Skip to main content

OPALIN Antibody (CL11142) [Unconjugated] - BSA Free

Novus Biologicals, part of Bio-Techne | Catalog # NBP3-43641

Novus Biologicals, part of Bio-Techne
Catalog #
Availability
Size / Price
Qty
Loading...
NBP3-43641-100ul
NBP3-43641-25ul

Key Product Details

Validated by

Orthogonal Validation

Species Reactivity

Human

Applications

Immunohistochemistry, Immunohistochemistry-Paraffin

Label

Unconjugated

Antibody Source

Monoclonal Mouse IgG1 Clone # CL11142

Format

BSA Free

Concentration

1 mg/ml

Product Specifications

Immunogen

This antibody was generated using a recombinant protein sequence of Q96PE5, with the exact immunogen sequence remaining proprietary.

Clonality

Monoclonal

Host

Mouse

Isotype

IgG1

Description

Novus Biologicals Mouse OPALIN Antibody (CL11142) [Unconjugated] - BSA Free (NBP3-43641) is a monoclonal antibody validated for use in IHC. All Novus Biologicals antibodies are covered by our 100% guarantee.

Scientific Data Images for OPALIN Antibody (CL11142) [Unconjugated] - BSA Free

OPALIN Antibody (CL11142) [Unconjugated] Immunohistochemistry-Paraffin: OPALIN Antibody (CL11142) [NBP3-43641]

Immunohistochemistry-Paraffin: OPALIN Antibody (CL11142) [NBP3-43641]

Staining of human prostate shows no positivity in glandular cells as expected.
OPALIN Antibody (CL11142) [Unconjugated] Immunohistochemistry-Paraffin: OPALIN Antibody (CL11142) [NBP3-43641]

Immunohistochemistry-Paraffin: OPALIN Antibody (CL11142) [NBP3-43641]

Staining of human cerebellum shows strong cytoplasmic positivity in oligodendrocytes.
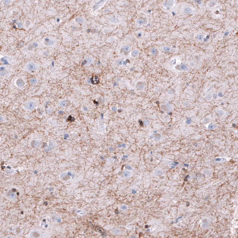
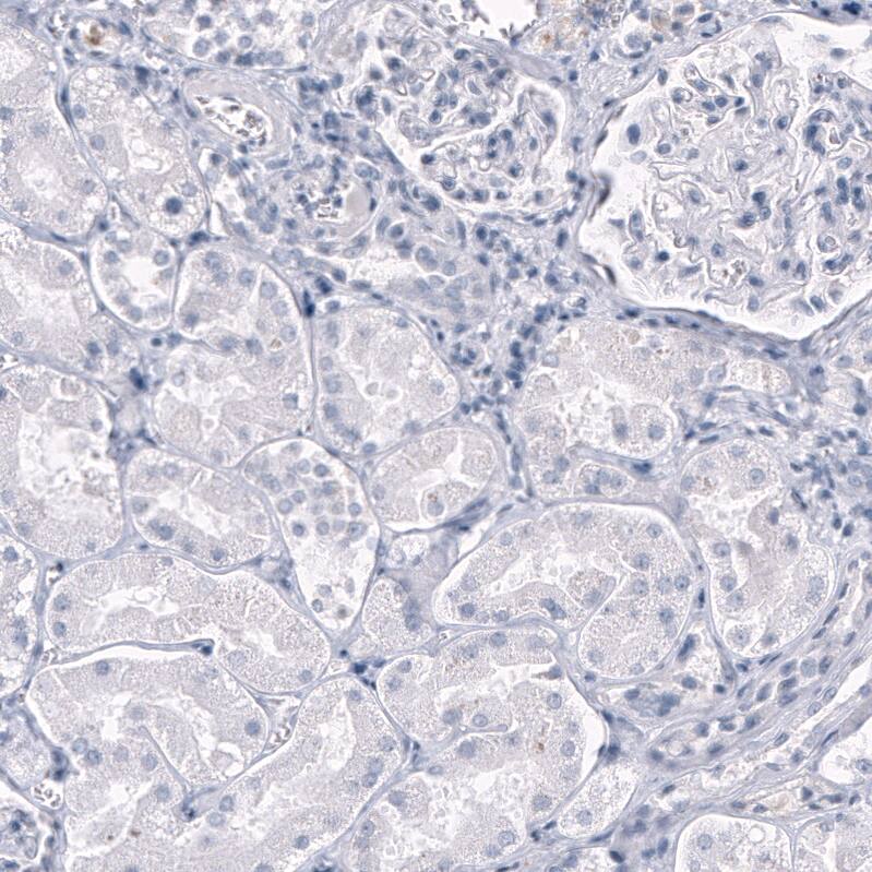
OPALIN Antibody (CL11142) [Unconjugated] Immunohistochemistry-Paraffin: OPALIN Antibody (CL11142) [NBP3-43641]

Immunohistochemistry-Paraffin: OPALIN Antibody (CL11142) [NBP3-43641]

Analysis in human cerebral cortex and kidney tissues using NBP3-43641 antibody. Corresponding OPALIN RNA-seq data are presented for the same tissues.

Applications for OPALIN Antibody (CL11142) [Unconjugated] - BSA Free

Application
Recommended Usage

Immunohistochemistry

1:200 - 1:500

Immunohistochemistry-Paraffin

1:200 - 1:500
Application Notes
For IHC-Paraffin, HIER pH 6 retrieval is recommended.

Formulation, Preparation, and Storage

Purification

Protein A purified

Formulation

PBS, pH 7.2, 40% glycerol

Format

BSA Free

Preservative

0.02% Sodium Azide

Concentration

1 mg/ml

Shipping

The product is shipped with polar packs. Upon receipt, store it immediately at the temperature recommended below.

Stability & Storage

Store at 4C short term. Aliquot and store at -20C long term. Avoid freeze-thaw cycles.

Background: OPALIN

Alternate Names

HTMP10transmembrane protein TMP10, oligodendrocytic myelin paranodal and inner loop proteinTMEM10, TMP10, Transmembrane protein 10opalin

Gene Symbol

OPALIN

Additional OPALIN Products

Product Documents for OPALIN Antibody (CL11142) [Unconjugated] - BSA Free

Certificate of Analysis

To download a Certificate of Analysis, please enter a lot number in the search box below.

Product Specific Notices for OPALIN Antibody (CL11142) [Unconjugated] - BSA Free

This product is for research use only and is not approved for use in humans or in clinical diagnosis. Primary Antibodies are guaranteed for 1 year from date of receipt.

Loading...
Loading...
Loading...
Loading...