Skip to main content

PHF23 Antibody - BSA Free

Novus Biologicals, part of Bio-Techne | Catalog # NBP1-28747

Novus Biologicals, part of Bio-Techne

Key Product Details

Validated by

Independent Antibodies

Species Reactivity

Validated:

Human

Predicted:

Bovine (100%). Backed by our 100% Guarantee.

Applications

Immunohistochemistry, Immunohistochemistry-Paraffin, Western Blot, Immunoprecipitation

Label

Unconjugated

Antibody Source

Polyclonal Rabbit IgG

Format

BSA Free

Concentration

1.0 mg/ml

Product Specifications

Immunogen

The immunogen recognized by this antibody maps to a region between residue 353 and 403 of human PHD finger protein 23 using the numbering given in entry NP_077273.2 (GeneID 79142).

Clonality

Polyclonal

Host

Rabbit

Isotype

IgG

Scientific Data Images for PHF23 Antibody - BSA Free

Western Blot: PHF23 Antibody [NBP1-28747]

Western Blot: PHF23 Antibody [NBP1-28747]

Western Blot: PHF23 Antibody [NBP1-28747] - Samples: Whole cell lysate (5, 15 and 50 ug for WB; 1 mg for IP, 20% of IP loaded) from HeLa cells. Antibodies: Affinity purified rabbit anti-PHF23 antibody NBP1-28747 used for WB at 0.1 ug/ml (A) and 0.4 ug/ml (B) and used for IP at 10 ug/mg lysate. PHF23 was also immunoprecipitated by rabbit anti-PHF23 antibody NBP1-28746, which recognizes an upstream epitope. Detection: Chemiluminescence with exposure times of 30 seconds (A and B).
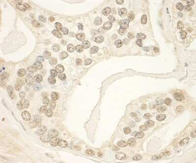
Immunohistochemistry: PHF23 Antibody [NBP1-28747]

Immunohistochemistry: PHF23 Antibody [NBP1-28747]

Immunohistochemistry: PHF23 Antibody [NBP1-28747] - Sample: FFPE section of human prostate carcinoma. Antibody: Affinity purified rabbit anti- PHF23 used at a dilution of 1:1,000 (1ug/ml). Detection: DAB.

Applications for PHF23 Antibody - BSA Free

Application
Recommended Usage

Immunohistochemistry

1:500 - 1:2,000

Immunohistochemistry-Paraffin

1:500 - 1:2,000

Immunoprecipitation

10 ug/mg lysate

Western Blot

1:2000-1:10000
Application Notes
Epitope retrieval with citrate buffer pH 6.0 is recommended for FFPE tissue sections.

Formulation, Preparation, and Storage

Purification

Immunogen affinity purified

Formulation

Tris-Citrate/Phosphate (pH 7.0 - 8.0)

Format

BSA Free

Preservative

0.09% Sodium Azide

Concentration

1.0 mg/ml

Shipping

The product is shipped with polar packs. Upon receipt, store it immediately at the temperature recommended below.

Stability & Storage

Store at 4C. Do not freeze.

Background: PHF23

PHD finger protein 23 (PHF23) contains 1 PHD (plant homeodomain)-type zinc finger and has been identified in acute myeloid leukemia as part of a fusion gene involving NUP98.

Alternate Names

FLJ16355, FLJ22884, hJUNE-1b, MGC2941, PDH-containing protein JUNE-1, PHD finger protein 23, PHD finger protein 23a

Entrez Gene IDs

79142 (Human)

Gene Symbol

PHF23

UniProt

Additional PHF23 Products

Product Documents for PHF23 Antibody - BSA Free

Certificate of Analysis

To download a Certificate of Analysis, please enter a lot number in the search box below.

Product Specific Notices for PHF23 Antibody - BSA Free

This product is for research use only and is not approved for use in humans or in clinical diagnosis. Primary Antibodies are guaranteed for 1 year from date of receipt.

Loading...
Loading...
Loading...
Loading...