Skip to main content

PLA2G4F Antibody - BSA Free

Novus Biologicals, part of Bio-Techne | Catalog # NBP2-38800

Novus Biologicals, part of Bio-Techne
Catalog #
Availability
Size / Price
Qty
Loading...
NBP2-38800
NBP2-38800-25ul

Key Product Details

Validated by

Orthogonal Validation

Species Reactivity

Human

Applications

Immunohistochemistry, Immunohistochemistry-Paraffin

Label

Unconjugated

Antibody Source

Polyclonal Rabbit IgG

Format

BSA Free

Concentration

Concentrations vary lot to lot. See vial label for concentration. If unlisted please contact technical services.

Product Specifications

Immunogen

This antibody was developed against a recombinant protein corresponding to amino acids: LVNRTFRTHLAPGVERQTAEEKAFGDFVINRPDTPYGMMNFTYEPQDFYRLVALSRYNVLNNVETLKCALQLALDRHQARERA

Clonality

Polyclonal

Host

Rabbit

Isotype

IgG

Description

Novus Biologicals Rabbit PLA2G4F Antibody - BSA Free (NBP2-38800) is a polyclonal antibody validated for use in IHC. All Novus Biologicals antibodies are covered by our 100% guarantee.

Scientific Data Images for PLA2G4F Antibody - BSA Free

Immunohistochemistry-Paraffin: PLA2G4F Antibody [NBP2-38800]

Immunohistochemistry-Paraffin: PLA2G4F Antibody [NBP2-38800]

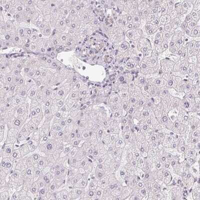
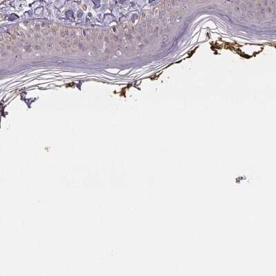
Immunohistochemistry-Paraffin: PLA2G4F Antibody [NBP2-38800] - Staining in human skin and liver tissues using anti-PLA2G4F antibody. Corresponding PLA2G4F RNA-seq data are presented for the same tissues.
Immunohistochemistry-Paraffin: PLA2G4F Antibody [NBP2-38800]

Immunohistochemistry-Paraffin: PLA2G4F Antibody [NBP2-38800]

Immunohistochemistry-Paraffin: PLA2G4F Antibody [NBP2-38800] - Staining of human skin shows high expression.
Immunohistochemistry-Paraffin: PLA2G4F Antibody [NBP2-38800]

Immunohistochemistry-Paraffin: PLA2G4F Antibody [NBP2-38800]

Immunohistochemistry-Paraffin: PLA2G4F Antibody [NBP2-38800] - Staining of human liver shows low expression as expected.

Applications for PLA2G4F Antibody - BSA Free

Application
Recommended Usage

Immunohistochemistry

1:500 - 1:1000

Immunohistochemistry-Paraffin

1:500 - 1:1000
Application Notes
For IHC-Paraffin, HIER pH 6 retrieval is recommended.

Formulation, Preparation, and Storage

Purification

Immunogen affinity purified

Formulation

PBS (pH 7.2) and 40% Glycerol

Format

BSA Free

Preservative

0.02% Sodium Azide

Concentration

Concentrations vary lot to lot. See vial label for concentration. If unlisted please contact technical services.

Shipping

The product is shipped with polar packs. Upon receipt, store it immediately at the temperature recommended below.

Stability & Storage

Store at 4C short term. Aliquot and store at -20C long term. Avoid freeze-thaw cycles.

Background: PLA2G4F

Alternate Names

PLA2G4F phospholipase A2, group IVF, PLA2G4FZ

Gene Symbol

PLA2G4F

UniProt

Additional PLA2G4F Products

Product Documents for PLA2G4F Antibody - BSA Free

Certificate of Analysis

To download a Certificate of Analysis, please enter a lot number in the search box below.

Product Specific Notices for PLA2G4F Antibody - BSA Free

This product is for research use only and is not approved for use in humans or in clinical diagnosis. Primary Antibodies are guaranteed for 1 year from date of receipt.

Loading...
Loading...
Loading...
Loading...