Skip to main content

p70 S6 Kinase beta/S6K2 Antibody (JE35-69)

Novus Biologicals, part of Bio-Techne | Catalog # NBP3-32704

Recombinant Monoclonal Antibody
Novus Biologicals, part of Bio-Techne
Catalog #
Availability
Size / Price
Qty
Loading...
NBP3-32704

Key Product Details

Species Reactivity

Human, Mouse

Applications

Immunohistochemistry, Immunohistochemistry-Paraffin, Western Blot, Flow Cytometry, Immunocytochemistry/ Immunofluorescence

Label

Unconjugated

Antibody Source

Recombinant Monoclonal Rabbit IgG Clone # JE35-69 expressed in HEK293

Concentration

1 mg/ml

Product Specifications

Immunogen

Recombinant protein within Human p70 S6 Kinase beta/S6K2 aa 1-150 / 482. (Uniprot: Q9UBS0)

Localization

Cytoplasm, Nucleus.

Clonality

Monoclonal

Host

Rabbit

Isotype

IgG

Theoretical MW

53 kDa.
Disclaimer note: The observed molecular weight of the protein may vary from the listed predicted molecular weight due to post translational modifications, post translation cleavages, relative charges, and other experimental factors.

Description

Novus Biologicals Rabbit p70 S6 Kinase beta/S6K2 Antibody (JE35-69) (NBP3-32704) is a recombinant monoclonal antibody validated for use in IHC, WB, Flow and ICC/IF. All Novus Biologicals antibodies are covered by our 100% guarantee.

Scientific Data Images for p70 S6 Kinase beta/S6K2 Antibody (JE35-69)

p70 S6 Kinase beta/S6K2 Antibody (JE35-69)

Western Blot: p70 S6 Kinase beta/S6K2 Antibody (JE35-69) [NBP3-32704]

Western Blot: p70 S6 Kinase beta/S6K2 Antibody (JE35-69) [NBP3-32704] - Western blot analysis of p70 S6 Kinase beta/S6K2 on different lysates with Rabbit anti-p70 S6 Kinase beta/S6K2 antibody (NBP3-32704) at 1/1,000 dilution.

Lane 1: HeLa cell lysate, 20 ug/Lane
Lane 2: Jurkat cell lysate, 20 ug/Lane
Lane 3: HEK-293 cell lysate, 20 ug/Lane
Lane 4: Mouse liver tissue lysate, 40 ug/Lane
Lane 5: Mouse kidney tissue lysate, 40 ug/Lane

Predicted band size: 53 kDa
Observed band size: 53 kDa

Exposure time: 1 minute;

4-20% SDS-PAGE gel.

Proteins were transferred to a PVDF membrane and blocked with 5% NFDM/TBST for 1 hour at room temperature. The primary antibody (NBP3-32704) at 1/1,000 dilution was used in 5% NFDM/TBST at room temperature for 2 hours. Goat Anti-Rabbit IgG - HRP Secondary Antibody at 1:100,000 dilution was used for 1 hour at room temperature.
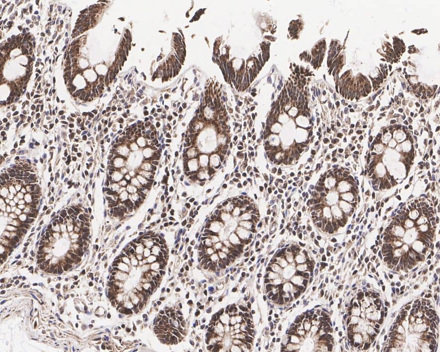
p70 S6 Kinase beta/S6K2 Antibody (JE35-69)

Immunohistochemistry: p70 S6 Kinase beta/S6K2 Antibody (JE35-69) [NBP3-32704]

Immunohistochemistry: p70 S6 Kinase beta/S6K2 Antibody (JE35-69) [NBP3-32704] - Immunohistochemical analysis of paraffin-embedded human colon tissue with Rabbit anti-p70 S6 Kinase beta/S6K2 antibody (NBP3-32704) at 1/1,000 dilution.

The section was pre-treated using heat mediated antigen retrieval with Tris-EDTA buffer (pH 9.0) for 20 minutes. The tissues were blocked in 1% BSA for 20 minutes at room temperature, washed with ddH2O and PBS, and then probed with the primary antibody (NBP3-32704) at 1/1,000 dilution for 1 hour at room temperature. The detection was performed using an HRP conjugated compact polymer system. DAB was used as the chromogen. Tissues were counterstained with hematoxylin and mounted with DPX.
p70 S6 Kinase beta/S6K2 Antibody (JE35-69)

Immunocytochemistry/ Immunofluorescence: p70 S6 Kinase beta/S6K2 Antibody (JE35-69) [NBP3-32704]

Immunocytochemistry/ Immunofluorescence: p70 S6 Kinase beta/S6K2 Antibody (JE35-69) [NBP3-32704] - Immunocytochemistry analysis of HeLa cells labeling p70 S6 Kinase beta/S6K2 with Rabbit anti-p70 S6 Kinase beta/S6K2 antibody (NBP3-32704) at 1/100 dilution.

Cells were fixed in 4% paraformaldehyde for 10 minutes at 37 ℃, permeabilized with 0.05% Triton X-100 in PBS for 20 minutes, and then blocked with 2% negative goat serum for 30 minutes at room temperature. Cells were then incubated with Rabbit anti-p70 S6 Kinase beta/S6K2 antibody (NBP3-32704) at 1/100 dilution in 2% negative goat serum overnight at 4 ℃. Goat Anti-Rabbit IgG H&L (iFluor™ 488) was used as the secondary antibody at 1/1,000 dilution. Nuclear DNA was labelled in blue with DAPI.

Beta tubulin (red) was stained at 1/100 dilution overnight at +4℃. Goat Anti-Mouse IgG H&L (iFluor™ 594) was used as the secondary antibody at 1/1,000 dilution.

Applications for p70 S6 Kinase beta/S6K2 Antibody (JE35-69)

Application
Recommended Usage

Flow Cytometry

1:500-1:1000

Immunocytochemistry/ Immunofluorescence

1:100

Immunohistochemistry-Paraffin

1:1000

Western Blot

1:1000

Formulation, Preparation, and Storage

Purification

Protein A purified

Formulation

1*TBS (pH7.4), 0.05% BSA and 40% Glycerol

Preservative

0.05% Sodium Azide

Concentration

1 mg/ml

Shipping

The product is shipped with polar packs. Upon receipt, store it immediately at the temperature recommended below.

Stability & Storage

Store at 4C short term. Aliquot and store at -20C long term. Avoid freeze-thaw cycles.

Background: p70 S6 Kinase beta

S6K2 encodes a member of the RSK (ribosomal S6 kinase) family of serine/threonine kinases. This kinase contains 2 nonidentical kinase catalytic domains and phosphorylates the S6 ribosomal protein and eucaryotic translation initiation factor 4B (eIF4B). Phosphorylation of S6 leads to an increase in protein synthesis and cell proliferation.

Alternate Names

KLS, p70-beta, RPS6KB2, STK14B

Gene Symbol

RPS6KB2

Additional p70 S6 Kinase beta Products

Product Documents for p70 S6 Kinase beta/S6K2 Antibody (JE35-69)

Certificate of Analysis

To download a Certificate of Analysis, please enter a lot number in the search box below.

Product Specific Notices for p70 S6 Kinase beta/S6K2 Antibody (JE35-69)

This product is for research use only and is not approved for use in humans or in clinical diagnosis. Primary Antibodies are guaranteed for 1 year from date of receipt.

Loading...
Loading...
Loading...
Loading...
Loading...