Skip to main content

p15INK4b/CDKN2B Antibody (OTI3B6) - Azide and BSA Free

Novus Biologicals, part of Bio-Techne | Catalog # NBP2-73184

Novus Biologicals, part of Bio-Techne
Catalog #
Availability
Size / Price
Qty
Loading...
NBP2-73184

Key Product Details

Species Reactivity

Human, Mouse, Rat

Applications

Immunohistochemistry, Immunohistochemistry-Paraffin, Western Blot, Flow Cytometry, CyTOF-ready

Label

Unconjugated

Antibody Source

Monoclonal Mouse IgG1 Clone # OTI3B6

Format

Azide and BSA Free

Concentration

LYOPH mg/ml

Product Specifications

Immunogen

Full length human recombinant protein of human CDKN2B(NP_004927) produced in HEK293T cell.

Reactivity Notes

Please note that this antibody is reactive to Mouse and derived from the same host, Mouse. Mouse-On-Mouse blocking reagent may be needed for IHC and ICC experiments to reduce high background signal. You can find these reagents under catalog numbers PK-2200-NB and MP-2400-NB. Please contact Technical Support if you have any questions.

Clonality

Monoclonal

Host

Mouse

Isotype

IgG1

Theoretical MW

14.5 kDa.
Disclaimer note: The observed molecular weight of the protein may vary from the listed predicted molecular weight due to post translational modifications, post translation cleavages, relative charges, and other experimental factors.

Description

Novus Biologicals Mouse p15INK4b/CDKN2B Antibody (OTI3B6) - Azide and BSA Free (NBP2-45603) is a monoclonal antibody validated for use in IHC, WB and Flow. All Novus Biologicals antibodies are covered by our 100% guarantee.

Scientific Data Images for p15INK4b/CDKN2B Antibody (OTI3B6) - Azide and BSA Free

Western Blot: p15INK4b/CDKN2B Antibody (OTI3B6)Azide and BSA Free [NBP2-73184]

Western Blot: p15INK4b/CDKN2B Antibody (OTI3B6)Azide and BSA Free [NBP2-73184]

Western Blot: p15INK4b/CDKN2B Antibody (OTI3B6) - Azide and BSA Free [NBP2-73184] - Analysis of HEK293T cells were transfected with the pCMV6-ENTRY control (Left lane) or pCMV6-ENTRY CDKN2B.
Flow Cytometry: p15INK4b/CDKN2B Antibody (OTI3B6) - Azide and BSA Free [NBP2-73184]

Flow Cytometry: p15INK4b/CDKN2B Antibody (OTI3B6) - Azide and BSA Free [NBP2-73184]

Flow Cytometry: p15INK4b/CDKN2B Antibody (OTI3B6) - Azide and BSA Free [NBP2-73184] - Analysis of HEK293T cells transfected with either overexpress plasmid(Red) or empty vector control plasmid(Blue) were immunostaining by CDKN2B antibody.
p15INK4b/CDKN2B Antibody (OTI3B6) - Azide and BSA Free

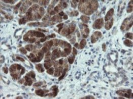
Immunohistochemistry-Paraffin- p15INK4b/CDKN2B Antibody (OTI3B6) -

Immunohistochemistry-Paraffin- p15INK4b/CDKN2B Antibody (OTI3B6) - Human pancreas tissue within the normal limits using anti-CDKN2B mouse monoclonal antibody. (Heat-induced epitope retrieval by 10mM citric buffer, pH6.0100 C for 10min.

Applications for p15INK4b/CDKN2B Antibody (OTI3B6) - Azide and BSA Free

Application
Recommended Usage

Flow Cytometry

1:100

Immunohistochemistry

1:150

Immunohistochemistry-Paraffin

1:150

Western Blot

1:2000

Formulation, Preparation, and Storage

Purification

Immunogen affinity purified

Reconstitution

we recommend adding 100uL distilled water to a final antibody concentration of about 1 mg/mL. To use this carrier-free antibody for conjugation experiment, we strongly recommend performing another round of desalting process.

Formulation

Lyophilized from PBS (pH 7.3) with 8% Trehalose

Format

Azide and BSA Free

Preservative

No Preservative

Concentration

LYOPH mg/ml

Shipping

The product is shipped with polar packs. Upon receipt, store it immediately at the temperature recommended below.

Stability & Storage

Store at -20C. Avoid freeze-thaw cycles.

Background: p15INK4b/CDKN2B

The normal progression of cells through the cell cycle is under the control of the cyclin dependent protein kinases Cdk4 and Cdk6 which are subject to inhibition by the mitotic inhibitory protein, p16. An isolated member of the p16 family has been designated p15. p15 expression is upregulated approximately 30-fold in TGFbeta-treated human keratinocytes, suggesting that p15 may act as an effector of TGFbeta-mediated cell cycle arrest. The gene encoding p15 has been mapped to chromosome 9p21 at a position adjacent to the p16 gene at a site of frequent chromosomal abnormality in human tumors. It has been suggested that p15 may function as an effector of TGFbeta-mediated cell cycle arrest through inhibition of Cdk4 and Cdk6 kinases.

Long Name

p15 Cyclin Dependent Kinase 4 Inhibitor 2B

Alternate Names

CDKN2B, MTS2

Gene Symbol

CDKN2B

Additional p15INK4b/CDKN2B Products

Product Documents for p15INK4b/CDKN2B Antibody (OTI3B6) - Azide and BSA Free

Certificate of Analysis

To download a Certificate of Analysis, please enter a lot number in the search box below.

Product Specific Notices for p15INK4b/CDKN2B Antibody (OTI3B6) - Azide and BSA Free

This product is for research use only and is not approved for use in humans or in clinical diagnosis. Primary Antibodies are guaranteed for 1 year from date of receipt.

Loading...
Loading...
Loading...
Loading...
Loading...
Loading...