Skip to main content

Phosducin Antibody - BSA Free

Novus Biologicals, part of Bio-Techne | Catalog # NBP2-94660

Novus Biologicals, part of Bio-Techne
Catalog #
Availability
Size / Price
Qty
Loading...
NBP2-94660-0.02ml
NBP2-94660-0.1ml

Key Product Details

Species Reactivity

Human, Mouse, Rat

Applications

ELISA, Immunohistochemistry, Immunohistochemistry-Paraffin, Western Blot

Label

Unconjugated

Antibody Source

Polyclonal Rabbit IgG

Format

BSA Free

Concentration

Please see the vial label for concentration. If unlisted please contact technical services.

Product Specifications

Immunogen

Recombinant fusion protein containing a sequence corresponding to amino acids 1-246 of human PDC (NP_002588.3). MEEAKSQSLEEDFEGQATHTGPKGVINDWRKFKLESQDSDSIPPSKKEILRQMSSPQSRNGKDSKERVSRKMSIQEYELIHKEKEDENCLRKYRRQCMQDMHQKLSFGPRYGFVYELETGKQFLETIEKELKITTIVVHIYEDGIKGCDALNSSLTCLAAEYPIVKFCKIKASNTGAGDRFSLDVLPTLLIYKGGELISNFISVAEQFAEEFFAGDVESFLNEYGLLPEREVHVLEHTKIEEEDVE

Clonality

Polyclonal

Host

Rabbit

Isotype

IgG

Theoretical MW

28 kDa.
Disclaimer note: The observed molecular weight of the protein may vary from the listed predicted molecular weight due to post translational modifications, post translation cleavages, relative charges, and other experimental factors.

Description

Novus Biologicals Rabbit Phosducin Antibody - BSA Free (NBP2-94660) is a polyclonal antibody validated for use in IHC, WB and ELISA. All Novus Biologicals antibodies are covered by our 100% guarantee.

Scientific Data Images for Phosducin Antibody - BSA Free

Western Blot: Phosducin AntibodyBSA Free [NBP2-94660]

Western Blot: Phosducin AntibodyBSA Free [NBP2-94660]

Western Blot: Phosducin Antibody [NBP2-94660] - Analysis of extracts of various cell lines, using Phosducin at 1:1000 dilution.Secondary antibody: HRP Goat Anti-Rabbit IgG (H+L) at 1:10000 dilution.Lysates/proteins: 25ug per lane.Blocking buffer: 3% nonfat dry milk in TBST.Detection: ECL Basic Kit .Exposure time: 10s.
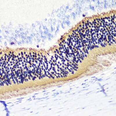
Immunohistochemistry-Paraffin: Phosducin Antibody - BSA Free [NBP2-94660]

Immunohistochemistry-Paraffin: Phosducin Antibody - BSA Free [NBP2-94660]

Immunohistochemistry-Paraffin: Phosducin Antibody [NBP2-94660] - Paraffin-embedded rat retina using Phosducin .
Immunohistochemistry-Paraffin: Phosducin Antibody - BSA Free [NBP2-94660]

Immunohistochemistry-Paraffin: Phosducin Antibody - BSA Free [NBP2-94660]

Immunohistochemistry-Paraffin: Phosducin Antibody [NBP2-94660] - Paraffin-embedded mouse retina using Phosducin .

Applications for Phosducin Antibody - BSA Free

Application
Recommended Usage

ELISA

Recommended starting concentration is 1 μg/mL

Immunohistochemistry

1:50-1:200

Western Blot

1:500-1:2000

Formulation, Preparation, and Storage

Purification

Affinity purified

Formulation

PBS (pH 7.3), 50% glycerol

Format

BSA Free

Preservative

0.02% Sodium Azide

Concentration

Please see the vial label for concentration. If unlisted please contact technical services.

Shipping

The product is shipped with polar packs. Upon receipt, store it immediately at the temperature recommended below.

Stability & Storage

Store at -20C. Avoid freeze-thaw cycles.

Background: Phosducin

The Phosducin gene encodes a phosphoprotein, which is located in the outer and inner segments of the rod cells in the retina. This protein may participate in the regulation of visual phototransduction or in the integration of photoreceptor metabolism. It modulates

Alternate Names

33 kDa phototransducing protein, 33kDA phototransducing protein, G beta gamma binding protein, PHD, PhLP, phosducin, phosducin-like orphan protein

Gene Symbol

PDC

Additional Phosducin Products

Product Documents for Phosducin Antibody - BSA Free

Certificate of Analysis

To download a Certificate of Analysis, please enter a lot number in the search box below.

Product Specific Notices for Phosducin Antibody - BSA Free

This product is for research use only and is not approved for use in humans or in clinical diagnosis. Primary Antibodies are guaranteed for 1 year from date of receipt.

Loading...
Loading...
Loading...
Loading...