Skip to main content

PIK3C2A Antibody - BSA Free

Novus Biologicals, part of Bio-Techne | Catalog # NBP3-37948

Novus Biologicals, part of Bio-Techne
Catalog #
Availability
Size / Price
Qty
Loading...
NBP3-37948-20ul
NBP3-37948-100ul

Key Product Details

Species Reactivity

Human, Mouse, Rat

Applications

ELISA, Immunocytochemistry/ Immunofluorescence, Immunohistochemistry, Immunohistochemistry-Paraffin, Immunoprecipitation, Western Blot

Label

Unconjugated

Antibody Source

Polyclonal Rabbit IgG

Format

BSA Free

Concentration

Please see the vial label for concentration. If unlisted please contact technical services.

Product Specifications

Immunogen

Recombinant fusion protein containing a sequence corresponding to amino acids 1-200 of human PIK3C2A (NP_002636.2).

Sequence:
MAQISSNSGFKECPSSHPEPTRAKDVDKEEALQMEAEALAKLQKDRQVTDNQRGFELSSSTRKKAQVYNKQDYDLMVFPESDSQKRALDIDVEKLTQAELEKLLLDDSFETKKTPVLPVTPILSPSFSAQLYFRPTIQRGQWPPGLPGPSTYALPSIYPSTYSKQAAFQNGFNPRMPTFPSTEPIYLSLPGQSPYFSYPL

Clonality

Polyclonal

Host

Rabbit

Isotype

IgG

Theoretical MW

191 kDa.
Disclaimer note: The observed molecular weight of the protein may vary from the listed predicted molecular weight due to post translational modifications, post translation cleavages, relative charges, and other experimental factors.

Description

Novus Biologicals Rabbit PIK3C2A Antibody - BSA Free (NBP3-37948) is a polyclonal antibody validated for use in IHC, WB, ELISA, ICC/IF and IP. All Novus Biologicals antibodies are covered by our 100% guarantee.

Scientific Data Images for PIK3C2A Antibody - BSA Free

PIK3C2A Antibody

Immunohistochemistry: PIK3C2A Antibody [NBP3-37948] -

Immunohistochemistry: PIK3C2A Antibody [NBP3-37948] - Immunohistochemistry analysis of paraffin-embedded Mouse heart using PIK3C2A Rabbit pAb at dilution of 1:100 (40x lens). Microwave antigen retrieval performed with 0.01M PBS Buffer (pH 7.2) prior to IHC staining.
PIK3C2A Antibody

Western Blot: PIK3C2A Antibody [NBP3-37948] -

Western Blot: PIK3C2A Antibody [NBP3-37948] - Western blot analysis of various lysates using PIK3C2A Rabbit pAb at 1:1000 dilution.
Secondary antibody: HRP-conjugated Goat anti-Rabbit IgG (H+L) at 1:10000 dilution.
Lysates/proteins: 25ug per lane.
Blocking buffer: 3% nonfat dry milk in TBST.
Detection: ECL Basic Kit.
Exposure time: 90s.
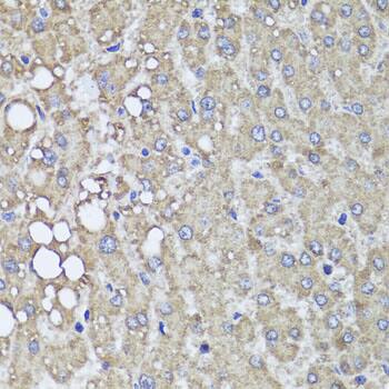
PIK3C2A Antibody

Immunohistochemistry: PIK3C2A Antibody [NBP3-37948] -

Immunohistochemistry: PIK3C2A Antibody [NBP3-37948] - Immunohistochemistry analysis of paraffin-embedded Human liver damage using PIK3C2A Rabbit pAb at dilution of 1:100 (40x lens). Microwave antigen retrieval performed with 0.01M PBS Buffer (pH 7.2) prior to IHC staining.

Applications for PIK3C2A Antibody - BSA Free

Application
Recommended Usage

Immunocytochemistry/ Immunofluorescence

1:50 - 1:200

Immunohistochemistry-Paraffin

1:50 - 1:200

Immunoprecipitation

0.5ug - 4ug antibody for 200ug - 400ug extracts of whole cells

Western Blot

1:500 - 1:2000

Formulation, Preparation, and Storage

Purification

Affinity purified

Formulation

PBS (pH 7.3), 50% glycerol

Format

BSA Free

Preservative

0.02% Sodium Azide

Concentration

Please see the vial label for concentration. If unlisted please contact technical services.

Shipping

The product is shipped with polar packs. Upon receipt, store it immediately at the temperature recommended below.

Stability & Storage

Store at -20C. Avoid freeze-thaw cycles.

Background: PIK3C2A

PIK3C2A belongs to the phosphoinositide 3-kinase (PI3K) family. PI3-kinases play roles in signaling pathways involved in cell proliferation, oncogenic transformation, cell survival, cell migration, and intracellular protein trafficking. This protein contains a lipid kinase catalytic domain as well as a C-terminal C2 domain, a characteristic of class II PI3-kinases. C2 domains act as calcium-dependent phospholipid binding motifs that mediate translocation of proteins to membranes, and may also mediate protein-protein interactions. The PI3-kinase activity of this protein is not sensitive to nanomolar levels of the inhibitor wortmanin. This protein was shown to be able to be activated by insulin and may be involved in integrin-dependent signaling.

Long Name

Phosphatidylinositol 4-phosphate 3-kinase C2 domain-containing subunit alpha

Alternate Names

EC 2.7.1.137, EC 2.7.1.153, EC 2.7.1.154, PI3K-C2-alpha

Gene Symbol

PIK3C2A

Additional PIK3C2A Products

Product Documents for PIK3C2A Antibody - BSA Free

Certificate of Analysis

To download a Certificate of Analysis, please enter a lot number in the search box below.

Product Specific Notices for PIK3C2A Antibody - BSA Free

This product is for research use only and is not approved for use in humans or in clinical diagnosis. Primary Antibodies are guaranteed for 1 year from date of receipt.

Loading...
Loading...
Loading...
Loading...