Skip to main content

P2Y13/P2RY13/GPR86 Antibody - BSA Free

Novus Biologicals, part of Bio-Techne | Catalog # NLS1622

Novus Biologicals, part of Bio-Techne
Catalog #
Availability
Size / Price
Qty
Loading...
NLS1622

Key Product Details

Species Reactivity

Validated:

Human

Predicted:

Bovine (94%), Primate (100%). Backed by our 100% Guarantee.

Applications

Immunohistochemistry, Immunohistochemistry-Paraffin

Label

Unconjugated

Antibody Source

Polyclonal Rabbit IgG

Format

BSA Free

Concentration

1.0 mg/ml

Product Specifications

Immunogen

Synthetic 16 amino acid peptide from 3rd cytoplasmic domain of human P2Y13/P2RY13/GPR86.

Epitope

3rd cytoplasmic domain of human

Reactivity Notes

Predicted cross-reactivity based on sequence identity: Gorilla (100%), Gibbon (100%), Marmoset (94%), Canine (81%), Porcine (81%).

Specificity

Human P2Y13/P2RY13/GPR86. BLAST analysis of the peptide immunogen showed no homology with other human proteins, except PRPF4B (50%).

Clonality

Polyclonal

Host

Rabbit

Isotype

IgG

Description

Product can be stored undiluted at 4C for up to 1 month.

Scientific Data Images for P2Y13/P2RY13/GPR86 Antibody - BSA Free

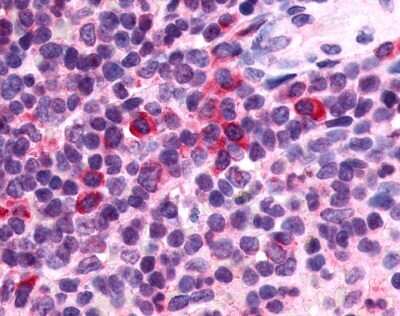
Immunohistochemistry-Paraffin: P2Y13/P2RY13/GPR86 Antibody - BSA Free [NLS1622]

Immunohistochemistry-Paraffin: P2Y13/P2RY13/GPR86 Antibody - BSA Free [NLS1622]

Immunohistochemistry-Paraffin: P2Y13/P2RY13/GPR86 Antibody [NLS1622] - Anti-P2Y13 / P2RY13 antibody IHC of human Lymph Node, Non-Hodgkins Lymphoma. Immunohistochemistry of formalin-fixed, paraffin-embedded tissue after heat-induced antigen retrieval.
Immunohistochemistry-Paraffin: P2Y13/P2RY13/GPR86 Antibody - BSA Free [NLS1622]

Immunohistochemistry-Paraffin: P2Y13/P2RY13/GPR86 Antibody - BSA Free [NLS1622]

Immunohistochemistry-Paraffin: P2Y13/P2RY13/GPR86 Antibody [NLS1622] - Analysis of anti-P2RY13 / P2Y13 antibody with human spleen.

Applications for P2Y13/P2RY13/GPR86 Antibody - BSA Free

Application
Recommended Usage

Immunohistochemistry-Paraffin

20-40 ug/ml
Application Notes
.

Formulation, Preparation, and Storage

Purification

Immunogen affinity purified

Formulation

PBS

Format

BSA Free

Preservative

0.1% Sodium Azide

Concentration

1.0 mg/ml

Shipping

The product is shipped with polar packs. Upon receipt, store it immediately at the temperature recommended below.

Stability & Storage

Keep as concentrated solution. Aliquot and store at -20C or below. Avoid multiple freeze-thaw cycles.

Background: P2Y13/P2RY13

P2Y13 is a Purinergic Receptor. ESTs have been isolated from liver/spleen, melanocyte/uterus/fetal heart, brain/lung/testis, placenta, and uterus libraries.

Long Name

P2Y Purinergic Receptor 13

Alternate Names

FKSG77, GPCR1, GPR86, GPR94, P2RY13, SP174

Entrez Gene IDs

53829 (Human)

Gene Symbol

P2RY13

Additional P2Y13/P2RY13 Products

Product Documents for P2Y13/P2RY13/GPR86 Antibody - BSA Free

Certificate of Analysis

To download a Certificate of Analysis, please enter a lot number in the search box below.

Product Specific Notices for P2Y13/P2RY13/GPR86 Antibody - BSA Free

This product is for research use only and is not approved for use in humans or in clinical diagnosis. Primary Antibodies are guaranteed for 1 year from date of receipt.

Loading...
Loading...
Loading...
Loading...