Skip to main content

PDLIM1 Antibody - BSA Free

Novus Biologicals, part of Bio-Techne | Catalog # NBP1-84443

Novus Biologicals, part of Bio-Techne
Catalog #
Availability
Size / Price
Qty
Loading...
NBP1-84443

Key Product Details

Species Reactivity

Validated:

Human

Predicted:

Mouse (94%), Rat (94%). Backed by our 100% Guarantee.

Applications

Immunohistochemistry, Immunohistochemistry-Paraffin, Western Blot

Label

Unconjugated

Antibody Source

Polyclonal Rabbit IgG

Format

BSA Free

Concentration

Concentrations vary lot to lot. See vial label for concentration. If unlisted please contact technical services.

Product Specifications

Immunogen

This antibody was developed against Recombinant Protein corresponding to amino acids: EKQELNEPPKQSTSFLVLQEILESEEKGDPNKPSGFRSVKAPVTKVAASIGNAQKLPMCDKCGTGIVGVFVKLRDRHRHPECYVCTDCGTNLKQKGHFFVEDQIYCEKHARERVTPPEGYEVVTV

Clonality

Polyclonal

Host

Rabbit

Isotype

IgG

Description

Novus Biologicals Rabbit PDLIM1 Antibody - BSA Free (NBP1-84443) is a polyclonal antibody validated for use in IHC and WB. All Novus Biologicals antibodies are covered by our 100% guarantee.

Scientific Data Images for PDLIM1 Antibody - BSA Free

Western Blot: PDLIM1 Antibody [NBP1-84443]

Western Blot: PDLIM1 Antibody [NBP1-84443]

Western Blot: PDLIM1 Antibody [NBP1-84443] - Analysis in human cell line CACO-2 and human cell line U-251 MG.
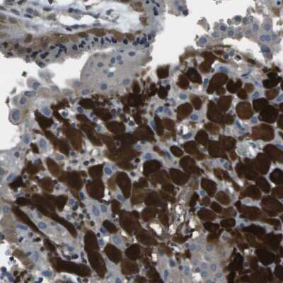
Immunohistochemistry-Paraffin: PDLIM1 Antibody [NBP1-84443]

Immunohistochemistry-Paraffin: PDLIM1 Antibody [NBP1-84443]

Immunohistochemistry-Paraffin: PDLIM1 Antibody [NBP1-84443] - Staining of human Placenta shows strong cytoplasmic positivity in decidual cells.
Immunohistochemistry-Paraffin: PDLIM1 Antibody [NBP1-84443]

Immunohistochemistry-Paraffin: PDLIM1 Antibody [NBP1-84443]

Immunohistochemistry-Paraffin: PDLIM1 Antibody [NBP1-84443] - Staining of human Heart muscle shows moderate cytoplasmic positivity in cardiomyocytes.

Applications for PDLIM1 Antibody - BSA Free

Application
Recommended Usage

Immunohistochemistry

1:20 - 1:50

Immunohistochemistry-Paraffin

1:20 - 1:50

Western Blot

0.04-0.4 ug/ml
Application Notes
For IHC-Paraffin, HIER pH 6 retrieval is recommended.

Formulation, Preparation, and Storage

Purification

Immunogen affinity purified

Formulation

PBS (pH 7.2) and 40% Glycerol

Format

BSA Free

Preservative

0.02% Sodium Azide

Concentration

Concentrations vary lot to lot. See vial label for concentration. If unlisted please contact technical services.

Shipping

The product is shipped with polar packs. Upon receipt, store it immediately at the temperature recommended below.

Stability & Storage

Store at 4C short term. Aliquot and store at -20C long term. Avoid freeze-thaw cycles.

Background: PDLIM1

CLP36 is a PDZ-domain and LIM-domain containing protein that associates with actin filaments and stress fibers via alpha-actinin. CLP36 has been show to be critical to stress fiber formation and focal adhesions. Alternative names for CLP36 include Elfin, C-terminal LIM domain protein 1, PDZ and LIM domain protein 1, CLIM1, and PDLIM1.

Alternate Names

CLIM1carboxyl terminal LIM domain protein 1, CLP-36, CLP36carboxy terminal LIM domain protein 1, C-terminal LIM domain protein 1, elfin, enigma, hCLIM1, LIM domain protein CLP-36, PDZ and LIM domain 1, PDZ and LIM domain 1 (elfin), PDZ and LIM domain protein 1

Gene Symbol

PDLIM1

Additional PDLIM1 Products

Product Documents for PDLIM1 Antibody - BSA Free

Certificate of Analysis

To download a Certificate of Analysis, please enter a lot number in the search box below.

Product Specific Notices for PDLIM1 Antibody - BSA Free

This product is for research use only and is not approved for use in humans or in clinical diagnosis. Primary Antibodies are guaranteed for 1 year from date of receipt.

Loading...
Loading...
Loading...
Loading...