Skip to main content

PIGT Antibody - BSA Free

Novus Biologicals, part of Bio-Techne | Catalog # NBP3-47145

Novus Biologicals, part of Bio-Techne
Catalog #
Availability
Size / Price
Qty
Loading...
NBP3-47145

Key Product Details

Species Reactivity

Human

Applications

ELISA, Immunohistochemistry, Western Blot

Label

Unconjugated

Antibody Source

Polyclonal Rabbit IgG

Format

BSA Free

Concentration

Please see the vial label for concentration. If unlisted please contact technical services.

Product Specifications

Immunogen

phosphatidylinositol glycan anchor biosynthesis, class T. (Uniprot# Q969N2)

Clonality

Polyclonal

Host

Rabbit

Isotype

IgG

Theoretical MW

66 kDa.
Disclaimer note: The observed molecular weight of the protein may vary from the listed predicted molecular weight due to post translational modifications, post translation cleavages, relative charges, and other experimental factors.

Description

Novus Biologicals Rabbit PIGT Antibody - BSA Free (NBP3-47145) is a polyclonal antibody validated for use in IHC, WB and ELISA. All Novus Biologicals antibodies are covered by our 100% guarantee.

Scientific Data Images for PIGT Antibody - BSA Free

PIGT Antibody - BSA Free

Western Blot: PIGT Antibody - BSA Free [NBP3-47145] -

Western Blot: PIGT Antibody - BSA Free [NBP3-47145] - Human brain tissue were subjected to SDS PAGE followed by western blot with (PIGT antibody) at dilution of 1:800
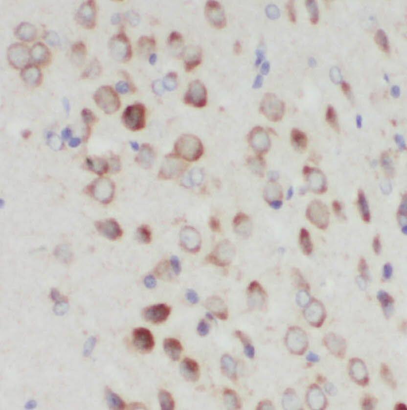
PIGT Antibody - BSA Free

Immunohistochemistry: PIGT Antibody - BSA Free [NBP3-47145] -

Immunohistochemistry: PIGT Antibody - BSA Free [NBP3-47145] - Immunohistochemistry of paraffin-embedded human brain using (PIGT antibody) at dilution of 1:100

Applications for PIGT Antibody - BSA Free

Application
Recommended Usage

Immunohistochemistry

1:20-1:200

Western Blot

1:500-1:2000

Formulation, Preparation, and Storage

Purification

Immunogen affinity purified

Formulation

PBS, 50% Glycerol, pH (7.3)

Format

BSA Free

Preservative

0.02% Sodium Azide

Concentration

Please see the vial label for concentration. If unlisted please contact technical services.

Shipping

The product is shipped with polar packs. Upon receipt, store it immediately at the temperature recommended below.

Stability & Storage

Store at -20C. Avoid freeze-thaw cycles.

Background: PIGT

PIGT encodes a protein that is involved in glycosylphosphatidylinositol (GPI)-anchor biosynthesis. The GPI-anchor is a glycolipid found on many blood cells and serves to anchor proteins to the cell surface. This protein is an essential component of the multisubunit enzyme, GPI transamidase. GPI transamidase mediates GPI anchoring in the endoplasmic reticulum, by catalyzing the transfer of fully assembled GPI units to proteins. [provided by RefSeq]

Alternate Names

FLJ41596, GPI transamidase component PIG-T, GPI transamidase subunit, MGC8909, NDAP, neurotrophin-regulated neuronal development-associated protein, phosphatidyl inositol glycan class T, phosphatidylinositol glycan anchor biosynthesis, class T, phosphatidylinositol glycan, class T, Phosphatidylinositol-glycan biosynthesis class T protein

Gene Symbol

PIGT

Additional PIGT Products

Product Documents for PIGT Antibody - BSA Free

Certificate of Analysis

To download a Certificate of Analysis, please enter a lot number in the search box below.

Product Specific Notices for PIGT Antibody - BSA Free

This product is for research use only and is not approved for use in humans or in clinical diagnosis. Primary Antibodies are guaranteed for 1 year from date of receipt.

Loading...
Loading...
Loading...
Loading...