Skip to main content

OXSM Antibody

Novus Biologicals, part of Bio-Techne | Catalog # NBP2-19647

Novus Biologicals, part of Bio-Techne
Catalog #
Availability
Size / Price
Qty
Loading...
NBP2-19647

Key Product Details

Species Reactivity

Human, Mouse, Rat

Applications

Immunohistochemistry, Immunohistochemistry-Paraffin, Western Blot

Label

Unconjugated

Antibody Source

Polyclonal Rabbit IgG

Concentration

Concentrations vary lot to lot. See vial label for concentration. If unlisted please contact technical services.

Product Specifications

Immunogen

Recombinant protein encompassing a sequence within the center region of human OXSM. The exact sequence is proprietary.

Localization

Mitochondrion

Clonality

Polyclonal

Host

Rabbit

Isotype

IgG

Theoretical MW

49 kDa.
Disclaimer note: The observed molecular weight of the protein may vary from the listed predicted molecular weight due to post translational modifications, post translation cleavages, relative charges, and other experimental factors.

Description

Novus Biologicals Rabbit OXSM Antibody (NBP2-19647) is a polyclonal antibody validated for use in IHC and WB. All Novus Biologicals antibodies are covered by our 100% guarantee.

Scientific Data Images for OXSM Antibody

Western Blot: OXSM Antibody [NBP2-19647]

Western Blot: OXSM Antibody [NBP2-19647]

Western Blot: OXSM Antibody [NBP2-19647] - Sample (30 ug of whole cell lysate) A: HeLa 10% SDS PAGE gel, diluted at 1:3000.
Immunohistochemistry-Paraffin: OXSM Antibody [NBP2-19647]

Immunohistochemistry-Paraffin: OXSM Antibody [NBP2-19647]

Immunohistochemistry-Paraffin: OXSM Antibody [NBP2-19647] - OXSM antibody detects OXSM protein at mitochondria in mouse liver by immunohistochemical analysis. Sample: Paraffin-embedded mouse liver. OXSM antibody diluted at 1:500.
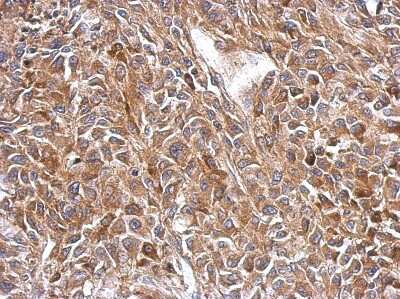
Immunohistochemistry-Paraffin: OXSM Antibody [NBP2-19647]

Immunohistochemistry-Paraffin: OXSM Antibody [NBP2-19647]

Immunohistochemistry-Paraffin: OXSM Antibody [NBP2-19647] - Immunohistochemical analysis of paraffin-embedded Mahlarvu xenograft, using antibody at 1:500 dilution.

Applications for OXSM Antibody

Application
Recommended Usage

Immunohistochemistry

10 - 1:500

Immunohistochemistry-Paraffin

1:100-1:1000

Western Blot

1:500-1:3000

Formulation, Preparation, and Storage

Purification

Antigen Affinity-purified

Formulation

PBS, 1% BSA, 20% Glycerol

Preservative

0.01% Thimerosal

Concentration

Concentrations vary lot to lot. See vial label for concentration. If unlisted please contact technical services.

Shipping

The product is shipped with polar packs. Upon receipt, store it immediately at the temperature recommended below.

Stability & Storage

Aliquot and store at -20C or -80C. Avoid freeze-thaw cycles.

Background: OXSM

This gene encodes a beta-ketoacyl synthetase. The encoded enzyme is required for elongation of fatty acid chains in the mitochondria. Alternatively spliced transcript variants have been described.

Alternate Names

3-ketoacyl-acyl carrier protein synthase, 3-oxoacyl-[acyl-carrier-protein] synthase, mitochondrial, 3-oxoacyl-ACP synthase, mitochondrial, acyl-malonyl acyl carrier protein-condensing enzyme, beta-ketoacyl synthase, Beta-ketoacyl-ACP synthase, EC 2.3.1, EC 2.3.1.41, FASN2D, FLJ20604, KASI, KS3-oxoacyl-acyl-carrier-protein synthase, type II mitochondrial beta-ketoacyl synthase

Gene Symbol

OXSM

UniProt

Additional OXSM Products

Product Documents for OXSM Antibody

Certificate of Analysis

To download a Certificate of Analysis, please enter a lot number in the search box below.

Product Specific Notices for OXSM Antibody

This product is for research use only and is not approved for use in humans or in clinical diagnosis. Primary Antibodies are guaranteed for 1 year from date of receipt.

Loading...
Loading...
Loading...
Loading...

⚠ WARNING: This product can expose you to chemicals including mercury, which is known to the State of California to cause reproductive toxicity with developmental effects.  For more information go to www.P65Warnings.ca.gov.