Skip to main content

PLEC1 Antibody - BSA Free

Novus Biologicals, part of Bio-Techne | Catalog # NBP1-92275

Novus Biologicals, part of Bio-Techne
Catalog #
Availability
Size / Price
Qty
Loading...
NBP1-92275
NBP1-92275-25ul

Key Product Details

Species Reactivity

Human

Applications

Immunohistochemistry, Immunohistochemistry-Paraffin

Label

Unconjugated

Antibody Source

Polyclonal Rabbit IgG

Format

BSA Free

Concentration

Concentrations vary lot to lot. See vial label for concentration. If unlisted please contact technical services.

Product Specifications

Immunogen

This antibody was developed against Recombinant Protein corresponding to amino acids: MGISPLGNQSVIIETGRAHPDSRRAVFHFHYEVDRRMSDTFCTLSENLILDDCGNCVPLPGGEEKQKKNYVAYTCKLMELAKNCDNKNEQLQCDHCDTLNDKYFCFEGSCEKVDMVYSGDSFCRKDFTDSQAAKT

Clonality

Polyclonal

Host

Rabbit

Isotype

IgG

Description

Novus Biologicals Rabbit PLEC1 Antibody - BSA Free (NBP1-92275) is a polyclonal antibody validated for use in IHC. All Novus Biologicals antibodies are covered by our 100% guarantee.

Scientific Data Images for PLEC1 Antibody - BSA Free

Immunohistochemistry-Paraffin: PLEC1 Antibody [NBP1-92275]

Immunohistochemistry-Paraffin: PLEC1 Antibody [NBP1-92275]

Immunohistochemistry-Paraffin: PLEC1 Antibody [NBP1-92275] - Staining of human lymph node.
Immunohistochemistry-Paraffin: PLEC1 Antibody [NBP1-92275]

Immunohistochemistry-Paraffin: PLEC1 Antibody [NBP1-92275]

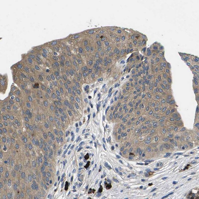
Immunohistochemistry-Paraffin: PLEC1 Antibody [NBP1-92275] - Staining of human urinary bladder shows moderate cytoplasmic positivity in urothelial cells.
Immunohistochemistry-Paraffin: PLEC1 Antibody [NBP1-92275]

Immunohistochemistry-Paraffin: PLEC1 Antibody [NBP1-92275]

Immunohistochemistry-Paraffin: PLEC1 Antibody [NBP1-92275] - Staining of human colon.

Applications for PLEC1 Antibody - BSA Free

Application
Recommended Usage

Immunohistochemistry

1:50 - 1:200

Immunohistochemistry-Paraffin

1:50 - 1:200
Application Notes
For IHC-Paraffin, HIER pH 6 retrieval is recommended.

Formulation, Preparation, and Storage

Purification

Affinity purified

Formulation

PBS (pH 7.2) and 40% Glycerol

Format

BSA Free

Preservative

0.02% Sodium Azide

Concentration

Concentrations vary lot to lot. See vial label for concentration. If unlisted please contact technical services.

Shipping

The product is shipped with polar packs. Upon receipt, store it immediately at the temperature recommended below.

Stability & Storage

Store at 4C short term. Aliquot and store at -20C long term. Avoid freeze-thaw cycles.

Background: PLEC1

The PLEC1 gene (also known as the PLEC gene) encodes a plectin protein that exists in nine isoforms: isoform 1 is 4,684 amino acids long at 531 kDA; isoform 2 is 4,574 amino acids long at 518 kDA; isoform 3 is 4,570 amino acids long at 518 kDA; isoform 4 is 4,547 amino acids long at 516 kDA; isoform 5 is 4,547 amino acids long at 516 kDA; isoform 6 is 4,551 amino acids long at 516 kDA; isoform 7 is 4,515 amino acids long at 512 kDA; isoform 8 is 4,525 amino acids long at 513 kDA; and isoform 9 is 4,533 amino acids long at 514 kDA. The PLEC1 gene functions as a structural component of muscle as links intermediate filaments with microtubules and microfilaments. It anchors the intermediate filaments to desmosomes or hemidesmosomes. Additionally, it is thought to have the ability to bind muscle proteins, like actin, to membrane complexes in the muscle. PLEC1 participates in cytoskeletal signaling, cytoskeleton remodeling of neurofilaments and keratin filaments, EGFR1 signaling pathways, apoptosis, collagen formation, and Alpha6-Beta4 integrin signaling pathways. It is known to interact with genes SRRM2, SQSTM1, GRB2, ITGB4, and RANBP2. Defects in this gene lead to epidermolysis bullosa simplex with pyloric atresia (EBS-PA), epidermolysis bullosa simplex with muscular dystrophy (MD-EBS), epidermolysis bullosa simplex Ogna type (O-EBS) and limb-girdle muscular dystrophy type 2Q (LGMD2Q). PLEC1 is also associated with myopathy, neuropathy, alexander disease, myasthenic syndrome, squamous cell carcinoma, epithelial ovarian cancer, and muscular dystrophy.

Long Name

1-phosphatidylinositol 4,5-bisphosphate phosphodiesterase epsilon-1

Alternate Names

KIAA1516, PLC-epsilon-1, PLCE, PLCE1, PPLC

Gene Symbol

PLCE1

Additional PLEC1 Products

Product Documents for PLEC1 Antibody - BSA Free

Certificate of Analysis

To download a Certificate of Analysis, please enter a lot number in the search box below.

Product Specific Notices for PLEC1 Antibody - BSA Free

This product is for research use only and is not approved for use in humans or in clinical diagnosis. Primary Antibodies are guaranteed for 1 year from date of receipt.

Loading...
Loading...
Loading...
Loading...