Skip to main content

p53 DINP1 Antibody (9Y6Z7)

Novus Biologicals, part of Bio-Techne | Catalog # NBP3-16620

Recombinant Monoclonal Antibody
Novus Biologicals, part of Bio-Techne
Catalog #
Availability
Size / Price
Qty
Loading...
NBP3-16620-20ul
NBP3-16620-100ul

Key Product Details

Species Reactivity

Human, Mouse, Rat

Applications

Immunohistochemistry, Immunohistochemistry-Paraffin, Western Blot, Immunocytochemistry/ Immunofluorescence

Label

Unconjugated

Antibody Source

Recombinant Monoclonal Rabbit IgG Clone # 9Y6Z7 expressed in HEK293

Concentration

Please see the vial label for concentration. If unlisted please contact technical services.

Product Specifications

Immunogen

A synthetic peptide corresponding to a sequence within amino acids 100-200 of human p53 DINP1 (Q96A56). PPPCFTAGGLTTIKVETSPMENLLIEHPSMSVYAVHNSCPGLSEATRGTDELHSPSSPRVEAQNEMGQHIHCYVAALAAHTTFLEQPKSFRPSQWIKEHSE

Clonality

Monoclonal

Host

Rabbit

Isotype

IgG

Description

Novus Biologicals Rabbit p53 DINP1 Antibody (9Y6Z7) (NBP3-16620) is a recombinant monoclonal antibody validated for use in IHC, WB and ICC/IF. All Novus Biologicals antibodies are covered by our 100% guarantee.

Scientific Data Images for p53 DINP1 Antibody (9Y6Z7)

Western Blot: p53 DINP1 Antibody (9Y6Z7) [NBP3-16620]

Western Blot: p53 DINP1 Antibody (9Y6Z7) [NBP3-16620]

Western Blot: p53 DINP1 Antibody (9Y6Z7) [NBP3-16620] - Western blot analysis of extracts of various cell lines, using p53 DINP1 Rabbit mAb (NBP3-16620) at 1:1000 dilution. Secondary antibody: HRP Goat Anti-Rabbit IgG (H+L) at 1:10000 dilution. Lysates/proteins: 25ug per lane. Blocking buffer: 3% nonfat dry milk in TBST. Detection: ECL Basic Kit. Exposure time: 1s.
Immunocytochemistry/ Immunofluorescence: p53 DINP1 Antibody (9Y6Z7) [NBP3-16620]

Immunocytochemistry/ Immunofluorescence: p53 DINP1 Antibody (9Y6Z7) [NBP3-16620]

Immunocytochemistry/Immunofluorescence: p53 DINP1 Antibody (9Y6Z7) [NBP3-16620] - Immunofluorescence analysis of HeLa cells using p53 DINP1 Rabbit mAb (NBP3-16620) at dilution of 1:100 (40x lens). Blue: DAPI for nuclear staining.
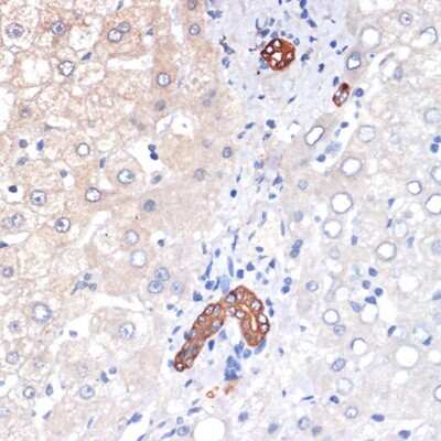
Immunohistochemistry-Paraffin: p53 DINP1 Antibody (9Y6Z7) [NBP3-16620]

Immunohistochemistry-Paraffin: p53 DINP1 Antibody (9Y6Z7) [NBP3-16620]

Immunohistochemistry-Paraffin: p53 DINP1 Antibody (9Y6Z7) [NBP3-16620] - Immunohistochemistry of paraffin-embedded human liver using p53 DINP1 Rabbit mAb (NBP3-16620) at dilution of 1:100 (40x lens).Perform microwave antigen retrieval with 10 mM Tris/EDTA buffer pH 9.0 before commencing with IHC staining protocol.

Applications for p53 DINP1 Antibody (9Y6Z7)

Application
Recommended Usage

Immunocytochemistry/ Immunofluorescence

1:50 - 1:200

Immunohistochemistry

1:50 - 1:200

Western Blot

1:500 - 1:1000

Formulation, Preparation, and Storage

Purification

Affinity purified

Formulation

PBS (pH 7.3), 50% glycerol, 0.05% BSA

Preservative

0.02% Sodium Azide

Concentration

Please see the vial label for concentration. If unlisted please contact technical services.

Shipping

The product is shipped with polar packs. Upon receipt, store it immediately at the temperature recommended below.

Stability & Storage

Store at -20C. Avoid freeze-thaw cycles.

Background: p53 DINP1

Apoptosis is related to many diseases and development. The p53 tumor-suppressor protein induces apoptosis through transcriptional activation of several genes. A novel p53 inducible gene was identified recently and designated p53DINP1 (for p53-dependent damage-inducible nuclear protein and SIP (for stress induced protein) in human and mouse. A p53DINP1 antisense oligonucleotide inhibits and overexpression of p53DINP1 enhances Ser46 phosphorylation of p53, induction of p53AIP1, and cell death induced by DNA double-strand breaks. p53DINP1 may regulate p53-dependent apoptosis through phosphorylation at Ser46 and induction of p53AIP1. The p53DINP1/SIP gene encodes two proteins of 27 and 18 kDa in human and mouse termed p53DINP1-a and p53DINP1-b or SIP27 and SIP18. p53DINP1/SIP is expressed in many tissues and induced by a variety of stress agents including UV stress, mutagenic stress, heat shock, and oxidative stress.

Alternate Names

DKFZp434M1317, FLJ22139, p53DINP1, P53DINP1p53-dependent damage-inducible nuclear protein 1, p53-inducible p53DINP1, SIPStress-induced protein, Teap, TP53DINP1, TP53INP1A, TP53INP1B, tumor protein p53 inducible nuclear protein 1, tumor protein p53-inducible nuclear protein 1

Gene Symbol

TP53INP1

Additional p53 DINP1 Products

Product Documents for p53 DINP1 Antibody (9Y6Z7)

Certificate of Analysis

To download a Certificate of Analysis, please enter a lot number in the search box below.

Product Specific Notices for p53 DINP1 Antibody (9Y6Z7)

This product is for research use only and is not approved for use in humans or in clinical diagnosis. Primary Antibodies are guaranteed for 1 year from date of receipt.

Loading...
Loading...
Loading...
Loading...