Skip to main content

Pleiotrophin/PTN Antibody (CL15628) - Azide and BSA Free

Novus Biologicals, part of Bio-Techne | Catalog # NBP3-44293

Novus Biologicals, part of Bio-Techne
Catalog #
Availability
Size / Price
Qty
Loading...
NBP3-44293

Key Product Details

Species Reactivity

Human, Mouse

Applications

Immunohistochemistry-Paraffin

Label

Unconjugated

Antibody Source

Monoclonal Mouse IgG1 Clone # CL15628

Format

Azide and BSA Free

Concentration

LYOPH mg/ml

Product Specifications

Immunogen

This antibody was generated using a synthetic peptide of P21246, with the exact immunogen sequence remaining proprietary.

Clonality

Monoclonal

Host

Mouse

Isotype

IgG1

Description

Novus Biologicals Mouse Pleiotrophin/PTN Antibody (CL15628) - Azide and BSA Free (NBP3-43677) is a monoclonal antibody validated for use in IHC. All Novus Biologicals antibodies are covered by our 100% guarantee.

Scientific Data Images for Pleiotrophin/PTN Antibody (CL15628) - Azide and BSA Free

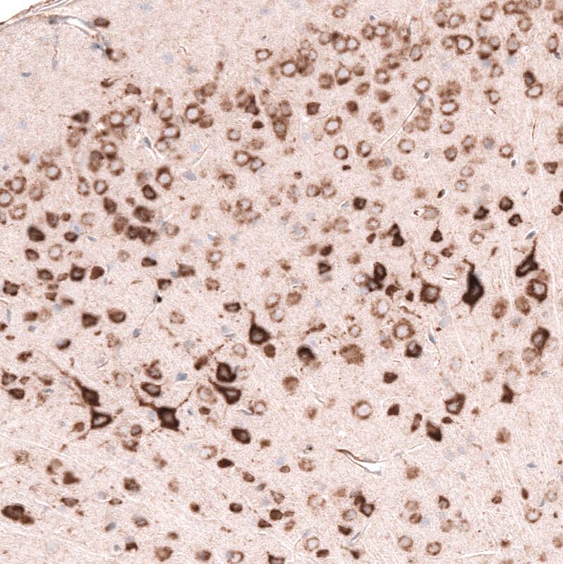
Pleiotrophin/PTN Antibody (CL15628) - Azide and BSA Free Immunohistochemistry-Paraffin: Pleiotrophin/PTN Antibody [NBP3-44293]

Immunohistochemistry-Paraffin: Pleiotrophin/PTN Antibody [NBP3-44293]

Staining of human cerebellum shows strong cytoplasmic positivity in Purkinje cell.
Pleiotrophin/PTN Antibody (CL15628) - Azide and BSA Free Immunohistochemistry-Paraffin: Pleiotrophin/PTN Antibody [NBP3-44293]

Immunohistochemistry-Paraffin: Pleiotrophin/PTN Antibody [NBP3-44293]

Staining of human liver shows moderate cytoplasmic positivity in hepatocytes.
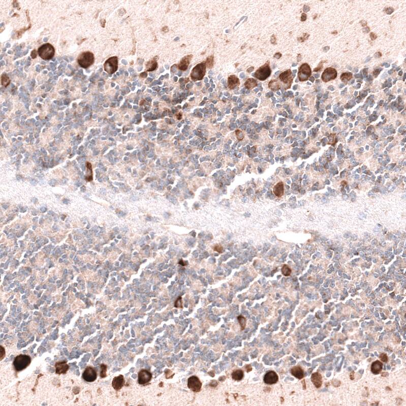
Pleiotrophin/PTN Antibody (CL15628) - Azide and BSA Free Immunohistochemistry-Paraffin: Pleiotrophin/PTN Antibody [NBP3-44293]

Immunohistochemistry-Paraffin: Pleiotrophin/PTN Antibody [NBP3-44293]

Staining of mouse cerebellum shows strong cytoplasmic positivity in Purkinje cells.

Applications for Pleiotrophin/PTN Antibody (CL15628) - Azide and BSA Free

Application
Recommended Usage

Immunohistochemistry-Paraffin

1:50-1:200
Application Notes
For IHC-Paraffin, HIER pH 6 retrieval is recommended.

Formulation, Preparation, and Storage

Purification

Protein A purified

Reconstitution

Centrifuge the vial of lyophilized antibody at 12,000 x g for 20 seconds. Reconstitute by adding sterile, distilled water to achieve a final antibody concentration of 1mg/ml.

Formulation

Lyophilized from a 0.2 um filtered solution in PBS with Trehalose

Format

Azide and BSA Free

Preservative

No Preservative

Concentration

LYOPH mg/ml

Shipping

The product is shipped at ambient temperature. Upon receipt, store it immediately at the temperature recommended below.

Stability & Storage

Store at 4C short term. Aliquot and store at -20C long term. Avoid freeze-thaw cycles.

Background: Pleiotrophin/PTN

Heparin binding mitogenic protein. Has neurite extension activity

Alternate Names

HARP, HBNF, HNGF-8, OSF-1, PTN

Gene Symbol

PTN

Additional Pleiotrophin/PTN Products

Product Documents for Pleiotrophin/PTN Antibody (CL15628) - Azide and BSA Free

Certificate of Analysis

To download a Certificate of Analysis, please enter a lot number in the search box below.

Product Specific Notices for Pleiotrophin/PTN Antibody (CL15628) - Azide and BSA Free

This product is for research use only and is not approved for use in humans or in clinical diagnosis. Primary Antibodies are guaranteed for 1 year from date of receipt.

Loading...
Loading...
Loading...
Loading...
Loading...