Skip to main content

PLOD1 Antibody - BSA Free

Novus Biologicals, part of Bio-Techne | Catalog # NBP2-31885

Novus Biologicals, part of Bio-Techne
Catalog #
Availability
Size / Price
Qty
Loading...
NBP2-31885

Key Product Details

Validated by

Independent Antibodies

Species Reactivity

Human

Applications

Western Blot

Label

Unconjugated

Antibody Source

Polyclonal Rabbit IgG

Format

BSA Free

Concentration

Concentrations vary lot to lot. See vial label for concentration. If unlisted please contact technical services.

Product Specifications

Immunogen

This antibody was developed against a recombinant protein corresponding to amino acids: YISNIYLIKGSALRGELQSSDLFHHSKLDPDMAFCANIRQQDVFMFLTNRHTLGHLLSLDSYRTTHLHNDLWEVFSN

Reactivity Notes

Immunogen displays the following percentage of sequence identity for non-tested species: Mouse (86%), Rat (86%)

Clonality

Polyclonal

Host

Rabbit

Isotype

IgG

Description

Novus Biologicals Rabbit PLOD1 Antibody - BSA Free (NBP2-31885) is a polyclonal antibody validated for use in WB. Anti-PLOD1 Antibody: Cited in 1 publication. All Novus Biologicals antibodies are covered by our 100% guarantee.

Scientific Data Images for PLOD1 Antibody - BSA Free

Western Blot: PLOD1 Antibody [NBP2-31885]

Western Blot: PLOD1 Antibody [NBP2-31885]

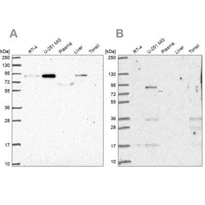
Western Blot: PLOD1 Antibody [NBP2-31885] - Analysis NBP2-31885 (A) shows similar pattern to independent antibody NBP2-38770 (B).
Western Blot: PLOD1 Antibody [NBP2-31885]

Western Blot: PLOD1 Antibody [NBP2-31885]

Western Blot: PLOD1 Antibody [NBP2-31885] - Analysis using Anti-PLOD1 antibody NBP2-31885 (A) shows similar pattern to independent antibody NBP2-38770 (B).
Western Blot: PLOD1 Antibody [NBP2-31885]

Western Blot: PLOD1 Antibody [NBP2-31885]

Western Blot: PLOD1 Antibody [NBP2-31885] - Analysis in human cell line U-251 MG and human cell line RT-4.

Applications for PLOD1 Antibody - BSA Free

Application
Recommended Usage

Western Blot

0.04-0.4 ug/ml

Formulation, Preparation, and Storage

Purification

Affinity purified

Formulation

PBS (pH 7.2) and 40% Glycerol

Format

BSA Free

Preservative

0.02% Sodium Azide

Concentration

Concentrations vary lot to lot. See vial label for concentration. If unlisted please contact technical services.

Shipping

The product is shipped with polar packs. Upon receipt, store it immediately at the temperature recommended below.

Stability & Storage

Store at 4C short term. Aliquot and store at -20C long term. Avoid freeze-thaw cycles.

Background: PLOD1

Lysyl hydroxylase is a membrane-bound homodimeric protein localized to the cisternae of the endoplasmic reticulum. The enzyme (cofactors iron and ascorbate) catalyzes the hydroxylation of lysyl residues in collagen-like peptides. The resultant hydroxylysyl groups are attachment sites for carbohydrates in collagen and thus are critical for the stability of intermolecular crosslinks. Some patients with Ehlers-Danlos syndrome type VI have deficiencies in lysyl hydroxylase activity. [provided by RefSeq]

Alternate Names

2-oxoglutarate 5-dioxygenase 1, EC 1.14.11.4, Ehlers-Danlos syndrome type VI), FLJ42041, LH1, LLH, lysine hydroxylase, Lysyl hydroxylase 1, PLODLH, procollagen-lysine, procollagen-lysine 1, 2-oxoglutarate 5-dioxygenase (lysine hydroxylase, procollagen-lysine 1, 2-oxoglutarate 5-dioxygenase 1, procollagen-lysine, 2-oxoglutarate 5-dioxygenase

Gene Symbol

PLOD1

UniProt

Additional PLOD1 Products

Product Documents for PLOD1 Antibody - BSA Free

Certificate of Analysis

To download a Certificate of Analysis, please enter a lot number in the search box below.

Product Specific Notices for PLOD1 Antibody - BSA Free

This product is for research use only and is not approved for use in humans or in clinical diagnosis. Primary Antibodies are guaranteed for 1 year from date of receipt.

Loading...
Loading...
Loading...
Loading...