Skip to main content

Phospholipase C beta 2 Antibody - BSA Free

Novus Biologicals, part of Bio-Techne | Catalog # NBP3-13288

Novus Biologicals, part of Bio-Techne
Catalog #
Availability
Size / Price
Qty
Loading...
NBP3-13288

Key Product Details

Validated by

Independent Antibodies

Species Reactivity

Validated:

Human, Mouse

Predicted:

Rhesus Macaque (92%). Backed by our 100% Guarantee.

Applications

Immunohistochemistry, Immunohistochemistry-Paraffin, Immunohistochemistry-Frozen, Western Blot, Immunocytochemistry/ Immunofluorescence

Label

Unconjugated

Antibody Source

Polyclonal Rabbit IgG

Format

BSA Free

Concentration

Concentrations vary lot to lot. See vial label for concentration. If unlisted please contact technical services.

Product Specifications

Immunogen

Recombinant protein encompassing a sequence within the C-terminus region of human Phospholipase C beta 2. The exact sequence is proprietary.

Clonality

Polyclonal

Host

Rabbit

Isotype

IgG

Theoretical MW

134 kDa.
Disclaimer note: The observed molecular weight of the protein may vary from the listed predicted molecular weight due to post translational modifications, post translation cleavages, relative charges, and other experimental factors.

Description

Centrifuge briefly prior to opening.

Scientific Data Images for Phospholipase C beta 2 Antibody - BSA Free

Western Blot: Phospholipase C beta 2 Antibody [NBP3-13288]

Western Blot: Phospholipase C beta 2 Antibody [NBP3-13288]

Western Blot: Phospholipase C beta 2 Antibody [NBP3-13288] - Various whole cell extracts (30 ug) were separated by 5% SDS-PAGE, and the membranes were blotted with Phospholipase C beta 2 antibody (NBP3-13288) diluted at 1:1000 and competitor's antibody diluted at 1:100. The HRP-conjugated anti-rabbit IgG antibody (NBP2-19301) was used to detect the primary antibody.
Immunohistochemistry-Paraffin: Phospholipase C beta 2 Antibody [NBP3-13288]

Immunohistochemistry-Paraffin: Phospholipase C beta 2 Antibody [NBP3-13288]

Immunohistochemistry-Paraffin: Phospholipase C beta 2 Antibody [NBP3-13288] - Human lung cancer. Phospholipase C beta 2 stained by Phospholipase C beta 2 antibody (NBP3-13288) diluted at 1:500. Antigen Retrieval: Citrate buffer, pH 6.0, 15 min
Immunohistochemistry-Paraffin: Phospholipase C beta 2 Antibody [NBP3-13288]

Immunohistochemistry-Paraffin: Phospholipase C beta 2 Antibody [NBP3-13288]

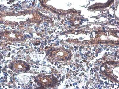
Immunohistochemistry-Paraffin: Phospholipase C beta 2 Antibody [NBP3-13288] - Human colon cancer. Phospholipase C beta 2 stained by Phospholipase C beta 2 antibody (NBP3-13288) diluted at 1:500. Antigen Retrieval: Citrate buffer, pH 6.0, 15 min

Applications for Phospholipase C beta 2 Antibody - BSA Free

Application
Recommended Usage

Immunocytochemistry/ Immunofluorescence

1:100-1:1000

Immunohistochemistry

1:100-1:1000

Immunohistochemistry-Paraffin

1:100-1:1000

Western Blot

1:500-1:3000
Application Notes
IHC-Fr Assay dependent

Formulation, Preparation, and Storage

Purification

Antigen Affinity-purified

Formulation

PBS, 20% Glycerol

Format

BSA Free

Preservative

0.025% Proclin 300

Concentration

Concentrations vary lot to lot. See vial label for concentration. If unlisted please contact technical services.

Shipping

The product is shipped with polar packs. Upon receipt, store it immediately at the temperature recommended below.

Stability & Storage

Store at 4C short term. Aliquot and store at -20C long term. Avoid freeze-thaw cycles.

Background: Phospholipase C beta 2

The production of the second messenger molecules diacylglycerol (DAG) and inositol 1,4,5-trisphosphate (IP3) is mediated by activated phosphatidylinositol-specific phospholipase C enzymes

Long Name

1-phosphatidylinositol 4,5-bisphosphate phosphodiesterase beta-2

Alternate Names

EC 3.1.4.11, PLC-beta-2, PLCB2

Gene Symbol

PLCB2

Additional Phospholipase C beta 2 Products

Product Documents for Phospholipase C beta 2 Antibody - BSA Free

Certificate of Analysis

To download a Certificate of Analysis, please enter a lot number in the search box below.

Product Specific Notices for Phospholipase C beta 2 Antibody - BSA Free

This product is for research use only and is not approved for use in humans or in clinical diagnosis. Primary Antibodies are guaranteed for 1 year from date of receipt.

Loading...
Loading...
Loading...
Loading...