OPA3 Antibody - BSA Free
Novus Biologicals, part of Bio-Techne | Catalog # NBP1-92221
Key Product Details
Species Reactivity
Human
Applications
Immunohistochemistry, Immunohistochemistry-Paraffin, Western Blot, Immunocytochemistry/ Immunofluorescence
Label
Unconjugated
Antibody Source
Polyclonal Rabbit IgG
Format
BSA Free
Concentration
Concentrations vary lot to lot. See vial label for concentration. If unlisted please contact technical services.
Product Specifications
Immunogen
This antibody was developed against Recombinant Protein corresponding to amino acids: RHQLQQRRKEKERRVAREALRGEVGHLGLALEELQAQVQATSTQLALEELRAQLQEVRAHLCLRDP
Clonality
Polyclonal
Host
Rabbit
Isotype
IgG
Theoretical MW
20 kDa.
Disclaimer note: The observed molecular weight of the protein may vary from the listed predicted molecular weight due to post translational modifications, post translation cleavages, relative charges, and other experimental factors.
Disclaimer note: The observed molecular weight of the protein may vary from the listed predicted molecular weight due to post translational modifications, post translation cleavages, relative charges, and other experimental factors.
Scientific Data Images for OPA3 Antibody - BSA Free
Immunocytochemistry/ Immunofluorescence: OPA3 Antibody [NBP1-92221]
Immunocytochemistry/Immunofluorescence: OPA3 Antibody [NBP1-92221] - Immunofluorescent staining of human cell line U-2 OS shows localization to cytosol.Immunohistochemistry-Paraffin: OPA3 Antibody [NBP1-92221]
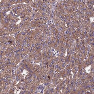
Immunohistochemistry-Paraffin: OPA3 Antibody [NBP1-92221] - Staining of human parathyroid gland shows cytoplasmic positivity in glandular cells.Western Blot: OPA3 Antibody - BSA Free [NBP1-92221]
Lane 1: Marker [kDa] 250, 130, 95, 72, 55, 36, 28, 17, 10Lane 2: Human cell line RT-4
Lane 3: Human cell line U-251MG sp
Lane 4: Human plasma (IgG/HSA depleted)
Lane 5: Human liver tissue
Lane 6: Human tonsil tissue
Applications for OPA3 Antibody - BSA Free
Application
Recommended Usage
Immunocytochemistry/ Immunofluorescence
0.25-2 ug/ml
Immunohistochemistry
1:500 - 1:1000
Immunohistochemistry-Paraffin
1:500 - 1:1000
Western Blot
0.04-0.4 ug/ml
Application Notes
For IHC-Paraffin, HIER pH 6 retrieval is recommended. Immunocytochemistry/Immunofluorescence Fixation Permeabilization: Use PFA/Triton X-100.
Formulation, Preparation, and Storage
Purification
Affinity purified
Formulation
PBS (pH 7.2) and 40% Glycerol
Format
BSA Free
Preservative
0.02% Sodium Azide
Concentration
Concentrations vary lot to lot. See vial label for concentration. If unlisted please contact technical services.
Shipping
The product is shipped with polar packs. Upon receipt, store it immediately at the temperature recommended below.
Stability & Storage
Store at 4C short term. Aliquot and store at -20C long term. Avoid freeze-thaw cycles.
Background: OPA3
Alternate Names
FLJ22187, FLJ25932, MGA3Optic atrophy 3 (Iraqi-Jewish 'optic atrophy plus'), MGC75494, optic atrophy 3 (autosomal recessive, with chorea and spastic paraplegia), optic atrophy 3 protein
Entrez Gene IDs
8142 (Human)
Gene Symbol
OPA3
UniProt
Additional OPA3 Products
Product Documents for OPA3 Antibody - BSA Free
Product Specific Notices for OPA3 Antibody - BSA Free
This product is for research use only and is not approved for use in humans or in clinical diagnosis. Primary Antibodies are guaranteed for 1 year from date of receipt.
Loading...
Loading...
Loading...
Loading...