Skip to main content

PFKFB4 Antibody (HL3254)

Novus Biologicals, part of Bio-Techne | Catalog # NBP3-48782

Recombinant Monoclonal Antibody
Novus Biologicals, part of Bio-Techne
Catalog #
Availability
Size / Price
Qty
Loading...
NBP3-48782

Key Product Details

Validated by

Orthogonal Validation

Species Reactivity

Human, Rat

Applications

Western Blot

Label

Unconjugated

Antibody Source

Recombinant Monoclonal Rabbit IgG Clone # HL3254

Concentration

Concentrations vary lot to lot. See vial label for concentration. If unlisted please contact technical services.

Product Specifications

Immunogen

Recombinant fragment of human PFKFB4.

Clonality

Monoclonal

Host

Rabbit

Isotype

IgG

Description

Novus Biologicals Rabbit PFKFB4 Antibody (HL3254) (NBP3-48782) is a recombinant monoclonal antibody validated for use in WB. All Novus Biologicals antibodies are covered by our 100% guarantee.

Scientific Data Images for PFKFB4 Antibody (HL3254)

PFKFB4 Antibody (HL3254)

Western Blot: PFKFB4 Antibody (HL3254) [NBP3-48782] -

Whole cell extract (30 ug) was separated by 10% SDS-PAGE, and the membrane was blotted with PFKFB4 antibody [HL3254] (NBP3-48782) diluted at 1:1000. The HRP-conjugated anti-rabbit IgG antibody was used to detect the primary antibody.
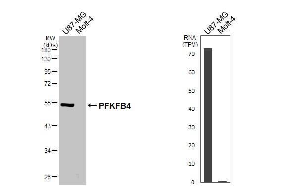
PFKFB4 Antibody (HL3254)

Western Blot: PFKFB4 Antibody (HL3254) [NBP3-48782] -

Various whole cell extracts (30 ug) were separated by 10% SDS-PAGE, and the membrane was blotted with PFKFB4 antibody [HL3254] (NBP3-48782) diluted at 1:1000. The HRP-conjugated anti-rabbit IgG antibody was used to detect the primary antibody. Corresponding RNA expression data for the same cell lines are based on Human Protein Atlas program.

Applications for PFKFB4 Antibody (HL3254)

Application
Recommended Usage

Western Blot

1:500-1:3000

Formulation, Preparation, and Storage

Purification

Protein A purified

Formulation

PBS

Preservative

No Preservative

Concentration

Concentrations vary lot to lot. See vial label for concentration. If unlisted please contact technical services.

Shipping

The product is shipped with polar packs. Upon receipt, store it immediately at the temperature recommended below.

Stability & Storage

Store at 4C short term. Aliquot and store at -20C long term. Avoid freeze-thaw cycles.

Background: PFKFB4

Synthesis and degradation of fructose 2,6-bisphosphate

Long Name

6-Phosphofructo-2-Kinase/ Fructose-2,6-Bisphosphatase 4

Alternate Names

6PF-2-K/Fru-2,6-P2ase 4, PFK/FBPase 4

Gene Symbol

PFKFB4

Additional PFKFB4 Products

Product Documents for PFKFB4 Antibody (HL3254)

Certificate of Analysis

To download a Certificate of Analysis, please enter a lot number in the search box below.

Product Specific Notices for PFKFB4 Antibody (HL3254)

This product is for research use only and is not approved for use in humans or in clinical diagnosis. Primary Antibodies are guaranteed for 1 year from date of receipt.

Loading...
Loading...
Loading...
Loading...