Skip to main content

p23/PTGES3 Antibody (JJ3)

Novus Biologicals, part of Bio-Techne | Catalog # NB300-576

Novus Biologicals, part of Bio-Techne
Catalog #
Availability
Size / Price
Qty
Loading...
NB300-576

Key Product Details

Species Reactivity

Validated:

Human, Mouse, Rat, Chicken, Guinea Pig, Primate, Rabbit, Xenopus

Cited:

Human, Mouse

Applications

Validated:

Immunohistochemistry, Immunohistochemistry-Paraffin, Western Blot, Flow Cytometry, Immunocytochemistry/ Immunofluorescence, Immunoprecipitation

Cited:

Western Blot, Immunoprecipitation

Label

Unconjugated

Antibody Source

Monoclonal Mouse IgG1 Clone # JJ3

Concentration

This product is unpurified. The exact concentration of antibody is not quantifiable.

Product Specifications

Immunogen

Recombinant human p23 protein.

Reactivity Notes

Rat reactivity reported in scientific literature (PMID: 16085934). Primate reactivity reported in scientific literature (PMID: 11553639). Clawed Frog reactivity reported in scientific literature (PMID: 18364744). Please note that this antibody is reactive to Mouse and derived from the same host, Mouse. Additional Mouse on Mouse blocking steps may be required for IHC and ICC experiments. Please contact Technical Support for more information.

Specificity

p23 (JJ3)

Clonality

Monoclonal

Host

Mouse

Isotype

IgG1

Description

Novus Biologicals Mouse p23/PTGES3 Antibody (JJ3) (NB300-576) is a monoclonal antibody validated for use in IHC, WB, Flow, ICC/IF and IP. Anti-p23/PTGES3 Antibody: Cited in 8 publications. All Novus Biologicals antibodies are covered by our 100% guarantee.

Scientific Data Images for p23/PTGES3 Antibody (JJ3)

Western Blot: p23/PTGES3 Antibody (JJ3) [NB300-576]

Western Blot: p23/PTGES3 Antibody (JJ3) [NB300-576]

Western Blot: p23/PTGES3 Antibody (JJ3) [NB300-576] - Analysis of 25 ug of Hela (Lane 1), HepG2 (Lane 2), and mouse spleen cell lysates (Lane 3) and a molecular weight protein ladder.
Immunocytochemistry/ Immunofluorescence: p23/PTGES3 Antibody (JJ3) [NB300-576]

Immunocytochemistry/ Immunofluorescence: p23/PTGES3 Antibody (JJ3) [NB300-576]

Immunocytochemistry/Immunofluorescence: p23/PTGES3 Antibody (JJ3) [NB300-576] - p23 staining (green), F-Actin staining with Phalloidin (red) and nuclei with DAPI (blue) is shown. Cells were grown on chamber slides and fixed with formaldehyde prior to staining. Cells were probed without (control) or with or an antibody recognizing p23 at a dilution of 1:500 over night at 4C, washed with PBS and incubated with a DyLight-488 conjugated.
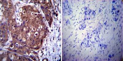
Immunohistochemistry-Paraffin: p23/PTGES3 Antibody (JJ3) [NB300-576]

Immunohistochemistry-Paraffin: p23/PTGES3 Antibody (JJ3) [NB300-576]

Immunohistochemistry-Paraffin: p23/PTGES3 Antibody (JJ3) [NB300-576] - Normal biopsies of deparaffinized Human testis tissue.

Applications for p23/PTGES3 Antibody (JJ3)

Application
Recommended Usage

Flow Cytometry

1:100

Immunocytochemistry/ Immunofluorescence

1:200 - 1:2000

Immunohistochemistry

1:1000

Immunohistochemistry-Paraffin

1:1000

Immunoprecipitation

1:10 - 1:500

Western Blot

1:1000
Application Notes
WB: Detects an approx. 23 kDa protein representing p23 from rabbit reticulocyte lysate. May be useful in IP for both free and complexed p23.

Formulation, Preparation, and Storage

Purification

Unpurified

Formulation

Ascites

Preservative

0.05% Sodium Azide

Concentration

This product is unpurified. The exact concentration of antibody is not quantifiable.

Shipping

The product is shipped with polar packs. Upon receipt, store it immediately at the temperature recommended below.

Stability & Storage

Store at -20C. Avoid freeze-thaw cycles.

Background: p23/PTGES3

Steroid receptors are ligand-dependent intracellular proteins that stimulate transcription of specific genes by binding to specific DNA sequences following activation by the appropriate hormone. Prior to activation, steroid receptors associate with a number of different proteins in both a stable and transient fashion. Steroid receptor complex proteins include heat shock proteins (HSP 70 and HSP 90), immunosuppressant binding proteins called immunophilins (the FK 506 binding proteins, FKBP 52 & FKBP 54 and the cyclosporin binding protein, CyP-40) and at least three other proteins termed p23, p60 and p48. p23 along with HSP 70, HSP 90 and p60, combine with progesterone receptor (PR) as members of a transient intermediate complex. Cloned human p23 encodes a protein of 160 amino acids that is highly conserved between species and shows no homology to previously identified proteins. p23 is a highly acidic phosphoprotein with an aspartic acid-rich C-terminal domain and multiple potential phosphorylation sites. In vitro studies have suggested that p23 binds to HSP90 and is necessary for the binding of HSP 90 and CyP-40 to PR. While neither its exact function nor mechanism of action have been identified, p23 appears to be an important factor in PR function.

Long Name

Prostaglandin E Synthase 3 (Cytosolic)

Alternate Names

CPGES, PTGES3, TEBP

Entrez Gene IDs

10728 (Human)

Gene Symbol

PTGES3

Additional p23/PTGES3 Products

Product Documents for p23/PTGES3 Antibody (JJ3)

Certificate of Analysis

To download a Certificate of Analysis, please enter a lot number in the search box below.

Product Specific Notices for p23/PTGES3 Antibody (JJ3)

This product is for research use only and is not approved for use in humans or in clinical diagnosis. Primary Antibodies are guaranteed for 1 year from date of receipt.

Loading...
Loading...
Loading...
Loading...
Loading...