PLA2G6 Antibody - BSA Free
Novus Biologicals, part of Bio-Techne | Catalog # NBP3-46465
Key Product Details
Species Reactivity
Human, Mouse
Applications
Immunohistochemistry, Western Blot, ELISA
Label
Unconjugated
Antibody Source
Polyclonal Rabbit IgG
Format
BSA Free
Concentration
Please see the vial label for concentration. If unlisted please contact technical services.
Product Specifications
Immunogen
phospholipase A2, group VI(cytosolic, calcium-independent). (Uniprot# O60733)
Clonality
Polyclonal
Host
Rabbit
Isotype
IgG
Theoretical MW
88 kDa.
Disclaimer note: The observed molecular weight of the protein may vary from the listed predicted molecular weight due to post translational modifications, post translation cleavages, relative charges, and other experimental factors.
Disclaimer note: The observed molecular weight of the protein may vary from the listed predicted molecular weight due to post translational modifications, post translation cleavages, relative charges, and other experimental factors.
Description
Novus Biologicals Rabbit PLA2G6 Antibody - BSA Free (NBP3-46465) is a polyclonal antibody validated for use in IHC, WB and ELISA. All Novus Biologicals antibodies are covered by our 100% guarantee.
Scientific Data Images for PLA2G6 Antibody - BSA Free
Western Blot: PLA2G6 Antibody - BSA Free [NBP3-46465] -
Western Blot: PLA2G6 Antibody - BSA Free [NBP3-46465] - Mouse testis tissue were subjected to SDS PAGE followed by western blot with (PLA2G6 antibody) at dilution of 1:1000Immunohistochemistry: PLA2G6 Antibody - BSA Free [NBP3-46465] -
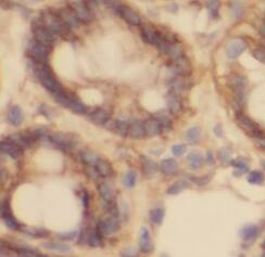
Immunohistochemistry: PLA2G6 Antibody - BSA Free [NBP3-46465] - Immunohistochemistry of paraffin-embedded human small intestine tissue slide using (PLA2G6 Antibody) at dilution of 1:50Applications for PLA2G6 Antibody - BSA Free
Application
Recommended Usage
Immunohistochemistry
1:20-1:200
Western Blot
1:500-1:2000
Formulation, Preparation, and Storage
Purification
Immunogen affinity purified
Formulation
PBS, 50% Glycerol, pH (7.3)
Format
BSA Free
Preservative
0.02% Sodium Azide
Concentration
Please see the vial label for concentration. If unlisted please contact technical services.
Shipping
The product is shipped with polar packs. Upon receipt, store it immediately at the temperature recommended below.
Stability & Storage
Store at -20C. Avoid freeze-thaw cycles.
Background: PLA2G6
Alternate Names
calcium-independent phospholipase A2, EC 3.1.1.4, Group VI phospholipase A2, IPLA2, iPLA285 kDa calcium-independent phospholipase A2, IPLA2-VIA, NBIA2A, NBIA2B, PARK14GVI, patatin-like phospholipase domain containing 9, phospholipase A2, group VI (cytosolic, calcium-independent), PNPLA9
Gene Symbol
PLA2G6
Additional PLA2G6 Products
Product Documents for PLA2G6 Antibody - BSA Free
Product Specific Notices for PLA2G6 Antibody - BSA Free
This product is for research use only and is not approved for use in humans or in clinical diagnosis. Primary Antibodies are guaranteed for 1 year from date of receipt.
Loading...
Loading...
Loading...
Loading...