Skip to main content

P-Cadherin Antibody (OTI2D5)

Novus Biologicals, part of Bio-Techne | Catalog # NBP2-45601

Novus Biologicals, part of Bio-Techne

Key Product Details

Species Reactivity

Human

Applications

Immunohistochemistry, Immunohistochemistry-Paraffin, Western Blot, Immunocytochemistry/ Immunofluorescence

Label

Unconjugated

Antibody Source

Monoclonal Mouse IgG2A Clone # OTI2D5

Concentration

1 mg/ml

Product Specifications

Immunogen

Full length human recombinant protein of human CDH3(NP_001784) produced in HEK293T cell.

Clonality

Monoclonal

Host

Mouse

Isotype

IgG2A

Theoretical MW

88.8 kDa.
Disclaimer note: The observed molecular weight of the protein may vary from the listed predicted molecular weight due to post translational modifications, post translation cleavages, relative charges, and other experimental factors.

Description

Novus Biologicals Mouse P-Cadherin Antibody (OTI2D5) (NBP2-45601) is a monoclonal antibody validated for use in IHC, WB and ICC/IF. All Novus Biologicals antibodies are covered by our 100% guarantee.

Scientific Data Images for P-Cadherin Antibody (OTI2D5)

Western Blot: P-Cadherin Antibody (OTI2D5) [NBP2-45601]

Western Blot: P-Cadherin Antibody (OTI2D5) [NBP2-45601]

Western Blot: P-Cadherin Antibody (OTI2D5) [NBP2-45601] - Analysis of HEK293T cells were transfected with the pCMV6-ENTRY control (Left lane) or pCMV6-ENTRY P-Cadherin.
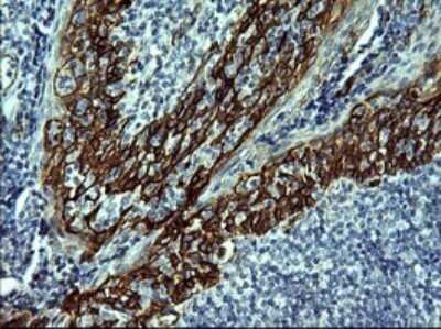
Immunohistochemistry: P-Cadherin Antibody (OTI2D5) [NBP2-45601]

Immunohistochemistry: P-Cadherin Antibody (OTI2D5) [NBP2-45601]

Immunohistochemistry: P-Cadherin Antibody (OTI2D5) [NBP2-45601] - Analysis of Human lymph node tissue. (Heat-induced epitope retrieval by 10mM citric buffer, pH6.0, 120C for 3min)
Immunohistochemistry: P-Cadherin Antibody (OTI2D5) [NBP2-45601]

Immunohistochemistry: P-Cadherin Antibody (OTI2D5) [NBP2-45601]

Immunohistochemistry: P-Cadherin Antibody (OTI2D5) [NBP2-45601] - Analysis of Adenocarcinoma of Human colon tissue. (Heat-induced epitope retrieval by 10mM citric buffer, pH6.0, 120C for 3min)

Applications for P-Cadherin Antibody (OTI2D5)

Application
Recommended Usage

Immunohistochemistry

1:150

Immunohistochemistry-Paraffin

1:150

Western Blot

1:4000

Formulation, Preparation, and Storage

Purification

Immunogen affinity purified

Formulation

PBS (pH 7.3), 1.0% BSA and 50% Glycerol

Preservative

0.02% Sodium Azide

Concentration

1 mg/ml

Shipping

The product is shipped with polar packs. Upon receipt, store it immediately at the temperature recommended below.

Stability & Storage

Store at -20C. Avoid freeze-thaw cycles.

Background: P-Cadherin

The cadherins are a family of Ca++-dependent adhesion molecules that function to mediate cell-cell binding critical to the maintenance of tissue structure and morphogenesis. Cadherins each contain a large extracellular domain at the amino terminus, which is characterized by a series of five homologous repeats, the most distal of which is thought to be responsible for binding specificity. The relatively short carboxy terminal, intracellular domain interacts with a variety of cytoplasmic proteins, including beta-catenin, to regulate cadherin function. R-cadherin (for retinal-cadherin, also designated cadherin-4), which was first identified in the retina of chicken, has been shown to be involved in the development of striated muscle and potentially epithelia in addition to its involvement in retinal development.

Long Name

Placental Cadherin

Alternate Names

CAD3, Cadherin-3, CDH3, CDHP, HJMD, PCAD, PCadherin

Gene Symbol

CDH3

Additional P-Cadherin Products

Product Documents for P-Cadherin Antibody (OTI2D5)

Certificate of Analysis

To download a Certificate of Analysis, please enter a lot number in the search box below.

Product Specific Notices for P-Cadherin Antibody (OTI2D5)

This product is for research use only and is not approved for use in humans or in clinical diagnosis. Primary Antibodies are guaranteed for 1 year from date of receipt.

Loading...
Loading...
Loading...
Loading...