Skip to main content

OTUD5 Antibody

Novus Biologicals, part of Bio-Techne | Catalog # NBP2-24634

Novus Biologicals, part of Bio-Techne
Catalog #
Availability
Size / Price
Qty
Loading...
NBP2-24634
NBP2-24634SS

Key Product Details

Species Reactivity

Validated:

Human, Mouse, Rat, Primate

Predicted:

Chicken (93%), Monkey (100%), Opossum (93%), Rhesus Macaque (100%). Backed by our 100% Guarantee.

Applications

Immunohistochemistry, Immunohistochemistry-Paraffin, Western Blot

Label

Unconjugated

Antibody Source

Polyclonal Rabbit IgG

Concentration

0.5 mg/ml

Product Specifications

Immunogen

A portion of amino acids 550-571 of human DUBA was used as the immunogen.

Reactivity Notes

The amino acid sequence used as immunogen is 93% homologous in Chicken, 87% homologous in Canine and 81% homologous in Equine.

Clonality

Polyclonal

Host

Rabbit

Isotype

IgG

Description

Novus Biologicals Rabbit OTUD5 Antibody (NBP2-24634) is a polyclonal antibody validated for use in IHC and WB. All Novus Biologicals antibodies are covered by our 100% guarantee.

Scientific Data Images for OTUD5 Antibody

Western Blot: OTUD5 Antibody [NBP2-24634]

Western Blot: OTUD5 Antibody [NBP2-24634]

Western Blot: OTUD5 Antibody [NBP2-24634] - Analysis of DUBA in human liver lysate in the 1) absence and 2) presence of immunizing peptide, 3) mouse liver lysate and 4) rat liver lysate using this antibody. Goat anti-rabbit Ig HRP secondary antibody and PicoTect ECL substrate solution were used for this test.
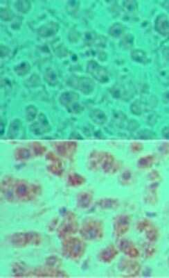
Immunohistochemistry-Paraffin: OTUD5 Antibody [NBP2-24634]

Immunohistochemistry-Paraffin: OTUD5 Antibody [NBP2-24634]

Immunohistochemistry-Paraffin: OTUD5 Antibody [NBP2-24634] - Analysis of DUBA in formalin-fixed, paraffin-embedded human liver tissue using an isotype control (top) and this antibody (bottom) at 5 ug/ml.

Applications for OTUD5 Antibody

Application
Recommended Usage

Immunohistochemistry-Paraffin

5 ug/ml

Western Blot

3-5 ug/ml

Formulation, Preparation, and Storage

Purification

Protein A purified

Formulation

PBS and 0.05% BSA

Preservative

0.05% Sodium Azide

Concentration

0.5 mg/ml

Shipping

The product is shipped with polar packs. Upon receipt, store it immediately at the temperature recommended below.

Stability & Storage

Store at 4C short term. Aliquot and store at -20C long term. Avoid freeze-thaw cycles.

Background: OTUD5

OTUD5 encodes a member of the OTU (ovarian tumor) domain-containing cysteine protease superfamily. The OTU domain confers deubiquitinase activity and the encoded protein has been shown to suppress the type I interferon-dependent innate immune response by cleaving the polyubiquitin chain from an essential type I interferon adaptor protein. Cleavage results in disassociation of the adaptor protein from a downstream signaling complex and disruption of the type I interferon signaling cascade. Alternatively spliced transcript variants encoding different isoforms have been described.

Alternate Names

Deubiquitinating enzyme A, DKFZp761A052, DUBAdeubiquinating enzyme A, EC 3.4.19.12, MGC104871, OTU domain containing 5, OTU domain-containing protein 5

Gene Symbol

OTUD5

Additional OTUD5 Products

Product Documents for OTUD5 Antibody

Certificate of Analysis

To download a Certificate of Analysis, please enter a lot number in the search box below.

Product Specific Notices for OTUD5 Antibody

This product is for research use only and is not approved for use in humans or in clinical diagnosis. Primary Antibodies are guaranteed for 1 year from date of receipt.

Loading...
Loading...
Loading...
Loading...