Skip to main content

PI 3-Kinase p110 delta Antibody (OTI1D11)

Novus Biologicals, part of Bio-Techne | Catalog # NBP2-46404

Novus Biologicals, part of Bio-Techne

Key Product Details

Species Reactivity

Human, Mouse, Rat

Applications

Immunohistochemistry, Immunohistochemistry-Paraffin

Label

Unconjugated

Antibody Source

Monoclonal Mouse IgG1 Clone # OTI1D11

Concentration

1 mg/ml

Product Specifications

Immunogen

Human recombinant protein fragment corresponding to amino acids 286-610 of human PIK3CD (NP_005017) produced in E.coli.

Reactivity Notes

Please note that this antibody is reactive to Mouse and derived from the same host, Mouse. Mouse-On-Mouse blocking reagent may be needed for IHC and ICC experiments to reduce high background signal. You can find these reagents under catalog numbers PK-2200-NB and MP-2400-NB. Please contact Technical Support if you have any questions.

Clonality

Monoclonal

Host

Mouse

Isotype

IgG1

Theoretical MW

119.3 kDa.
Disclaimer note: The observed molecular weight of the protein may vary from the listed predicted molecular weight due to post translational modifications, post translation cleavages, relative charges, and other experimental factors.

Description

Novus Biologicals Mouse PI 3-Kinase p110 delta Antibody (OTI1D11) (NBP2-46404) is a monoclonal antibody validated for use in IHC. All Novus Biologicals antibodies are covered by our 100% guarantee.

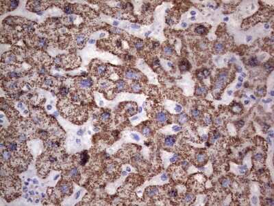
Scientific Data Images for PI 3-Kinase p110 delta Antibody (OTI1D11)

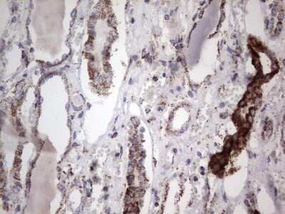
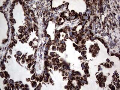
Immunohistochemistry: PI 3-Kinase p110 delta Antibody (OTI1D11) [NBP2-46404]

Immunohistochemistry: PI 3-Kinase p110 delta Antibody (OTI1D11) [NBP2-46404]

Immunohistochemistry: PI 3-Kinase p110 delta Antibody (1D11) [NBP2-46404] - Analysis of Carcinoma of Human prostate tissue. (Heat-induced epitope retrieval by 1 mM EDTA in 10mM Tris, pH8.5, 120C for 3min)
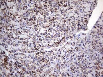
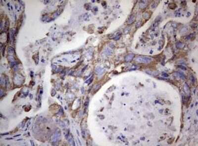
Immunohistochemistry: PI 3-Kinase p110 delta Antibody (OTI1D11) [NBP2-46404]

Immunohistochemistry: PI 3-Kinase p110 delta Antibody (OTI1D11) [NBP2-46404]

Immunohistochemistry: PI 3-Kinase p110 delta Antibody (1D11) [NBP2-46404] - Analysis of Human breast tissue. (Heat-induced epitope retrieval by 1 mM EDTA in 10mM Tris, pH8.5, 120C for 3min)
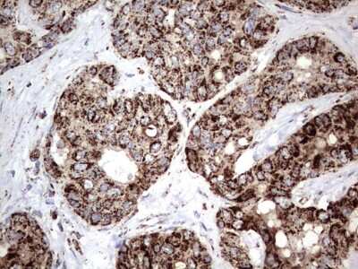
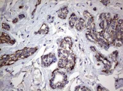
Immunohistochemistry: PI 3-Kinase p110 delta Antibody (OTI1D11) [NBP2-46404]

Immunohistochemistry: PI 3-Kinase p110 delta Antibody (OTI1D11) [NBP2-46404]

Immunohistochemistry: PI 3-Kinase p110 delta Antibody (1D11) [NBP2-46404] - Analysis of Adenocarcinoma of Human breast tissue. (Heat-induced epitope retrieval by 1 mM EDTA in 10mM Tris, pH8.5, 120C for 3min)

Applications for PI 3-Kinase p110 delta Antibody (OTI1D11)

Application
Recommended Usage

Immunohistochemistry

1:150

Immunohistochemistry-Paraffin

1:150

Reviewed Applications

Read 1 review rated 4 using NBP2-46404 in the following applications:

Formulation, Preparation, and Storage

Purification

Immunogen affinity purified

Formulation

PBS (pH 7.3), 1.0% BSA and 50% Glycerol

Preservative

0.02% Sodium Azide

Concentration

1 mg/ml

Shipping

The product is shipped with polar packs. Upon receipt, store it immediately at the temperature recommended below.

Stability & Storage

Store at -20C. Avoid freeze-thaw cycles.

Background: PI 3-Kinase p110 delta

PI3-Kinases (PI3-Ks) are a family of lipid kinases that are implicated in signal transduction. PI3-K consists of two subunits; p85 and p110. The p85 subunit localize PI3-K activity to the plasma membrane while the p110 subunit contains the catalytic domain of PI3-K. Four isoforms of p110 has been found; the alpha, beta, gamma, and the delta subunit. The delta isoform is predominantly expressed in leukocytes and has been shown to interact with p85 and GTP-bound Ras via its SH2/SH3 domain.

Long Name

Protein Tyrosine Phosphatase 1D

Alternate Names

PI 3Kinase p110 delta, PIK3CD

Gene Symbol

PIK3CD

Additional PI 3-Kinase p110 delta Products

Product Documents for PI 3-Kinase p110 delta Antibody (OTI1D11)

Certificate of Analysis

To download a Certificate of Analysis, please enter a lot number in the search box below.

Product Specific Notices for PI 3-Kinase p110 delta Antibody (OTI1D11)

This product is for research use only and is not approved for use in humans or in clinical diagnosis. Primary Antibodies are guaranteed for 1 year from date of receipt.

Loading...
Loading...
Loading...
Loading...