Skip to main content

OPALIN Antibody (CL11142) - Azide and BSA Free

Novus Biologicals, part of Bio-Techne | Catalog # NBP3-44178

Novus Biologicals, part of Bio-Techne

Key Product Details

Validated by

Orthogonal Validation

Species Reactivity

Human

Applications

Immunohistochemistry-Paraffin

Label

Unconjugated

Antibody Source

Monoclonal Mouse IgG1 Clone # CL11142

Format

Azide and BSA Free

Concentration

LYOPH mg/ml

Product Specifications

Immunogen

This antibody was generated using a recombinant protein sequence of Q96PE5, with the exact immunogen sequence remaining proprietary.

Clonality

Monoclonal

Host

Mouse

Isotype

IgG1

Description

Novus Biologicals Mouse OPALIN Antibody (CL11142) - Azide and BSA Free (NBP3-43641) is a monoclonal antibody validated for use in IHC. All Novus Biologicals antibodies are covered by our 100% guarantee.

Scientific Data Images for OPALIN Antibody (CL11142) - Azide and BSA Free

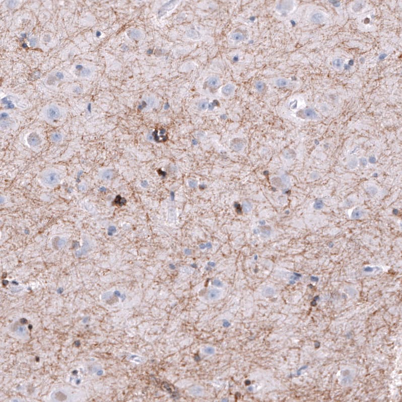
OPALIN Antibody (CL11142) - Azide and BSA Free Immunohistochemistry-Paraffin: OPALIN Antibody [NBP3-44178]

Immunohistochemistry-Paraffin: OPALIN Antibody [NBP3-44178]

Staining of human cerebellum shows strong cytoplasmic positivity in oligodendrocytes.
OPALIN Antibody (CL11142) - Azide and BSA Free Immunohistochemistry-Paraffin: OPALIN Antibody [NBP3-44178]

Immunohistochemistry-Paraffin: OPALIN Antibody [NBP3-44178]

Analysis in human cerebral cortex and kidney tissues using NBP3-44178 antibody. Corresponding OPALIN RNA-seq data are presented for the same tissues.
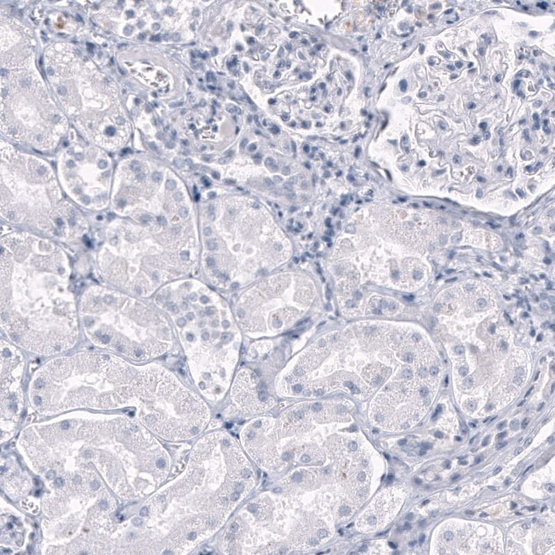
OPALIN Antibody (CL11142) - Azide and BSA Free Immunohistochemistry-Paraffin: OPALIN Antibody [NBP3-44178]

Immunohistochemistry-Paraffin: OPALIN Antibody [NBP3-44178]

Staining of human kidney shows no positivity in cells in tubules as expected.

Applications for OPALIN Antibody (CL11142) - Azide and BSA Free

Application
Recommended Usage

Immunohistochemistry-Paraffin

1:200 - 1:500
Application Notes
For IHC-Paraffin, HIER pH 6 retrieval is recommended.

Formulation, Preparation, and Storage

Purification

Protein A purified

Reconstitution

Centrifuge the vial of lyophilized antibody at 12,000 x g for 20 seconds. Reconstitute by adding sterile, distilled water to achieve a final antibody concentration of 1mg/ml.

Formulation

Lyophilized from a 0.2 um filtered solution in PBS with Trehalose

Format

Azide and BSA Free

Preservative

No Preservative

Concentration

LYOPH mg/ml

Shipping

The product is shipped at ambient temperature. Upon receipt, store it immediately at the temperature recommended below.

Stability & Storage

Store at 4C short term. Aliquot and store at -20C long term. Avoid freeze-thaw cycles.

Background: OPALIN

Alternate Names

HTMP10transmembrane protein TMP10, oligodendrocytic myelin paranodal and inner loop proteinTMEM10, TMP10, Transmembrane protein 10opalin

Gene Symbol

OPALIN

Additional OPALIN Products

Product Documents for OPALIN Antibody (CL11142) - Azide and BSA Free

Certificate of Analysis

To download a Certificate of Analysis, please enter a lot number in the search box below.

Product Specific Notices for OPALIN Antibody (CL11142) - Azide and BSA Free

This product is for research use only and is not approved for use in humans or in clinical diagnosis. Primary Antibodies are guaranteed for 1 year from date of receipt.

Loading...
Loading...
Loading...
Loading...
Loading...