Skip to main content

P2X7/P2RX7 Antibody (7G1D6) - BSA Free

Novus Biologicals, part of Bio-Techne | Catalog # NBP2-61748

Novus Biologicals, part of Bio-Techne
Catalog #
Availability
Size / Price
Qty
Loading...
NBP2-61748
NBP2-61748-0.025ml

Key Product Details

Species Reactivity

Human

Applications

Immunohistochemistry, Immunohistochemistry-Paraffin, Western Blot, ELISA, Flow Cytometry

Label

Unconjugated

Antibody Source

Monoclonal Mouse IgG2B Clone # 7G1D6

Format

BSA Free

Concentration

1 mg/ml

Product Specifications

Immunogen

Purified recombinant fragment of human P2X7/P2RX7 (AA: 226-452) expressed in E. Coli.

Clonality

Monoclonal

Host

Mouse

Isotype

IgG2B

Theoretical MW

68.6 kDa.
Disclaimer note: The observed molecular weight of the protein may vary from the listed predicted molecular weight due to post translational modifications, post translation cleavages, relative charges, and other experimental factors.

Description

Novus Biologicals Mouse P2X7/P2RX7 Antibody (7G1D6) - BSA Free (NBP2-61748) is a monoclonal antibody validated for use in IHC, WB, ELISA and Flow. Anti-P2X7/P2RX7 Antibody: Cited in 1 publication. All Novus Biologicals antibodies are covered by our 100% guarantee.

Scientific Data Images for P2X7/P2RX7 Antibody (7G1D6) - BSA Free

Western Blot: P2X7/P2RX7 Antibody (7G1D6)BSA Free [NBP2-61748]

Western Blot: P2X7/P2RX7 Antibody (7G1D6)BSA Free [NBP2-61748]

Western Blot: P2X7/P2RX7 Antibody (7G1D6) [NBP2-61748] - Analysis using P2RX7 mAb against HEK293 (1) and P2RX7 (AA: 226-452)-hIgGFc transfected HEK293 (2) cell lysate.
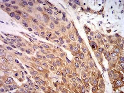
Immunohistochemistry-Paraffin: P2X7/P2RX7 Antibody (7G1D6) - BSA Free [NBP2-61748]

Immunohistochemistry-Paraffin: P2X7/P2RX7 Antibody (7G1D6) - BSA Free [NBP2-61748]

Immunohistochemistry-Paraffin: P2X7/P2RX7 Antibody (7G1D6) [NBP2-61748] - Analysis of esophageal cancer tissues using P2RX7 mouse mAb with DAB staining.
Flow Cytometry: P2X7/P2RX7 Antibody (7G1D6) - BSA Free [NBP2-61748]

Flow Cytometry: P2X7/P2RX7 Antibody (7G1D6) - BSA Free [NBP2-61748]

Flow Cytometry: P2X7/P2RX7 Antibody (7G1D6) [NBP2-61748] - Analysis of Hela cells using P2RX7 mouse mAb (green) and negative control (red).

Applications for P2X7/P2RX7 Antibody (7G1D6) - BSA Free

Application
Recommended Usage

ELISA

1:10000

Flow Cytometry

1:200 - 1:400

Immunohistochemistry

1:200 - 1:1000

Immunohistochemistry-Paraffin

1:200 - 1:1000

Western Blot

1:500 - 1:2000

Formulation, Preparation, and Storage

Purification

Protein G purified

Formulation

PBS

Format

BSA Free

Preservative

0.05% Sodium Azide

Concentration

1 mg/ml

Shipping

The product is shipped with polar packs. Upon receipt, store it immediately at the temperature recommended below.

Stability & Storage

Store at 4C short term. Aliquot and store at -20C long term. Avoid freeze-thaw cycles.

Background: P2X7/P2RX7

The product of this gene belongs to the family of purinoceptors for ATP. This receptor functions as a ligand-gated ion channel and is responsible for ATP-dependent lysis of macrophages through the formation of membrane pores permeable to large molecules. Activation of this nuclear receptor by ATP in the cytoplasm may be a mechanism by which cellular activity can be coupled to changes in gene expression. Multiple alternatively spliced variants have been identified, most of which fit nonsense-mediated decay (NMD) criteria.;

Long Name

P2X Purinergic Receptor 7

Alternate Names

P2RX7

Gene Symbol

P2RX7

Additional P2X7/P2RX7 Products

Product Documents for P2X7/P2RX7 Antibody (7G1D6) - BSA Free

Certificate of Analysis

To download a Certificate of Analysis, please enter a lot number in the search box below.

Product Specific Notices for P2X7/P2RX7 Antibody (7G1D6) - BSA Free

This product is for research use only and is not approved for use in humans or in clinical diagnosis. Primary Antibodies are guaranteed for 1 year from date of receipt.

Loading...
Loading...
Loading...
Loading...
Loading...