Skip to main content

PDLIM1 Antibody

Novus Biologicals, part of Bio-Techne | Catalog # NBP1-51917

Novus Biologicals, part of Bio-Techne
Catalog #
Availability
Size / Price
Qty
Loading...
NBP1-51917

Key Product Details

Species Reactivity

Human

Applications

Immunohistochemistry, Immunohistochemistry-Paraffin, Western Blot, Peptide ELISA

Label

Unconjugated

Antibody Source

Polyclonal Goat IgG

Concentration

0.5 mg/ml

Product Specifications

Immunogen

Peptide with sequence C-TPPEGYEVVTVFPK corresponding to C-Terminus according to NP_066272.1.

Epitope

C-TPPEGYEVVTVFPK

Clonality

Polyclonal

Host

Goat

Isotype

IgG

Scientific Data Images for PDLIM1 Antibody

Western Blot: PDLIM1 Antibody [NBP1-51917]

Western Blot: PDLIM1 Antibody [NBP1-51917]

Western Blot: PDLIM1 Antibody [NBP1-51917] - (0.1ug/ml) of Human Lung lysate (RIPA buffer, 35ug total protein per lane). Primary incubated for 1 hour. Detected by chemiluminescence.
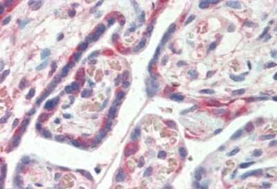
Immunohistochemistry-Paraffin: PDLIM1 Antibody [NBP1-51917]

Immunohistochemistry-Paraffin: PDLIM1 Antibody [NBP1-51917]

Immunohistochemistry-Paraffin: PDLIM1 Antibody [NBP1-51917] - (5ug/ml) staining of paraffin embedded Human Placenta. Steamed antigen retrieval with citrate buffer pH 6, AP-staining.

Applications for PDLIM1 Antibody

Application
Recommended Usage

Peptide ELISA

Detection limit 1:64000

Western Blot

1:1000
Application Notes
WB: Approx. 37 kDa band observed in human lung and heart lysates (calculated MW of 36.1 kDa band according to NP_066272.1).

Formulation, Preparation, and Storage

Purification

Immunogen affinity purified

Formulation

Tris saline (20 mM Tris pH 7.3, 150 mM NaCl), 0.5% BSA

Preservative

0.02% Sodium Azide

Concentration

0.5 mg/ml

Shipping

The product is shipped with polar packs. Upon receipt, store it immediately at the temperature recommended below.

Stability & Storage

Store at -20C. Avoid freeze-thaw cycles.

Background: PDLIM1

PDLIM1 is a cytoskeletal protein that may act as an adapter that brings other proteins to the cytoskeleton. PDLIM1 is strongly expressed in the heart and skeletal muscle, moderately expressed in the spleen, small intestine, colon, placenta, and lung, and minimally expressed in liver, thymus, kidney, prostate and pancreas. It is not found in the brain, testis, ovary, and peripheral blood leukocytes

Alternate Names

CLIM1carboxyl terminal LIM domain protein 1, CLP-36, CLP36carboxy terminal LIM domain protein 1, C-terminal LIM domain protein 1, elfin, enigma, hCLIM1, LIM domain protein CLP-36, PDZ and LIM domain 1, PDZ and LIM domain 1 (elfin), PDZ and LIM domain protein 1

Entrez Gene IDs

9124 (Human)

Gene Symbol

PDLIM1

Additional PDLIM1 Products

Product Documents for PDLIM1 Antibody

Certificate of Analysis

To download a Certificate of Analysis, please enter a lot number in the search box below.

Product Specific Notices for PDLIM1 Antibody

This product is for research use only and is not approved for use in humans or in clinical diagnosis. Primary Antibodies are guaranteed for 1 year from date of receipt.

Loading...
Loading...
Loading...
Loading...