Skip to main content

Parvalbumin Antibody (CL15072) - Azide and BSA Free

Novus Biologicals, part of Bio-Techne | Catalog # NBP3-44165

Novus Biologicals, part of Bio-Techne

Key Product Details

Validated by

Orthogonal Validation

Species Reactivity

Human, Mouse, Rat

Applications

Immunohistochemistry-Paraffin, Western Blot

Label

Unconjugated

Antibody Source

Monoclonal Mouse IgG1 Clone # CL15072

Format

Azide and BSA Free

Concentration

LYOPH mg/ml

Product Specifications

Immunogen

This antibody was generated using a recombinant protein sequence of P20472, with the exact immunogen sequence remaining proprietary.

Clonality

Monoclonal

Host

Mouse

Isotype

IgG1

Description

Novus Biologicals Mouse Parvalbumin Antibody (CL15072) - Azide and BSA Free (NBP3-43650) is a monoclonal antibody validated for use in IHC and WB. All Novus Biologicals antibodies are covered by our 100% guarantee.

Scientific Data Images for Parvalbumin Antibody (CL15072) - Azide and BSA Free

Parvalbumin Antibody (CL15072) - Azide and BSA Free Immunohistochemistry-Paraffin: Parvalbumin Antibody [NBP3-44165]

Immunohistochemistry-Paraffin: Parvalbumin Antibody [NBP3-44165]

Analysis in human kidney and skeletal muscle tissues using NBP3-44165 antibody. Corresponding Parvalbumin RNA-seq data are presented for the same tissues.
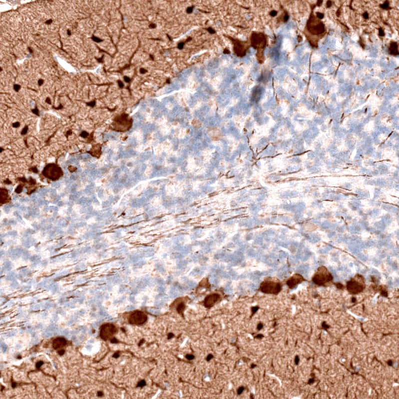
Parvalbumin Antibody (CL15072) - Azide and BSA Free Immunohistochemistry-Paraffin: Parvalbumin Antibody [NBP3-44165]

Immunohistochemistry-Paraffin: Parvalbumin Antibody [NBP3-44165]

Staining of human cerebellum shows strong cytoplasmic positivity in Purkinje cells.
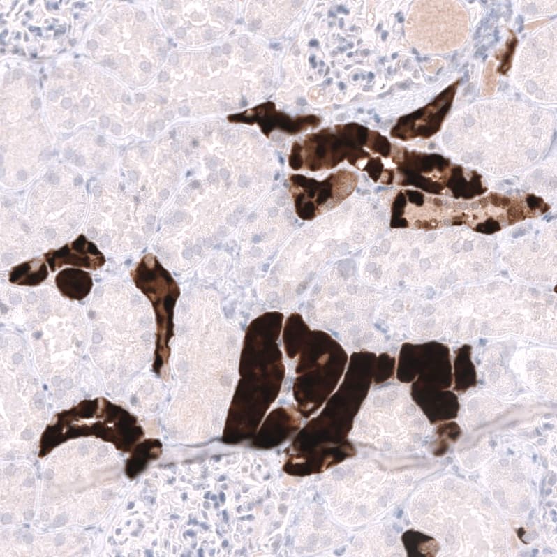
Parvalbumin Antibody (CL15072) - Azide and BSA Free Immunohistochemistry-Paraffin: Parvalbumin Antibody [NBP3-44165]

Immunohistochemistry-Paraffin: Parvalbumin Antibody [NBP3-44165]

Staining of human kidney shows strong cytoplasmic positivity in cells in tubules.

Applications for Parvalbumin Antibody (CL15072) - Azide and BSA Free

Application
Recommended Usage

Immunohistochemistry-Paraffin

1:10000-1:20000

Western Blot

1 ug/ml
Application Notes
For IHC-Paraffin, HIER pH 6 retrieval is recommended.

Formulation, Preparation, and Storage

Purification

Protein A purified

Reconstitution

Centrifuge the vial of lyophilized antibody at 12,000 x g for 20 seconds. Reconstitute by adding sterile, distilled water to achieve a final antibody concentration of 1mg/ml.

Formulation

Lyophilized from a 0.2 um filtered solution in PBS with Trehalose

Format

Azide and BSA Free

Preservative

No Preservative

Concentration

LYOPH mg/ml

Shipping

The product is shipped at ambient temperature. Upon receipt, store it immediately at the temperature recommended below.

Stability & Storage

Store at 4C short term. Aliquot and store at -20C long term. Avoid freeze-thaw cycles.

Background: Parvalbumin

Parvalbumin is encoded by this gene is a high affinity calcium ion-binding protein that is structurally and functionally similar to calmodulin and troponin C. The encoded protein is thought to be involved in muscle relaxation.

Alternate Names

D22S749, MGC116759, parvalbumin, parvalbumin alpha, PV

Gene Symbol

PVALB

Additional Parvalbumin Products

Product Documents for Parvalbumin Antibody (CL15072) - Azide and BSA Free

Certificate of Analysis

To download a Certificate of Analysis, please enter a lot number in the search box below.

Product Specific Notices for Parvalbumin Antibody (CL15072) - Azide and BSA Free

This product is for research use only and is not approved for use in humans or in clinical diagnosis. Primary Antibodies are guaranteed for 1 year from date of receipt.

Loading...
Loading...
Loading...
Loading...
Loading...
Loading...