Skip to main content

PEBP4 Antibody - Azide and BSA Free

Novus Biologicals, part of Bio-Techne | Catalog # NBP2-94384

Novus Biologicals, part of Bio-Techne
Catalog #
Availability
Size / Price
Qty
Loading...
NBP2-94384-0.02ml
NBP2-94384-0.1ml

Key Product Details

Species Reactivity

Human, Mouse, Rat

Applications

Immunohistochemistry, Immunohistochemistry-Paraffin, Western Blot, ELISA, Immunocytochemistry/ Immunofluorescence

Label

Unconjugated

Antibody Source

Polyclonal Rabbit IgG

Format

Azide and BSA Free

Concentration

Please see the vial label for concentration. If unlisted please contact technical services.

Product Specifications

Immunogen

Recombinant fusion protein containing a sequence corresponding to amino acids 90-242 of mouse PEBP4 (NP_082836.2). RQKITAWQAPIVKFHTALDGALYLLVMVDPDAPSRSNPVMKYWRHWLVSNITGADMKSGSIRGNVLSDYSPPTPPPETGLHRYQFFVYLQGDRDISLSVEEKADLGGWNLDKFLQQYGLRDPDTSTQFMTQFDEELSSEFGRINDDQEQFNQK

Clonality

Polyclonal

Host

Rabbit

Isotype

IgG

Theoretical MW

27 kDa.
Disclaimer note: The observed molecular weight of the protein may vary from the listed predicted molecular weight due to post translational modifications, post translation cleavages, relative charges, and other experimental factors.

Description

Novus Biologicals Rabbit PEBP4 Antibody - Azide and BSA Free (NBP2-94384) is a polyclonal antibody validated for use in IHC, WB, ELISA and ICC/IF. All Novus Biologicals antibodies are covered by our 100% guarantee.

Scientific Data Images for PEBP4 Antibody - Azide and BSA Free

Western Blot: PEBP4 AntibodyAzide and BSA Free [NBP2-94384]

Western Blot: PEBP4 AntibodyAzide and BSA Free [NBP2-94384]

Western Blot: PEBP4 Antibody [NBP2-94384] - Western blot analysis of extracts of various cell lines, using PEBP4 antibody at 1:1000 dilution. Secondary antibody: HRP Goat Anti-Rabbit IgG (H+L) at 1:10000 dilution. Lysates/proteins: 25ug per lane. Blocking buffer: 3% nonfat dry milk in TBST.Detection: ECL Basic Kit. Exposure time: 3min.
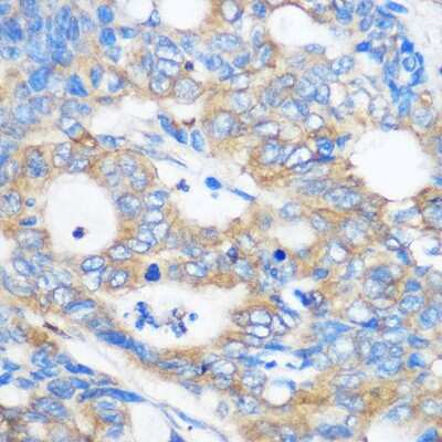
Immunohistochemistry-Paraffin: PEBP4 Antibody - Azide and BSA Free [NBP2-94384]

Immunohistochemistry-Paraffin: PEBP4 Antibody - Azide and BSA Free [NBP2-94384]

Immunohistochemistry-Paraffin: PEBP4 Antibody [NBP2-94384] - Immunohistochemistry of paraffin-embedded Human colon carcinoma using PEBP4 Rabbit pAb (NBP2-94384) at dilution of 1:100 (40x lens). Perform microwave antigen retrieval with 10 mM PBS buffer pH 7.2 before commencing with IHC staining protocol.
Immunohistochemistry-Paraffin: PEBP4 Antibody - Azide and BSA Free [NBP2-94384]

Immunohistochemistry-Paraffin: PEBP4 Antibody - Azide and BSA Free [NBP2-94384]

Immunohistochemistry-Paraffin: PEBP4 Antibody [NBP2-94384] - Immunohistochemistry of paraffin-embedded Mouse kidney using PEBP4 antibody at dilution of 1:100 (40x lens).

Applications for PEBP4 Antibody - Azide and BSA Free

Application
Recommended Usage

Immunocytochemistry/ Immunofluorescence

1:50 - 1:200

Immunohistochemistry

1:50-1:200

Western Blot

1:500-1:2000

Formulation, Preparation, and Storage

Purification

Affinity purified

Formulation

PBS (pH 7.3), 50% glycerol

Format

Azide and BSA Free

Preservative

0.01% Thimerosal

Concentration

Please see the vial label for concentration. If unlisted please contact technical services.

Shipping

The product is shipped with polar packs. Upon receipt, store it immediately at the temperature recommended below.

Stability & Storage

Store at -20C. Avoid freeze-thaw cycles.

Background: PEBP4

The phosphatidylethanolamine (PE)-binding proteins, including PEBP4, are an evolutionarily conserved family of proteins with pivotal biologic functions, such as lipid binding and inhibition of serine proteases (Wang et al., 2004 [PubMed 15302887]).[supplied by OMIM]

Alternate Names

CORK-1, CORK1GWTM1933, cousin-of-RKIP 1 protein, hPEBP4PRO4408, MGC22776, PEBP-4, PEPB4, phosphatidylethanolamine-binding protein 4, Protein cousin-of-RKIP 1

Gene Symbol

PEBP4

Additional PEBP4 Products

Product Documents for PEBP4 Antibody - Azide and BSA Free

Certificate of Analysis

To download a Certificate of Analysis, please enter a lot number in the search box below.

Product Specific Notices for PEBP4 Antibody - Azide and BSA Free

This product is for research use only and is not approved for use in humans or in clinical diagnosis. Primary Antibodies are guaranteed for 1 year from date of receipt.

Loading...
Loading...
Loading...
Loading...

⚠ WARNING: This product can expose you to chemicals including Methotrexate, which is known to the State of California to cause reproductive toxicity with developmental effects. For more information, go to www.P65Warnings.ca.gov