Skip to main content

PAQR9 Antibody - BSA Free

Novus Biologicals, part of Bio-Techne | Catalog # NBP2-30402

Novus Biologicals, part of Bio-Techne
Catalog #
Availability
Size / Price
Qty
Loading...
NBP2-30402-25ul
NBP2-30402

Key Product Details

Species Reactivity

Validated:

Human

Cited:

Rat

Predicted:

Mouse (100%), Rat (100%). Backed by our 100% Guarantee.

Applications

Validated:

Immunohistochemistry, Immunohistochemistry-Paraffin

Cited:

Immunohistochemistry-Paraffin

Label

Unconjugated

Antibody Source

Polyclonal Rabbit IgG

Format

BSA Free

Concentration

Concentrations vary lot to lot. See vial label for concentration. If unlisted please contact technical services.

Product Specifications

Immunogen

This antibody was developed against a recombinant protein corresponding to amino acids: IMLESWLFDLRGENPTLFVHF

Clonality

Polyclonal

Host

Rabbit

Isotype

IgG

Scientific Data Images for PAQR9 Antibody - BSA Free

Immunohistochemistry-Paraffin: PAQR9 Antibody [NBP2-30402]

Immunohistochemistry-Paraffin: PAQR9 Antibody [NBP2-30402]

Immunohistochemistry-Paraffin: PAQR9 Antibody [NBP2-30402] - Staining of human testis shows strong cytoplasmic positivity in Leydig cells, as well as moderate immunoreactivity in a subset of cells in seminiferous tubules.
Immunohistochemistry-Paraffin: PAQR9 Antibody [NBP2-30402]

Immunohistochemistry-Paraffin: PAQR9 Antibody [NBP2-30402]

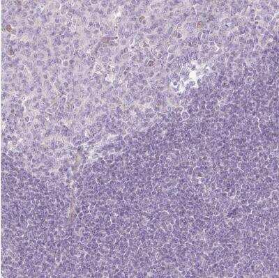
Immunohistochemistry-Paraffin: PAQR9 Antibody [NBP2-30402] - Staining of human tonsil shows no cytoplasmic positivity in lymphoid cells as expected.
Immunohistochemistry-Paraffin: PAQR9 Antibody [NBP2-30402]

Immunohistochemistry-Paraffin: PAQR9 Antibody [NBP2-30402]

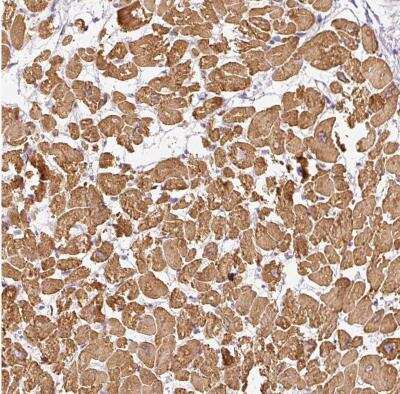
Immunohistochemistry-Paraffin: PAQR9 Antibody [NBP2-30402] - Staining of human heart shows moderate cytoplasmic positivity in cardiomyocytes.

Applications for PAQR9 Antibody - BSA Free

Application
Recommended Usage

Immunohistochemistry

1:20 - 1:50

Immunohistochemistry-Paraffin

1:20 - 1:50
Application Notes
IHC-Paraffin, HIER pH 6 retrieval is recommended.

Formulation, Preparation, and Storage

Purification

Affinity purified

Formulation

PBS (pH 7.2) and 40% Glycerol

Format

BSA Free

Preservative

0.02% Sodium Azide

Concentration

Concentrations vary lot to lot. See vial label for concentration. If unlisted please contact technical services.

Shipping

The product is shipped with polar packs. Upon receipt, store it immediately at the temperature recommended below.

Stability & Storage

Store at 4C short term. Aliquot and store at -20C long term. Avoid freeze-thaw cycles.

Background: PAQR9

Alternate Names

progestin and adipoQ receptor family member 9, progestin and adipoQ receptor family member IXFLJ41938

Gene Symbol

PAQR9

UniProt

Additional PAQR9 Products

Product Documents for PAQR9 Antibody - BSA Free

Certificate of Analysis

To download a Certificate of Analysis, please enter a lot number in the search box below.

Product Specific Notices for PAQR9 Antibody - BSA Free

This product is for research use only and is not approved for use in humans or in clinical diagnosis. Primary Antibodies are guaranteed for 1 year from date of receipt.

Loading...
Loading...
Loading...
Loading...