Skip to main content

PARP2 Antibody - BSA Free

Novus Biologicals, part of Bio-Techne | Catalog # NBP2-47337

Novus Biologicals, part of Bio-Techne
Catalog #
Availability
Size / Price
Qty
Loading...
NBP2-47337-25ul
NBP2-47337

Key Product Details

Validated by

Orthogonal Validation

Species Reactivity

Human

Applications

Immunohistochemistry, Immunohistochemistry-Paraffin, Western Blot, Immunocytochemistry/ Immunofluorescence

Label

Unconjugated

Antibody Source

Polyclonal Rabbit IgG

Format

BSA Free

Concentration

Concentrations vary lot to lot. See vial label for concentration. If unlisted please contact technical services.

Product Specifications

Immunogen

This antibody was developed against a recombinant protein corresponding to amino acids: ARALNESKRVNNGNTAPEDSSPAKKTRRCQRQESKKMPVAGGKANKDRTEDKQDESVKALLLKGKAPVDPECTAKVGKAHVYCEGNDVYDVMLNQTNLQFNNNKYYLIQLLEDDAQRNFSVWM

Clonality

Polyclonal

Host

Rabbit

Isotype

IgG

Description

Novus Biologicals Rabbit PARP2 Antibody - BSA Free (NBP2-47337) is a polyclonal antibody validated for use in IHC, WB and ICC/IF. Anti-PARP2 Antibody: Cited in 2 publications. All Novus Biologicals antibodies are covered by our 100% guarantee.

Scientific Data Images for PARP2 Antibody - BSA Free

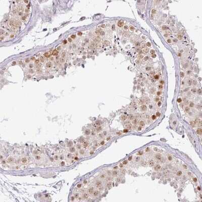
Immunohistochemistry-Paraffin: PARP2 Antibody [NBP2-47337]

Immunohistochemistry-Paraffin: PARP2 Antibody [NBP2-47337]

Immunohistochemistry-Paraffin: PARP2 Antibody [NBP2-47337] - Staining in human testis and pancreas tissues using NBP2-47337 antibody. Corresponding PARP2 RNA-seq data are presented for the same tissues.
Western Blot: PARP2 Antibody [NBP2-47337]

Western Blot: PARP2 Antibody [NBP2-47337]

Western Blot: PARP2 Antibody [NBP2-47337] - Analysis in human cell line U-2 OS and human cell line SK-MEL-30.
Immunocytochemistry/ Immunofluorescence: PARP2 Antibody [NBP2-47337]

Immunocytochemistry/ Immunofluorescence: PARP2 Antibody [NBP2-47337]

Immunocytochemistry/Immunofluorescence: PARP2 Antibody [NBP2-47337] - Staining of human cell line MCF7 shows localization to nucleus. Antibody staining is shown in green.

Applications for PARP2 Antibody - BSA Free

Application
Recommended Usage

Immunocytochemistry/ Immunofluorescence

0.25-2 ug/ml

Immunohistochemistry

1:200 - 1:500

Immunohistochemistry-Paraffin

1:200 - 1:500

Western Blot

0.04 - 0.4 ug/ml
Application Notes
For IHC-Paraffin, HIER pH 6 retrieval is recommended. ICC/IF Fixation Permeabilization: Use PFA/Triton X-100.

Formulation, Preparation, and Storage

Purification

Immunogen affinity purified

Formulation

PBS (pH 7.2) and 40% Glycerol

Format

BSA Free

Preservative

0.02% Sodium Azide

Concentration

Concentrations vary lot to lot. See vial label for concentration. If unlisted please contact technical services.

Shipping

The product is shipped with polar packs. Upon receipt, store it immediately at the temperature recommended below.

Stability & Storage

Store at 4C short term. Aliquot and store at -20C long term. Avoid freeze-thaw cycles.

Background: PARP2

PARP2 encodes poly(ADP-ribosyl)transferase-like 2 protein, which contains a catalytic domain and is capable of catalyzing a poly(ADP-ribosyl)ation reaction. This protein has a catalytic domain which is homologous to that of poly (ADP-ribosyl) transferase, but lacks an N-terminal DNA binding domain which activates the C-terminal catalytic domain of poly (ADP-ribosyl) transferase. The basic residues within the N-terminal region of this protein may bear potential DNA-binding properties, and may be involved in the nuclear and/or nucleolar targeting of the protein. Two alternatively spliced transcript variants encoding distinct isoforms have been found.

Long Name

Poly [ADP-ribose] polymerase 2

Alternate Names

ADPRT-2, ADPRT2, ADPRTL2, ARTD2, EC 2.4.2.30, hPARP-2, pADPRT-2, PARP-2

Gene Symbol

PARP2

Additional PARP2 Products

Product Documents for PARP2 Antibody - BSA Free

Certificate of Analysis

To download a Certificate of Analysis, please enter a lot number in the search box below.

Product Specific Notices for PARP2 Antibody - BSA Free

This product is for research use only and is not approved for use in humans or in clinical diagnosis. Primary Antibodies are guaranteed for 1 year from date of receipt.

Loading...
Loading...
Loading...
Loading...