immunohistochemistry-Paraffin, Immunohistochemistry-Frozen, Western Blot

Cited:

Immunocytochemistry/ Immunofluorescence, IHC-F

Label

Unconjugated

Antibody Source

Polyclonal Rabbit IgG

Format

BSA Free

Concentration

Concentrations vary lot to lot. See vial label for concentration. If unlisted please contact technical services.

Product Specifications

Immunogen

This antibody was developed against Recombinant Protein corresponding to amino acids: HYTLDFLSPKTFQQILEYAYTATLQAKAEDLDDLLYAAEILEIEYLEEQCLKMLETIQASDDNDTEATMADGGAEEEEDRKARYLKNIFISKHSSEESGYASVAGQSLPGPMVDQSPSVSTSFGLSA

Clonality

Polyclonal

Host

Rabbit

Isotype

IgG

Description

Novus Biologicals Rabbit PLZF Antibody - BSA Free (NBP1-80894) is a polyclonal antibody validated for use in IHC, WB and ICC/IF. Anti-PLZF Antibody: Cited in 6 publications. All Novus Biologicals antibodies are covered by our 100% guarantee.

Scientific Data Images for PLZF Antibody - BSA Free

Western Blot: PLZF Antibody [NBP1-80894]

Western Blot: PLZF Antibody [NBP1-80894]

Western Blot: PLZF Antibody [NBP1-80894] - Analysis in human cell line HELA.
Immunohistochemistry-Paraffin: PLZF Antibody [NBP1-80894]

Immunohistochemistry-Paraffin: PLZF Antibody [NBP1-80894]

Immunohistochemistry-Paraffin: PLZF Antibody [NBP1-80894] - Staining of human Pancreas shows weak nuclear positivity in exocrine glandular cells.
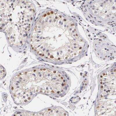
Immunohistochemistry-Paraffin: PLZF Antibody [NBP1-80894]

Immunohistochemistry-Paraffin: PLZF Antibody [NBP1-80894]

Immunohistochemistry-Paraffin: PLZF Antibody [NBP1-80894] - Staining of human testis shows moderate to strong positivity in nuclear membrane in cells in seminiferous ducts.

Applications for PLZF Antibody - BSA Free

Application
Recommended Usage

Immunohistochemistry

1:200 - 1:500

Immunohistochemistry-Frozen

Reported in scientific literature (PMID: 31145102).

Immunohistochemistry-Paraffin

1:200 - 1:500

Western Blot

0.04-0.4 ug/ml
Application Notes
For IHC-Paraffin, HIER pH 6 retrieval is recommended.

Formulation, Preparation, and Storage

Purification

Affinity purified

Formulation

PBS (pH 7.2) and 40% Glycerol

Format

BSA Free

Preservative

0.02% Sodium Azide

Concentration

Concentrations vary lot to lot. See vial label for concentration. If unlisted please contact technical services.

Shipping

The product is shipped with polar packs. Upon receipt, store it immediately at the temperature recommended below.

Stability & Storage

Store at 4C short term. Aliquot and store at -20C long term. Avoid freeze-thaw cycles.

Background: PLZF

ZBTB16 - zinc finger and BTB domain containing 16

Long Name

Promyelocytic Leukemia Zinc Finger

Alternate Names

ZBTB16, ZNF145

Entrez Gene IDs

7704 (Human)

Gene Symbol

ZBTB16

UniProt

Additional PLZF Products

Product Documents for PLZF Antibody - BSA Free

Certificate of Analysis

To download a Certificate of Analysis, please enter a lot number in the search box below.

Product Specific Notices for PLZF Antibody - BSA Free

This product is for research use only and is not approved for use in humans or in clinical diagnosis. Primary Antibodies are guaranteed for 1 year from date of receipt.

Loading...
Loading...
Loading...
Loading...