Skip to main content

Parvalbumin Antibody - BSA Free

Novus Biologicals, part of Bio-Techne | Catalog # NB120-11427

Novus Biologicals, part of Bio-Techne

Key Product Details

Species Reactivity

Validated:

Human, Mouse, Rat, Feline

Cited:

Human, Mouse, Rat, Feline, Primate, Primate - Callithrix jacchus (Common Marmoset)

Applications

Validated:

Immunohistochemistry, Immunohistochemistry-Paraffin, Immunohistochemistry-Frozen, Immunohistochemistry Free-Floating, Western Blot, ELISA, Immunocytochemistry/ Immunofluorescence, Immunoprecipitation

Cited:

Immunohistochemistry, Immunohistochemistry-Frozen, Immunohistochemistry Free-Floating, Western Blot, Flow Cytometry, Immunocytochemistry, Immunocytochemistry/ Immunofluorescence, IF/IHC

Label

Unconjugated

Antibody Source

Polyclonal Rabbit IgG

Format

BSA Free

Concentration

1.0 mg/ml

Product Specifications

Immunogen

Parvalbumin Antibody made from purified parvalbumin

Reactivity Notes

Use in Feline reported in scientific literature (PMID:10.1016/j.celrep.2021.109083). Mouse reactivity reported in scientific literature (PMID: 24065886). Mouse reactivity reported in scientific literature (PMID:33053349).

Localization

Cytoplasmic and Nuclear

Clonality

Polyclonal

Host

Rabbit

Isotype

IgG

Scientific Data Images for Parvalbumin Antibody - BSA Free

Western Blot: Parvalbumin AntibodyBSA Free [NB120-11427]

Western Blot: Parvalbumin AntibodyBSA Free [NB120-11427]

Western Blot: Parvalbumin Antibody [NB120-11427] - WB analysis of rat cerebellum extract.
Immunocytochemistry/ Immunofluorescence: Parvalbumin Antibody - BSA Free [NB120-11427]

Immunocytochemistry/ Immunofluorescence: Parvalbumin Antibody - BSA Free [NB120-11427]

Immunocytochemistry/Immunofluorescence: Parvalbumin Antibody [NB120-11427] - Analysis of Parvalbumin using anti-Parvalbumin polyclonal antibody shows staining in U251 Cells. Parvalbumin staining (green), F-Actin staining with Phalloidin (red) and nuclei with DAPI (blue) is shown. Cells were grown on chamber slides and fixed with formaldehyde prior to staining. Cells were probed without (control) or with or an antibody recognizing Parvalbumin at a dilution of 1:200 overnight at 4C, washed with PBS and incubated with a DyLight-488 conjugated.
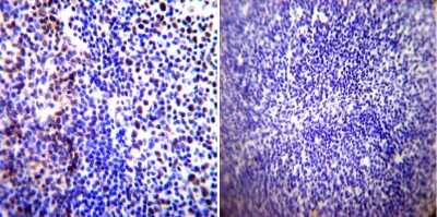
Immunohistochemistry-Paraffin: Parvalbumin Antibody - BSA Free [NB120-11427]

Immunohistochemistry-Paraffin: Parvalbumin Antibody - BSA Free [NB120-11427]

Parvalbumin-Antibody-Immunohistochemistry-Paraffin-NB120-11427-img0009.jpg

Applications for Parvalbumin Antibody - BSA Free

Application
Recommended Usage

ELISA

1:100 - 1:2000

Immunocytochemistry/ Immunofluorescence

1:100 - 1:200

Immunohistochemistry

1:10 - 1:500

Immunohistochemistry Free-Floating

reported in scientific literature (PMID 33515957)

Immunohistochemistry-Frozen

1:10 - 1:500

Immunohistochemistry-Paraffin

1 ug/ml

Immunoprecipitation

5 ug/ml

Western Blot

0.1 ug/ml

Formulation, Preparation, and Storage

Purification

Immunogen affinity purified

Formulation

PBS

Format

BSA Free

Preservative

0.02% Sodium Azide

Concentration

1.0 mg/ml

Shipping

The product is shipped with polar packs. Upon receipt, store it immediately at the temperature recommended below.

Stability & Storage

Store at 4C short term. Aliquot and store at -20C long term. Avoid freeze-thaw cycles.

Background: Parvalbumin

Parvalbumin (PV) is a calcium binding protein expressed in specific muscle fibers and fast-firing neurons. PV consists of a single, unbranched chain of linked amino acids and belongs to a larger group of EF hand proteins. Studies have demonstrated that parvalbumin acts in the decay of calcium in the contraction/ relaxation cycle of fast twitch muscles. This data has shown a positive correlation between the rate of relaxation and the concentration of parvalbumin. Parvalbumin is also expressed in a specific population of GABAergic interneurones which are thought to play a role in maintaining the balance between excitation and inhibition in the cortex as well as the hippocampus. In amyotrophic lateral sclerosis (ALS) patents, parvalbumin immunoreactivity is specifically absent from neuron populations lost early in ALS.

Alternate Names

D22S749, MGC116759, parvalbumin, parvalbumin alpha, PV

Entrez Gene IDs

5816 (Human); 25269 (Rat)

Gene Symbol

PVALB

UniProt

Additional Parvalbumin Products

Product Documents for Parvalbumin Antibody - BSA Free

Certificate of Analysis

To download a Certificate of Analysis, please enter a lot number in the search box below.

Product Specific Notices for Parvalbumin Antibody - BSA Free

This product is for research use only and is not approved for use in humans or in clinical diagnosis. Primary Antibodies are guaranteed for 1 year from date of receipt.

Loading...
Loading...
Loading...
Loading...
Loading...