Skip to main content

PDCD4 Antibody (3A8V10)

Novus Biologicals, part of Bio-Techne | Catalog # NBP3-16744

Recombinant Monoclonal Antibody
Novus Biologicals, part of Bio-Techne
Catalog #
Availability
Size / Price
Qty
Loading...
NBP3-16744-100ul
NBP3-16744-20ul

Key Product Details

Species Reactivity

Human, Mouse, Rat

Applications

Immunohistochemistry, Immunohistochemistry-Paraffin, Western Blot

Label

Unconjugated

Antibody Source

Recombinant Monoclonal Rabbit IgG Clone # 3A8V10 expressed in HEK293

Concentration

Please see the vial label for concentration. If unlisted please contact technical services.

Product Specifications

Immunogen

A synthetic peptide corresponding to a sequence within amino acids 370-469 of human PDCD4 (Q53EL6). MVLESTGESTFKMILDLLKSLWKSSTITVDQMKRGYERIYNEIPDINLDVPHSYSVLERFVEECFQAGIISKQLRDLCPSRGRKRFVSEGDGGRLKPESY

Clonality

Monoclonal

Host

Rabbit

Isotype

IgG

Description

Novus Biologicals Rabbit PDCD4 Antibody (3A8V10) (NBP3-16744) is a recombinant monoclonal antibody validated for use in IHC and WB. All Novus Biologicals antibodies are covered by our 100% guarantee.

Scientific Data Images for PDCD4 Antibody (3A8V10)

Western Blot: PDCD4 Antibody (3A8V10) [NBP3-16744]

Western Blot: PDCD4 Antibody (3A8V10) [NBP3-16744]

Western Blot: PDCD4 Antibody (3A8V10) [NBP3-16744] - Western blot analysis of extracts of various cell lines, using PDCD4 Rabbit mAb (NBP3-16744) at 1:1000 dilution. Secondary antibody: HRP Goat Anti-Rabbit IgG (H+L) at 1:10000 dilution. Lysates/proteins: 25ug per lane. Blocking buffer: 3% nonfat dry milk in TBST. Detection: ECL Basic Kit. Exposure time: 1min.
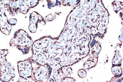
Immunohistochemistry-Paraffin: PDCD4 Antibody (3A8V10) [NBP3-16744]

Immunohistochemistry-Paraffin: PDCD4 Antibody (3A8V10) [NBP3-16744]

Immunohistochemistry-Paraffin: PDCD4 Antibody (3A8V10) [NBP3-16744] - Immunohistochemistry of paraffin-embedded human placenta using PDCD4 Rabbit mAb (NBP3-16744) at dilution of 1:100 (40x lens).Perform microwave antigen retrieval with 10 mM Tris/EDTA buffer pH 9.0 before commencing with IHC staining protocol.
Immunohistochemistry-Paraffin: PDCD4 Antibody (3A8V10) [NBP3-16744]

Immunohistochemistry-Paraffin: PDCD4 Antibody (3A8V10) [NBP3-16744]

Immunohistochemistry-Paraffin: PDCD4 Antibody (3A8V10) [NBP3-16744] - Immunohistochemistry of paraffin-embedded rat lung using PDCD4 Rabbit mAb (NBP3-16744) at dilution of 1:100 (40x lens).Perform microwave antigen retrieval with 10 mM Tris/EDTA buffer pH 9.0 before commencing with IHC staining protocol.

Applications for PDCD4 Antibody (3A8V10)

Application
Recommended Usage

Immunohistochemistry

1:50 - 1:200

Western Blot

1:500 - 1:1000

Formulation, Preparation, and Storage

Purification

Affinity purified

Formulation

PBS (pH 7.3), 50% glycerol, 0.05% BSA

Preservative

0.02% Sodium Azide

Concentration

Please see the vial label for concentration. If unlisted please contact technical services.

Shipping

The product is shipped with polar packs. Upon receipt, store it immediately at the temperature recommended below.

Stability & Storage

Store at -20C. Avoid freeze-thaw cycles.

Background: PDCD4

Programmed cell death 4 (Pdcd4) is a novel tumor suppressor. Pdcd4 directly inhibits the helicase activity of eukaryotic translation initiation factor 4A (eIF4A), a component of the translation initiation complex. Pdcd4 also suppresses the transactivation of activator protein-1 (AP-1)-responsive promoters by c-Jun. Pdcd4 contains two Akt phosphorylation sites, one at Ser67 and the other at Ser457. The phosphorylation of Pdcd4 by Akt causes nuclear translocation of Pdcd4 and a significant decrease in the ability of Pdcd4 to interfere with the transactivation of AP-1 responsive promoters by c-Jun.

Long Name

Programmed Cell Death 4

Alternate Names

H731, Protein 197/15a

Gene Symbol

PDCD4

Additional PDCD4 Products

Product Documents for PDCD4 Antibody (3A8V10)

Certificate of Analysis

To download a Certificate of Analysis, please enter a lot number in the search box below.

Product Specific Notices for PDCD4 Antibody (3A8V10)

This product is for research use only and is not approved for use in humans or in clinical diagnosis. Primary Antibodies are guaranteed for 1 year from date of receipt.

Loading...
Loading...
Loading...
Loading...