Skip to main content

Peroxiredoxin 5 Antibody (PSH03-90)

Novus Biologicals, part of Bio-Techne | Catalog # NBP3-32740

Recombinant Monoclonal Antibody
Novus Biologicals, part of Bio-Techne
Catalog #
Availability
Size / Price
Qty
Loading...
NBP3-32740

Key Product Details

Species Reactivity

Human, Mouse, Rat

Applications

Flow Cytometry, Immunocytochemistry/ Immunofluorescence, Immunohistochemistry, Immunohistochemistry-Paraffin, Immunoprecipitation, Western Blot

Label

Unconjugated

Antibody Source

Recombinant Monoclonal Rabbit IgG Clone # PSH03-90 expressed in HEK293

Concentration

1 mg/ml

Product Specifications

Immunogen

Recombinant protein within human Peroxiredoxin 5 aa 31-214 / 214. (Uniprot: P30044)

Localization

Mitochondrion; Cytoplasm, Peroxisome matrix.

Clonality

Monoclonal

Host

Rabbit

Isotype

IgG

Theoretical MW

22 kDa.
Disclaimer note: The observed molecular weight of the protein may vary from the listed predicted molecular weight due to post translational modifications, post translation cleavages, relative charges, and other experimental factors.

Description

Novus Biologicals Rabbit Peroxiredoxin 5 Antibody (PSH03-90) (NBP3-32740) is a recombinant monoclonal antibody validated for use in IHC, WB, Flow, ICC/IF and IP. All Novus Biologicals antibodies are covered by our 100% guarantee.

Scientific Data Images for Peroxiredoxin 5 Antibody (PSH03-90)

Peroxiredoxin 5 Antibody (PSH03-90)

Immunoprecipitation: Peroxiredoxin 5 Antibody (PSH03-90) [NBP3-32740]

Immunoprecipitation: Peroxiredoxin 5 Antibody (PSH03-90) [NBP3-32740] - Peroxiredoxin 5 was immunoprecipitated in 0.2mg HeLa cell lysate with NBP3-32740 at 2 ug/25 ul agarose. Western blot was performed from the immunoprecipitate using NBP3-32740 at 1/5,000 dilution. Anti-Rabbit IgG for IP Nano-secondary antibody at 1/5,000 dilution was used for 1 hour at room temperature.

Lane 1: HeLa cell lysate (input)
Lane 2: NBP3-32740 IP in HeLa cell lysate
Lane 3: Rabbit IgG instead of NBP3-32740 in HeLa cell lysate

Blocking/Dilution buffer: 5% NFDM/TBST
Exposure time: 43 seconds; ECL
Peroxiredoxin 5 Antibody (PSH03-90)

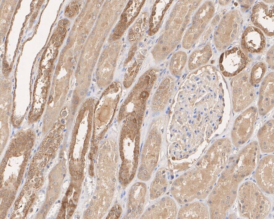
Immunohistochemistry: Peroxiredoxin 5 Antibody (PSH03-90) [NBP3-32740]

Immunohistochemistry: Peroxiredoxin 5 Antibody (PSH03-90) [NBP3-32740] - Immunohistochemical analysis of paraffin-embedded human kidney tissue with Rabbit anti-Peroxiredoxin 5 antibody (NBP3-32740) at 1/10,000 dilution.

The section was pre-treated using heat mediated antigen retrieval with sodium citrate buffer (pH 6.0) for 2 minutes. The tissues were blocked in 1% BSA for 20 minutes at room temperature, washed with ddH2O and PBS, and then probed with the primary antibody (NBP3-32740) at 1/10,000 dilution for 1 hour at room temperature. The detection was performed using an HRP conjugated compact polymer system. DAB was used as the chromogen. Tissues were counterstained with hematoxylin and mounted with DPX.
Peroxiredoxin 5 Antibody (PSH03-90)

Immunocytochemistry/ Immunofluorescence: Peroxiredoxin 5 Antibody (PSH03-90) [NBP3-32740]

Immunocytochemistry/ Immunofluorescence: Peroxiredoxin 5 Antibody (PSH03-90) [NBP3-32740] - Immunocytochemistry analysis of HeLa cells labeling Peroxiredoxin 5 with Rabbit anti-Peroxiredoxin 5 antibody (NBP3-32740) at 1/100 dilution.

Cells were fixed in 4% paraformaldehyde for 20 minutes at room temperature, permeabilized with 0.1% Triton X-100 in PBS for 5 minutes at room temperature, then blocked with 1% BSA in 10% negative goat serum for 1 hour at room temperature. Cells were then incubated with Rabbit anti-Peroxiredoxin 5 antibody (NBP3-32740) at 1/100 dilution in 1% BSA in PBST overnight at 4 ℃. Goat Anti-Rabbit IgG H&L (iFluor™ 488) was used as the secondary antibody at 1/1,000 dilution. PBS instead of the primary antibody was used as the secondary antibody only control. Nuclear DNA was labelled in blue with DAPI.

Beta tubulin (red) was stained at 1/100 dilution overnight at +4℃. Goat Anti-Mouse IgG H&L (iFluor™ 594) was used as the secondary antibody at 1/1,000 dilution.

Applications for Peroxiredoxin 5 Antibody (PSH03-90)

Application
Recommended Usage

Flow Cytometry

1:1000

Immunocytochemistry/ Immunofluorescence

1:100

Immunohistochemistry-Paraffin

1:10000

Immunoprecipitation

1-2ug/sample

Western Blot

1:20000-1:50000

Formulation, Preparation, and Storage

Purification

Protein A purified

Formulation

PBS (pH7.4), 0.1% BSA and 40% Glycerol

Preservative

0.05% Sodium Azide

Concentration

1 mg/ml

Shipping

The product is shipped with polar packs. Upon receipt, store it immediately at the temperature recommended below.

Stability & Storage

Store at 4C short term. Aliquot and store at -20C long term. Avoid freeze-thaw cycles.

Background: Peroxiredoxin 5

Peroxiredoxin 5 encodes a member of the peroxiredoxin family of antioxidant enzymes, which reduce hydrogen peroxide and alkyl hydroperoxides. The encoded protein may play an antioxidant protective role in different tissues under normal conditions and during inflammatory processes. This protein interacts with peroxisome receptor 1. The crystal structure of this protein in its reduced form has been resolved to 1.5 angstrom resolution. This gene uses alternate in-frame translation initiation sites to generate mitochondrial or peroxisomal/cytoplasmic forms. Three transcript variants encoding distinct isoforms have been identified for this gene.

Alternate Names

ACR1, AOEB166, AOPP, PMP20, PRDX5, PRXV

Gene Symbol

PRDX5

Additional Peroxiredoxin 5 Products

Product Documents for Peroxiredoxin 5 Antibody (PSH03-90)

Certificate of Analysis

To download a Certificate of Analysis, please enter a lot number in the search box below.

Product Specific Notices for Peroxiredoxin 5 Antibody (PSH03-90)

This product is for research use only and is not approved for use in humans or in clinical diagnosis. Primary Antibodies are guaranteed for 1 year from date of receipt.

Loading...
Loading...
Loading...
Loading...
Loading...