Skip to main content

PADI1 Antibody - BSA Free

Novus Biologicals, part of Bio-Techne | Catalog # NBP2-37761

Novus Biologicals, part of Bio-Techne
Catalog #
Availability
Size / Price
Qty
Loading...
NBP2-37761
NBP2-37761-25ul

Key Product Details

Validated by

Orthogonal Validation

Species Reactivity

Human

Applications

Immunocytochemistry/ Immunofluorescence, Immunohistochemistry, Immunohistochemistry-Paraffin

Label

Unconjugated

Antibody Source

Polyclonal Rabbit IgG

Format

BSA Free

Concentration

Concentrations vary lot to lot. See vial label for concentration. If unlisted please contact technical services.

Product Specifications

Immunogen

This antibody was developed against a recombinant protein corresponding to the amino acids: PSACLKLFQEKKEEGYGEAAQFDGLKHQAKRSINEMLADRHLQRDNLHAQKCIDWN

Reactivity Notes

Immunogen displays the following percentage of sequence identity for non-tested species: Mouse (82%), Rat (82%)

Clonality

Polyclonal

Host

Rabbit

Isotype

IgG

Description

Novus Biologicals Rabbit PADI1 Antibody - BSA Free (NBP2-37761) is a polyclonal antibody validated for use in IHC and ICC/IF. All Novus Biologicals antibodies are covered by our 100% guarantee.

Scientific Data Images for PADI1 Antibody - BSA Free

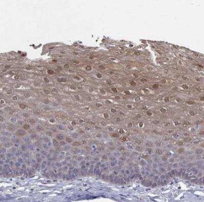
Immunohistochemistry-Paraffin: PADI1 Antibody [NBP2-37761]

Immunohistochemistry-Paraffin: PADI1 Antibody [NBP2-37761]

Immunohistochemistry-Paraffin: PADI1 Antibody [NBP2-37761] - Staining in human esophagus and colon tissues using anti-PADI1 antibody. Corresponding PADI1 RNA-seq data are presented for the same tissues.
Immunocytochemistry/ Immunofluorescence: PADI1 Antibody [NBP2-37761]

Immunocytochemistry/ Immunofluorescence: PADI1 Antibody [NBP2-37761]

Immunocytochemistry/Immunofluorescence: PADI1 Antibody [NBP2-37761] - Staining of human cell line HaCaT shows localization to cytosol. Antibody staining is shown in green.
Immunohistochemistry-Paraffin: PADI1 Antibody [NBP2-37761]

Immunohistochemistry-Paraffin: PADI1 Antibody [NBP2-37761]

Immunohistochemistry-Paraffin: PADI1 Antibody [NBP2-37761] - Staining of human colon shows low expression as expected.

Applications for PADI1 Antibody - BSA Free

Application
Recommended Usage

Immunocytochemistry/ Immunofluorescence

0.25-2 ug/ml

Immunohistochemistry

1:500 - 1:1000

Immunohistochemistry-Paraffin

1:500 - 1:1000
Application Notes
For IHC-Paraffin, HIER pH 6 retrieval is recommended. ICC/IF Fixation Permeabilization: Use PFA/Triton X-100.

Formulation, Preparation, and Storage

Purification

Immunogen affinity purified

Formulation

PBS (pH 7.2) and 40% Glycerol

Format

BSA Free

Preservative

0.02% Sodium Azide

Concentration

Concentrations vary lot to lot. See vial label for concentration. If unlisted please contact technical services.

Shipping

The product is shipped with polar packs. Upon receipt, store it immediately at the temperature recommended below.

Stability & Storage

Store at 4C short term. Aliquot and store at -20C long term. Avoid freeze-thaw cycles.

Background: PADI1

Peptidylarginine deiminases make up a family of posttranslational modification enzymes that convert arginine residues to citrulline residues in the presence of calcium ion.

Alternate Names

EC 3.5.3.15, HPAD10, hPAD-colony 10, PAD1, PDI, PDI1Protein-arginine deiminase type I, peptidyl arginine deiminase, type I, Peptidylarginine deiminase I, protein-arginine deiminase type-1

Gene Symbol

PADI1

Additional PADI1 Products

Product Documents for PADI1 Antibody - BSA Free

Certificate of Analysis

To download a Certificate of Analysis, please enter a lot number in the search box below.

Product Specific Notices for PADI1 Antibody - BSA Free

This product is for research use only and is not approved for use in humans or in clinical diagnosis. Primary Antibodies are guaranteed for 1 year from date of receipt.

Loading...
Loading...
Loading...
Loading...