Skip to main content

OSBP2 Antibody - BSA Free

Novus Biologicals, part of Bio-Techne | Catalog # NBP1-81388

Novus Biologicals, part of Bio-Techne
Catalog #
Availability
Size / Price
Qty
Loading...
NBP1-81388
NBP1-81388-25ul

Key Product Details

Species Reactivity

Human

Applications

Immunohistochemistry, Immunohistochemistry-Paraffin

Label

Unconjugated

Antibody Source

Polyclonal Rabbit IgG

Format

BSA Free

Concentration

Concentrations vary lot to lot. See vial label for concentration. If unlisted please contact technical services.

Product Specifications

Immunogen

This antibody was developed against Recombinant Protein corresponding to amino acids: SRKWQRALQYEQEQRVHLEETIEQLAKQHNSLERAFHSAPGRPANPSKSFIEGSLLTPKGEDSEEDEDTEYFDAMEDSTSFITV

Reactivity Notes

Immunogen displays the following percentage of sequence identity for non-tested species: Mouse (87%), Rat (87%)

Clonality

Polyclonal

Host

Rabbit

Isotype

IgG

Description

Novus Biologicals Rabbit OSBP2 Antibody - BSA Free (NBP1-81388) is a polyclonal antibody validated for use in IHC. All Novus Biologicals antibodies are covered by our 100% guarantee.

Scientific Data Images for OSBP2 Antibody - BSA Free

Immunohistochemistry-Paraffin: OSBP2 Antibody [NBP1-81388]

Immunohistochemistry-Paraffin: OSBP2 Antibody [NBP1-81388]

Immunohistochemistry-Paraffin: OSBP2 Antibody [NBP1-81388] - Staining of human testis shows moderate to strong cytoplasmic positivity in cells in seminiferous ducts.
Immunohistochemistry-Paraffin: OSBP2 Antibody [NBP1-81388]

Immunohistochemistry-Paraffin: OSBP2 Antibody [NBP1-81388]

Immunohistochemistry-Paraffin: OSBP2 Antibody [NBP1-81388] - Staining of human cerebellum shows moderate cytoplasmic positivity in Purkinje cells.
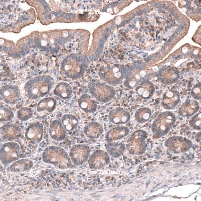
Immunohistochemistry-Paraffin: OSBP2 Antibody [NBP1-81388]

Immunohistochemistry-Paraffin: OSBP2 Antibody [NBP1-81388]

Immunohistochemistry-Paraffin: OSBP2 Antibody [NBP1-81388] - Staining of human duodenum shows moderate cytoplasmic positivity in glandular cells.

Applications for OSBP2 Antibody - BSA Free

Application
Recommended Usage

Immunohistochemistry

1:500 - 1:1000

Immunohistochemistry-Paraffin

1:500 - 1:1000
Application Notes
For IHC-Paraffin, HIER pH 6 retrieval is recommended.

Formulation, Preparation, and Storage

Purification

Affinity purified

Formulation

PBS (pH 7.2) and 40% Glycerol

Format

BSA Free

Preservative

0.02% Sodium Azide

Concentration

Concentrations vary lot to lot. See vial label for concentration. If unlisted please contact technical services.

Shipping

The product is shipped with polar packs. Upon receipt, store it immediately at the temperature recommended below.

Stability & Storage

Store at 4C short term. Aliquot and store at -20C long term. Avoid freeze-thaw cycles.

Background: OSBP2

Oxysterols are byproducts of cholesterol that can have cytotoxic effects on many cell types. The membrane-bound protein encoded by this gene contains a pleckstrin homology (PH) domain and an oxysterol-binding region. It binds oxysterols such as 7-ketocholesterol and may inhibit their cytotoxicity. Alternate transcriptional splice variants have been observed but have not been fully characterized. (provided by RefSeq)

Alternate Names

ORP4ORP-4KIAA1664Oxysterol-binding protein-related protein 4, OSBPL1, OSBPL4, OSBP-related protein 4, oxysterol binding protein 2, oxysterol binding protein-like 1, oxysterol binding protein-related protein 4, oxysterol-binding protein 2

Gene Symbol

OSBP2

Additional OSBP2 Products

Product Documents for OSBP2 Antibody - BSA Free

Certificate of Analysis

To download a Certificate of Analysis, please enter a lot number in the search box below.

Product Specific Notices for OSBP2 Antibody - BSA Free

This product is for research use only and is not approved for use in humans or in clinical diagnosis. Primary Antibodies are guaranteed for 1 year from date of receipt.

Loading...
Loading...
Loading...
Loading...