Phospholamban Antibody - BSA Free
Novus Biologicals, part of Bio-Techne | Catalog # NBP2-19807
Key Product Details
Species Reactivity
Validated:
Human, Mouse, Rat, Porcine
Cited:
Human, Mouse, Rat, Porcine
Predicted:
Bovine (94%), Canine (96%), Rabbit (98%), Rhesus Macaque (98%). Backed by our 100% Guarantee.
Applications
Validated:
Immunohistochemistry, Immunohistochemistry-Paraffin, Western Blot, Immunocytochemistry/ Immunofluorescence
Cited:
Western Blot, Immunocytochemistry/ Immunofluorescence
Label
Unconjugated
Antibody Source
Polyclonal Rabbit IgG
Format
BSA Free
Concentration
Concentrations vary lot to lot. See vial label for concentration. If unlisted please contact technical services.
Product Specifications
Immunogen
Full length human Phospholamban Recombinant protein.
Reactivity Notes
Use in Porcine reported in scientific literature (PMID:33863453).
Localization
Mitochondrion membrane; Single-pass membrane protein; Sarcoplasmic reticulum
Clonality
Polyclonal
Host
Rabbit
Isotype
IgG
Theoretical MW
6 kDa.
Disclaimer note: The observed molecular weight of the protein may vary from the listed predicted molecular weight due to post translational modifications, post translation cleavages, relative charges, and other experimental factors.
Disclaimer note: The observed molecular weight of the protein may vary from the listed predicted molecular weight due to post translational modifications, post translation cleavages, relative charges, and other experimental factors.
Scientific Data Images for Phospholamban Antibody - BSA Free
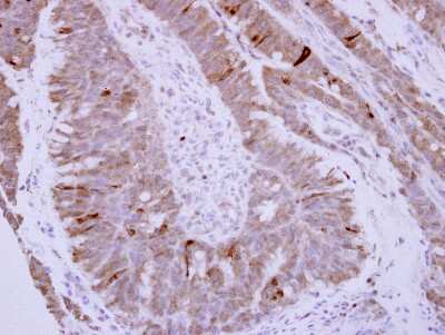
Immunohistochemistry-Paraffin: Phospholamban Antibody [NBP2-19807]
Immunohistochemistry-Paraffin: Phospholamban Antibody [NBP2-19807] - Human colon carcinoma, using phospholamban antibody at 1:250 dilution.Antigen Retrieval: Trilogy™ (EDTA based, pH 8.0) buffer, 15min.Western Blot: Phospholamban Antibody [NBP2-19807] -
Various tissue extracts (50 ug) were separated by 15% SDS-PAGE, and the membrane was blotted with Phospholamban antibody (NBP2-19807) diluted at 1:10000. The HRP-conjugated anti-rabbit IgG antibody was used to detect the primary antibody.Immunocytochemistry/ Immunofluorescence: Phospholamban Antibody - BSA Free [NBP2-19807] -
Mitochondrial respiration and detection of oxidative stressAOxygen consumption rate in PLNic versus PLN p.Arg14del. Mean +/- SEM.B–DQuantification of basal respiration (B), maximal respiration (C) and ATP production (D). Mean +/- SEM, n = 6 biological replicates (each biological replicate represents the average of 12 wells of a 96‐well Seahorse plate), Mann–Whitney U‐test, *P < 0.05.EFluorometric detection of ROS content in complete medium supernatant or lysed cells after 24 h of EHT culture, n = 8 EHTs, each circle: Mean of 6 technical replicates, mean +/- SEM, Mann–Whitney U‐test,*P < 0.05.FImmunofluorescence of 2D hiPSC‐CM from PLNic and PLN p.Arg14del for PLN (red), 8‐hydroxydeoxyguanosine (8‐OHdG; green) and DAPI‐stained nuclei; scale bar 20 um.GWestern immunoblot analysis of 2D hiPSC‐CM from PLNic and PLN p.Arg14del with an anti‐2,4‐dinitrophenylhydrazine antibody (DNPH) that detects the presence of carbonyl groups modified by 2,4‐dinitrophenylhydrazine as a surrogate marker of irreversibly oxidized proteins, n = 8 replicates per genotype, cMyBP‐C was used as a loading control. Image collected and cropped by CiteAb from the following open publication (https://pubmed.ncbi.nlm.nih.gov/33998164), licensed under a CC-BY license. Not internally tested by Novus Biologicals.Applications for Phospholamban Antibody - BSA Free
Application
Recommended Usage
Immunocytochemistry/ Immunofluorescence
Reported in scientific literature (PMID: 33998164)
Immunohistochemistry
1:100-1:1000
Immunohistochemistry-Paraffin
1:100-1:1000
Western Blot
1:1000-1:10000
Formulation, Preparation, and Storage
Purification
Antigen Affinity-purified
Formulation
PBS, 20% Glycerol
Format
BSA Free
Preservative
0.025% Proclin 300
Concentration
Concentrations vary lot to lot. See vial label for concentration. If unlisted please contact technical services.
Shipping
The product is shipped with polar packs. Upon receipt, store it immediately at the temperature recommended below.
Stability & Storage
Aliquot and store at -20C or -80C. Avoid freeze-thaw cycles.
Background: Phospholamban
Additional Phospholamban Products
Product Documents for Phospholamban Antibody - BSA Free
Product Specific Notices for Phospholamban Antibody - BSA Free
This product is for research use only and is not approved for use in humans or in clinical diagnosis. Primary Antibodies are guaranteed for 1 year from date of receipt.
Loading...
Loading...
Loading...
Loading...
⚠ WARNING: This product can expose you to chemicals including mercury, which is known to the State of California to cause reproductive toxicity with developmental effects. For more information go to www.P65Warnings.ca.gov.