Skip to main content

PLCXD1 Antibody (OTI2D7)

Novus Biologicals, part of Bio-Techne | Catalog # NBP2-46442

Novus Biologicals, part of Bio-Techne
Catalog #
Availability
Size / Price
Qty
Loading...
NBP2-46442

Key Product Details

Species Reactivity

Human

Applications

Immunohistochemistry, Immunohistochemistry-Paraffin, Western Blot

Label

Unconjugated

Antibody Source

Monoclonal Mouse IgG1 Clone # OTI2D7

Concentration

1 mg/ml

Product Specifications

Immunogen

Full length human recombinant protein of human PLCXD1(NP_060860) produced in E.coli.

Clonality

Monoclonal

Host

Mouse

Isotype

IgG1

Theoretical MW

36.5 kDa.
Disclaimer note: The observed molecular weight of the protein may vary from the listed predicted molecular weight due to post translational modifications, post translation cleavages, relative charges, and other experimental factors.

Description

Novus Biologicals Mouse PLCXD1 Antibody (OTI2D7) (NBP2-46442) is a monoclonal antibody validated for use in IHC and WB. All Novus Biologicals antibodies are covered by our 100% guarantee.

Scientific Data Images for PLCXD1 Antibody (OTI2D7)

Western Blot: PLCXD1 Antibody (OTI2D7) [NBP2-46442]

Western Blot: PLCXD1 Antibody (OTI2D7) [NBP2-46442]

Western Blot: PLCXD1 Antibody (2D7) [NBP2-46442] - Analysis of HEK293T cells were transfected with the pCMV6-ENTRY control (Left lane) or pCMV6-ENTRY PLCXD1.
Immunohistochemistry: PLCXD1 Antibody (OTI2D7) [NBP2-46442]

Immunohistochemistry: PLCXD1 Antibody (OTI2D7) [NBP2-46442]

Immunohistochemistry: PLCXD1 Antibody (2D7) [NBP2-46442] - Analysis of Human tonsil tissue. (Heat-induced epitope retrieval by 1mM EDTA in 10mM Tris buffer (pH8.5) at 120C for 3 min)
Immunohistochemistry: PLCXD1 Antibody (OTI2D7) [NBP2-46442]

Immunohistochemistry: PLCXD1 Antibody (OTI2D7) [NBP2-46442]

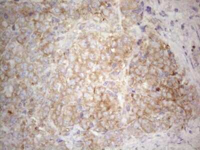
Immunohistochemistry: PLCXD1 Antibody (2D7) [NBP2-46442] - Analysis of Adenocarcinoma of Human endometrium tissue. (Heat-induced epitope retrieval by 1mM EDTA in 10mM Tris buffer (pH8.5) at 120C for 3 min)

Applications for PLCXD1 Antibody (OTI2D7)

Application
Recommended Usage

Immunohistochemistry

1:150

Western Blot

1:2000

Formulation, Preparation, and Storage

Purification

Immunogen affinity purified

Formulation

PBS (pH 7.3), 1.0% BSA and 50% Glycerol

Preservative

0.02% Sodium Azide

Concentration

1 mg/ml

Shipping

The product is shipped with polar packs. Upon receipt, store it immediately at the temperature recommended below.

Stability & Storage

Store at -20C. Avoid freeze-thaw cycles.

Background: PLCXD1

Phospholipases are a group of enzymes that hydrolyze phospholipids into fatty acids and other lipophilic molecules. PLC is subdivided into beta, gamma, delta, epsilon, zeta and eta subtypes, which catalyze the hydrolysis of phosphatidylinositol 4,5-bisphosphate (PIP2) to inositol 1,4,5-trisphosphate (IP3) and 1,2-diacylglycerol (DAG). IP3 and DAG both have important second messenger functions. PLC-beta is primarily activated by Gq/11 proteins and PLC-gamma is activated by phosphorylation in response to a variety of growth factor and immune system signals. Phospholipases are ubiquitously expressed and have diverse biological functions including roles in inflammation, cell growth, signaling and death and maintenance of membrane phospholipids.

Alternate Names

FLJ11323, phosphatidylinositol-specific phospholipase C, X domain containing 1, PI-PLC X domain-containing protein 1

Gene Symbol

PLCXD1

Additional PLCXD1 Products

Product Documents for PLCXD1 Antibody (OTI2D7)

Certificate of Analysis

To download a Certificate of Analysis, please enter a lot number in the search box below.

Product Specific Notices for PLCXD1 Antibody (OTI2D7)

This product is for research use only and is not approved for use in humans or in clinical diagnosis. Primary Antibodies are guaranteed for 1 year from date of receipt.

Loading...
Loading...
Loading...
Loading...