Skip to main content

PLTP Antibody (6A1Q1)

Novus Biologicals, part of Bio-Techne | Catalog # NBP3-16847

Recombinant Monoclonal Antibody
Catalog #
Availability
Size / Price
Qty
Loading...
NBP3-16847-100ul
NBP3-16847-20ul

Key Product Details

Species Reactivity

Human, Mouse, Rat

Applications

Immunohistochemistry, Immunohistochemistry-Paraffin, Western Blot

Label

Unconjugated

Antibody Source

Recombinant Monoclonal Rabbit IgG Clone # 6A1Q1 expressed in HEK293

Concentration

Please see the vial label for concentration. If unlisted please contact technical services.

Product Specifications

Immunogen

A synthetic peptide corresponding to a sequence within amino acids 200-300 of human PLTP (P55058). LDTVPVRSSVDELVGIDYSLMKDPVASTSNLDMDFRGAFFPLTERNWSLPNRAVEPQLQEEERMVYVAFSEFFFDSAMESYFRAGALQLLLVGDKVPHDLD

Clonality

Monoclonal

Host

Rabbit

Isotype

IgG

Scientific Data Images for PLTP Antibody (6A1Q1)

Western Blot: PLTP Antibody (6A1Q1) [NBP3-16847]

Western Blot: PLTP Antibody (6A1Q1) [NBP3-16847]

Western Blot: PLTP Antibody (6A1Q1) [NBP3-16847] - Western blot analysis of extracts of various cell lines, using PLTP antibody (NBP3-16847) at 1:1000 dilution. Secondary antibody: HRP Goat Anti-Rabbit IgG (H+L) at 1:10000 dilution. Lysates/proteins: 25ug per lane. Blocking buffer: 3% nonfat dry milk in TBST. Detection: ECL Basic Kit. Exposure time: 180s.
Immunohistochemistry-Paraffin: PLTP Antibody (6A1Q1) [NBP3-16847]

Immunohistochemistry-Paraffin: PLTP Antibody (6A1Q1) [NBP3-16847]

Immunohistochemistry-Paraffin: PLTP Antibody (6A1Q1) [NBP3-16847] - Immunohistochemistry of paraffin-embedded mouse testis using PLTP Rabbit mAb (NBP3-16847) at dilution of 1:100 (40x lens).Perform microwave antigen retrieval with 10 mM Tris/EDTA buffer pH 9.0 before commencing with IHC staining protocol.
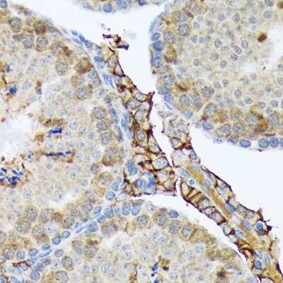
Immunohistochemistry-Paraffin: PLTP Antibody (6A1Q1) [NBP3-16847]

Immunohistochemistry-Paraffin: PLTP Antibody (6A1Q1) [NBP3-16847]

Immunohistochemistry-Paraffin: PLTP Antibody (6A1Q1) [NBP3-16847] - Immunohistochemistry of paraffin-embedded rat pancreas using PLTP Rabbit mAb (NBP3-16847) at dilution of 1:100 (40x lens).Perform microwave antigen retrieval with 10 mM Tris/EDTA buffer pH 9.0 before commencing with IHC staining protocol.

Applications for PLTP Antibody (6A1Q1)

Application
Recommended Usage

Immunohistochemistry

1:50 - 1:200

Western Blot

1:500 - 1:1000

Formulation, Preparation, and Storage

Purification

Affinity purified

Formulation

PBS (pH 7.3), 50% glycerol, 0.05% BSA

Preservative

0.02% Sodium Azide

Concentration

Please see the vial label for concentration. If unlisted please contact technical services.

Shipping

The product is shipped with polar packs. Upon receipt, store it immediately at the temperature recommended below.

Stability & Storage

Store at -20C. Avoid freeze-thaw cycles.

Background: PLTP

Phospholipid transfer protein (PLTP) plays a central role in regulating plasma HDL levels and distribution of HDL subpopulations. This regulation is evidenced in vivo by markedly reduced plasma HDL levels in PLTP gene knock-out mice. PLTP also facilitates free cholesterol influx into HDL and whereby plays a role in cholesterol metabolism.

Long Name

Phospholipid Transfer Protein

Alternate Names

HDLCQ9, Lipid transfer protein II, phospholipid transfer protein

Gene Symbol

PLTP

Additional PLTP Products

Product Documents for PLTP Antibody (6A1Q1)

Certificate of Analysis

To download a Certificate of Analysis, please enter a lot number in the search box below.

Product Specific Notices for PLTP Antibody (6A1Q1)

This product is for research use only and is not approved for use in humans or in clinical diagnosis. Primary Antibodies are guaranteed for 1 year from date of receipt.

Loading...
Loading...
Loading...
Loading...