Skip to main content

PHOX2B Antibody (PHOX2B/7161R) - Azide and BSA Free

Novus Biologicals, part of Bio-Techne | Catalog # NBP3-20798

Recombinant Monoclonal Antibody
Novus Biologicals, part of Bio-Techne
Catalog #
Availability
Size / Price
Qty
Loading...
NBP3-20798
Conjugate
Catalog #

Key Product Details

Species Reactivity

Human

Applications

Immunohistochemistry-Paraffin

Label

Unconjugated

Antibody Source

Recombinant Monoclonal Rabbit IgG Kappa Clone # PHOX2B/7161R

Format

Azide and BSA Free

Concentration

1 mg/ml

Product Specifications

Immunogen

Recombinant fragment of human PHOX2B protein (exact sequence is proprietary)

Localization

Nucleus.

Clonality

Monoclonal

Host

Rabbit

Isotype

IgG Kappa

Description

Positive Controls: Expressed in neuroblastoma, brain and adrenal gland.

Antibody with azide - store at 2 to 8C. Antibody without azide - store at -20 to -80C. Non-hazardous. No MSDS required.

Scientific Data Images for PHOX2B Antibody (PHOX2B/7161R) - Azide and BSA Free

PHOX2B Antibody (PHOX2B/7161R) - Azide and BSA Free

PHOX2B Antibody (PHOX2B/7161R)

Formalin-fixed, paraffin-embedded human renal cell carcinoma stained with PHOX2B antibody (PHOX2B/7161R). HIER: Tris/EDTA, pH9.0, 45min. Secondary: HRP-polymer, 30min. DAB, 5min.
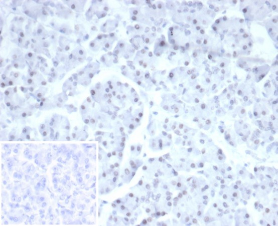
PHOX2B Antibody (PHOX2B/7161R) - Azide and BSA Free

PHOX2B Antibody (PHOX2B/7161R)

Formalin-fixed, paraffin-embedded human pancreas stained with PHOX2B antibody (PHOX2B/7161R). Inset: PBS instead of primary antibody; secondary only negative control.

Applications for PHOX2B Antibody (PHOX2B/7161R) - Azide and BSA Free

Application
Recommended Usage

Immunohistochemistry-Paraffin

1-2 ug/ml
Application Notes
Immunohistochemistry (Formalin-fixed): 1-2ug/ml for 30 minutes. at RT. Staining of formalin-fixed tissues requires heating tissue sections in 10mM Tris with 1mM EDTA, pH 9.0, for 45 min at 95C followed by cooling at RT for 20 minutes.

Optimal dilution for a specific application should be determined.

Formulation, Preparation, and Storage

Purification

Protein A or G purified

Formulation

10mM PBS

Format

Azide and BSA Free

Preservative

No Preservative

Concentration

1 mg/ml

Shipping

The product is shipped with polar packs. Upon receipt, store it immediately at the temperature recommended below.

Stability & Storage

Store at -20 to -70C. Avoid freeze-thaw cycles.

Background: PHOX2B

The DNA-associated protein encoded by this gene is a member of the paired family of homeobox proteins localized to the nucleus. The protein functions as a transcription factor involved in the development of several major noradrenergic neuron populations and the determination of neurotransmitter phenotype. The gene product is linked to enhancement of second messenger-mediated activation of the dopamine beta-hydroylase, c-fos promoters and several enhancers, including cyclic amp-response element and serum-response element. (provided by RefSeq)

Long Name

Paired-like Homeobox 2b

Alternate Names

NBPhox, PMX2B

Gene Symbol

PHOX2B

Additional PHOX2B Products

Product Documents for PHOX2B Antibody (PHOX2B/7161R) - Azide and BSA Free

Certificate of Analysis

To download a Certificate of Analysis, please enter a lot number in the search box below.

Product Specific Notices for PHOX2B Antibody (PHOX2B/7161R) - Azide and BSA Free

This product is for research use only and is not approved for use in humans or in clinical diagnosis. Primary Antibodies are guaranteed for 1 year from date of receipt.

Loading...
Loading...
Loading...
Loading...